INFETTIVOLOGIA
Dai tropici al Comasco… passando per il veterinario
1Scuola di Specializzazione in Pediatria, 2Clinica Pediatrica, Università Milano Bicocca
3AO San Gerardo, Monza
4UOC Pediatria, ASST Lariana, Como
3AO San Gerardo, Monza
4UOC Pediatria, ASST Lariana, Como
Indirizzo per corrispondenza:
luisa.impagnatiello@gmail.com
Un bambino di 2 anni e mezzo giunge alla nostra attenzione per febbre persistente di tipo intermittente associata a citopenia e spleno-epatomegalia.
Circa tre settimane prima del ricovero ha presentato un episodio febbrile della durata di due giorni, indi, dopo completa defervescenza, la febbre è ricomparsa a distanza di una settimana. Per iperemia tonsillare, nel sospetto di faringite è stata intrapresa terapia con amoxicillina-acido clavulanico con iniziale miglioramento della curva termica ma, in seguito, per ricomparsa di temperatura febbrile, è stato rivalutato dalla curante che ha prescritto esami ematochimici mostranti rialzo degli indici di flogosi e pancitopenia (GB 3300/mm3, N 1420/mm3, Hb 7,7 g/dl, PLT 108.000/mm3, PCR 79,9 mg/l); conseguentemente la terapia è stata modificata con ceftriaxone intramuscolo. In seguito, per scarsa risposta a tale trattamento, il bambino è stato condotto in Pronto Soccorso dove veniva ricoverato per gli accertamenti e le cure specifiche del caso. Gli esami ematochimici mostravano peggioramento della pancitopenia (GB 2730/mm3, N 840/mm3, Hb 6,6 g/dl, PLT 106.000/mm3) con aumento di LDH e ferritina (rispettivamente 1187 U/l e 1330 ng/ml), transaminasi (AST/ALT 71/40 U/l) e VES (63 mm/h). Vista la persistenza del quadro febbrile si eseguivano indagini infettivologiche sia tramite sierologie (CMV, toxoplasma, EBV, parvovirus B19, HSV1-2) che PCR (Mycoplasma e virus influenzali), risultate negative. L’ecografia dell’addome confermava il reperto clinico di epatosplenomegalia e la Rx del torace evidenziava ipodiafania retrocardiaca sx di possibile significato flogistico. Nel sospetto di malattia di Kawasaki eseguito inoltre un ecocardiogramma risultato nei limiti di norma, senza alterazioni delle coronarie né segni di endocardite.
Di fronte a tale quadro, le ipotesi diagnostiche più probabili sono malattie linfoproliferative, malattie infettive quali malaria, febbre tifoide, brucellosi o sindrome da attivazione macrofagica.
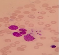
Per il peggioramento della citopenia e la persistenza della febbre, il paziente è stato pertanto inviato per competenza presso il nostro Centro per eseguire aspirato midollare. All’esame obiettivo il bambino si mostrava in discrete condizioni generali con esame obiettivo nella norma tranne milza palpabile a 4 cm dall’arco di consistenza lignea e fegato all’arco. Veniva quindi eseguito aspirato midollare in sedazione. A una valutazione citomorfologica preliminare il midollo appariva ricco in cellule con le tre serie midollari ben rappresentate e senza evidenza di elementi atipici. Nell’attesa del referto definitivo si discuteva il caso con il citomorfologo del laboratorio al quale si presentavano le caratteristiche cliniche del paziente, in particolare le puntate febbrili frequenti associate a brividi e l’entità della splenomegalia. In seguito a tale confronto tra medico e citomorfologo veniva revisionato nuovamente il vetrino dell’aspirato midollare con riscontro di alcuni parassiti extra cellulari e intracellulari (elementi istioidi) (Figura 1), suggestivi per diagnosi di leishmaniosi viscerale.
Si approfondiva pertanto l’anamnesi: la madre ricordava e riferiva di aver frequentato insieme al piccolo un ambulatorio veterinario qualche settimana prima.
Il bambino ha pertanto prontamente iniziato terapia specifica con amfotericina B liposomiale e proseguito terapia antibiotica con ceftriaxone visto anche il quadro di BPN.
A conferma diagnostica sono stati eseguiti:
La leishmaniosi è una parassitosi endemica nelle zone tropicali e subtropicali le cui manifestazioni cliniche dipendono dalla specie di Leishmania infestante e dalle competenze immunitarie dell’ospite. In Italia, in seguito ai flussi migratori dalle aree ad alta endemia, l’incidenza annuale della patologia sta aumentando progressivamente per lo più nelle Regioni che presentano maggior diffusione del flebotomo vettore (Sicilia, Sardegna, Campania, alcune aree del nord Italia).
Esistono tre forme principali di leishmaniosi: leishmaniosi cutanea localizzata, leishmaniosi muco-cutanea, leishmaniosi viscerale o Kala-azar. La forma viscerale colpisce per lo più bambini al di sotto di due anni di età e soggetti immunodepressi e presenta un lunga incubazione, fino a 4-6 mesi. La diagnosi si basa sulla clinica e su test sierologici, anche se la diagnosi di certezza può essere ottenuta solo tramite striscio di sangue periferico, dall’aspirato midollare o PCR eseguiti su aspirati di midollo osseo, milza o linfonodi; la coltura invece richiede specifici terreni di crescita.
Poiché la diagnosi di leishmaniosi viscerale risulta difficile vista l’aspecificità dei segni e sintomi (febbre con pancitopenia e epatosplenomegalia), diagnosi occasionali sono spesso conseguenti ad aspirati midollari eseguiti nel sospetto di malattia linfoproliferativa.
È importante una tempestiva diagnosi in quanto un ritardo nel trattamento può portare a gravi complicanze, fino al decesso. Le complicanze risultano causate da:
È dunque dirimente un’interazione diretta tra specialisti, in questo caso tra clinico e citomorfologo, nonché un’attenta anamnesi delle potenziali fonti di contagio, per poter prontamente diagnosticare e trattare la leishmaniosi viscerale.
Circa tre settimane prima del ricovero ha presentato un episodio febbrile della durata di due giorni, indi, dopo completa defervescenza, la febbre è ricomparsa a distanza di una settimana. Per iperemia tonsillare, nel sospetto di faringite è stata intrapresa terapia con amoxicillina-acido clavulanico con iniziale miglioramento della curva termica ma, in seguito, per ricomparsa di temperatura febbrile, è stato rivalutato dalla curante che ha prescritto esami ematochimici mostranti rialzo degli indici di flogosi e pancitopenia (GB 3300/mm3, N 1420/mm3, Hb 7,7 g/dl, PLT 108.000/mm3, PCR 79,9 mg/l); conseguentemente la terapia è stata modificata con ceftriaxone intramuscolo. In seguito, per scarsa risposta a tale trattamento, il bambino è stato condotto in Pronto Soccorso dove veniva ricoverato per gli accertamenti e le cure specifiche del caso. Gli esami ematochimici mostravano peggioramento della pancitopenia (GB 2730/mm3, N 840/mm3, Hb 6,6 g/dl, PLT 106.000/mm3) con aumento di LDH e ferritina (rispettivamente 1187 U/l e 1330 ng/ml), transaminasi (AST/ALT 71/40 U/l) e VES (63 mm/h). Vista la persistenza del quadro febbrile si eseguivano indagini infettivologiche sia tramite sierologie (CMV, toxoplasma, EBV, parvovirus B19, HSV1-2) che PCR (Mycoplasma e virus influenzali), risultate negative. L’ecografia dell’addome confermava il reperto clinico di epatosplenomegalia e la Rx del torace evidenziava ipodiafania retrocardiaca sx di possibile significato flogistico. Nel sospetto di malattia di Kawasaki eseguito inoltre un ecocardiogramma risultato nei limiti di norma, senza alterazioni delle coronarie né segni di endocardite.
Di fronte a tale quadro, le ipotesi diagnostiche più probabili sono malattie linfoproliferative, malattie infettive quali malaria, febbre tifoide, brucellosi o sindrome da attivazione macrofagica.
Per il peggioramento della citopenia e la persistenza della febbre, il paziente è stato pertanto inviato per competenza presso il nostro Centro per eseguire aspirato midollare. All’esame obiettivo il bambino si mostrava in discrete condizioni generali con esame obiettivo nella norma tranne milza palpabile a 4 cm dall’arco di consistenza lignea e fegato all’arco. Veniva quindi eseguito aspirato midollare in sedazione. A una valutazione citomorfologica preliminare il midollo appariva ricco in cellule con le tre serie midollari ben rappresentate e senza evidenza di elementi atipici. Nell’attesa del referto definitivo si discuteva il caso con il citomorfologo del laboratorio al quale si presentavano le caratteristiche cliniche del paziente, in particolare le puntate febbrili frequenti associate a brividi e l’entità della splenomegalia. In seguito a tale confronto tra medico e citomorfologo veniva revisionato nuovamente il vetrino dell’aspirato midollare con riscontro di alcuni parassiti extra cellulari e intracellulari (elementi istioidi) (Figura 1), suggestivi per diagnosi di leishmaniosi viscerale.
Figura 1
Si approfondiva pertanto l’anamnesi: la madre ricordava e riferiva di aver frequentato insieme al piccolo un ambulatorio veterinario qualche settimana prima.
Il bambino ha pertanto prontamente iniziato terapia specifica con amfotericina B liposomiale e proseguito terapia antibiotica con ceftriaxone visto anche il quadro di BPN.
A conferma diagnostica sono stati eseguiti:
- Ab totali Leishmania infantum risultati positivi;
- Ricerca Leishmania in PCR: positiva ad alta carica.
La leishmaniosi è una parassitosi endemica nelle zone tropicali e subtropicali le cui manifestazioni cliniche dipendono dalla specie di Leishmania infestante e dalle competenze immunitarie dell’ospite. In Italia, in seguito ai flussi migratori dalle aree ad alta endemia, l’incidenza annuale della patologia sta aumentando progressivamente per lo più nelle Regioni che presentano maggior diffusione del flebotomo vettore (Sicilia, Sardegna, Campania, alcune aree del nord Italia).
Esistono tre forme principali di leishmaniosi: leishmaniosi cutanea localizzata, leishmaniosi muco-cutanea, leishmaniosi viscerale o Kala-azar. La forma viscerale colpisce per lo più bambini al di sotto di due anni di età e soggetti immunodepressi e presenta un lunga incubazione, fino a 4-6 mesi. La diagnosi si basa sulla clinica e su test sierologici, anche se la diagnosi di certezza può essere ottenuta solo tramite striscio di sangue periferico, dall’aspirato midollare o PCR eseguiti su aspirati di midollo osseo, milza o linfonodi; la coltura invece richiede specifici terreni di crescita.
Poiché la diagnosi di leishmaniosi viscerale risulta difficile vista l’aspecificità dei segni e sintomi (febbre con pancitopenia e epatosplenomegalia), diagnosi occasionali sono spesso conseguenti ad aspirati midollari eseguiti nel sospetto di malattia linfoproliferativa.
È importante una tempestiva diagnosi in quanto un ritardo nel trattamento può portare a gravi complicanze, fino al decesso. Le complicanze risultano causate da:
- blocco del sistema reticoloendoteliale;
- anemizzazione conseguente all’invasione del midollo osseo;
- riduzione dell’emivita degli eritrociti (captati e distrutti a livello splenico);
- flebite ostruttiva da iperplasia delle cellule endoteliali;
- azione tossica e immunodepressiva esercitata dal parassita.
È dunque dirimente un’interazione diretta tra specialisti, in questo caso tra clinico e citomorfologo, nonché un’attenta anamnesi delle potenziali fonti di contagio, per poter prontamente diagnosticare e trattare la leishmaniosi viscerale.
Scarica la presentazione
