BRONCOPNEUMOLOGIA
Alveolite emorragica da Cannabis
Clinica Pediatrica Universitaria, AOU Maggiore della Carità, Novara
Indirizzo per corrispondenza:
laura.bucchino@gmail.com
L’alveolite emorragica diffusa (DAH) è un'emergenza medica tipicamente causata da vasculiti autoimmuni e infezioni polmonari. Scopo del seguente lavoro è quello di far luce sulla poco descritta correlazione tra DAH e sostanze stupefacenti.
Un paziente di 17 anni, precedentemente sano, 30 minuti dopo chirurgia laparoscopica in anestesia generale (propofol, sevoflurano) per varicocele destro, presentava dispnea ed emottisi con i seguenti parametri vitali: SpO2 73%, PA 90/60 mmHg, FC 80 bpm. Eseguito EGA arterioso (pH 7,37 pCO2 39,6 pO2 39,5 OssiHb 73,7%) da cui emergeva un quadro di insufficienza respiratoria ipossiemica, il paziente veniva sottoposto a ossigenoterapia con maschera di Venturi FiO2 40% 12 L/min e terapia con ceftriaxone e metilprednisolone ev.
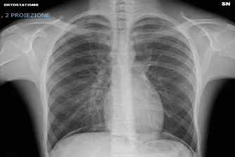
Venivano, quindi, eseguiti radiografia del torace (Figura 1), con evidenza di “importante grado di interstiziopatia da verosimile stasi del piccolo circolo”, broncolavaggio alveolare, mostrante “tappeto di granulociti e macrofagi alveolari su terreno ematico” e TC del torace, accertante “plurime opacità da impegno alveolare che interessano in modo ubiquitario i lobi polmonari”; si giungeva dunque a diagnosi di alveolite emorragica, non attribuibile a cause infettive, autoimmuni e farmacologiche, stante la negatività degli esami specifici effettuati. A una anamnesi più approfondita emergeva, invece, uso frequente di Cannabis naturale nel mese precedente all’intervento, sia sotto forma di “bongo” che di sigaretta (circa 1-2 al giorno), ciò confermato dall’esito positivo dell’esame tossicologico urinario.
Dopo 24 ore di ossigenoterapia, il paziente mostrava un rapido miglioramento clinico e radiologico (Figura 2), tanto da essere dimesso dopo sei giorni.
La Cannabis non solo è la droga più popolare al mondo, soprattutto tra i giovani per facile reperibilità e basso costo, ma anche quella più controversa, essendo conosciuti sia gli effetti benefici sfruttati in medicina sia quelli avversi. Al riguardo, ben nota è l’associazione tra DAH e inalazione di cocaina, anfetamine e Cannabis sintetica, ma non quella con marijuana, essendo stati pubblicati soltanto quattro case report, riguardanti però pazienti adulti. Il nostro è il primo caso pediatrico di DAH riconducibile a Cannabis, e più in generale all’uso di droghe, da cui ho imparato che, dopo aver escluso tutte le cause prevalenti di DAH, va valutato anche l’abuso di Cannabis.
Un paziente di 17 anni, precedentemente sano, 30 minuti dopo chirurgia laparoscopica in anestesia generale (propofol, sevoflurano) per varicocele destro, presentava dispnea ed emottisi con i seguenti parametri vitali: SpO2 73%, PA 90/60 mmHg, FC 80 bpm. Eseguito EGA arterioso (pH 7,37 pCO2 39,6 pO2 39,5 OssiHb 73,7%) da cui emergeva un quadro di insufficienza respiratoria ipossiemica, il paziente veniva sottoposto a ossigenoterapia con maschera di Venturi FiO2 40% 12 L/min e terapia con ceftriaxone e metilprednisolone ev.
Venivano, quindi, eseguiti radiografia del torace (Figura 1), con evidenza di “importante grado di interstiziopatia da verosimile stasi del piccolo circolo”, broncolavaggio alveolare, mostrante “tappeto di granulociti e macrofagi alveolari su terreno ematico” e TC del torace, accertante “plurime opacità da impegno alveolare che interessano in modo ubiquitario i lobi polmonari”; si giungeva dunque a diagnosi di alveolite emorragica, non attribuibile a cause infettive, autoimmuni e farmacologiche, stante la negatività degli esami specifici effettuati. A una anamnesi più approfondita emergeva, invece, uso frequente di Cannabis naturale nel mese precedente all’intervento, sia sotto forma di “bongo” che di sigaretta (circa 1-2 al giorno), ciò confermato dall’esito positivo dell’esame tossicologico urinario.
Figura 1. Rx torace: importante interstiziopatia da verosimile stasi del piccolo circolo, compatibile con emorragia alveolare diffusa.
Dopo 24 ore di ossigenoterapia, il paziente mostrava un rapido miglioramento clinico e radiologico (Figura 2), tanto da essere dimesso dopo sei giorni.
Figura 2. Rx torace a 48 h: appaiono rischiarati entrambi I campi polmonari dove non si apprezzano significativi ad-densamenti parenchimali né versamenti pleurici.
La Cannabis non solo è la droga più popolare al mondo, soprattutto tra i giovani per facile reperibilità e basso costo, ma anche quella più controversa, essendo conosciuti sia gli effetti benefici sfruttati in medicina sia quelli avversi. Al riguardo, ben nota è l’associazione tra DAH e inalazione di cocaina, anfetamine e Cannabis sintetica, ma non quella con marijuana, essendo stati pubblicati soltanto quattro case report, riguardanti però pazienti adulti. Il nostro è il primo caso pediatrico di DAH riconducibile a Cannabis, e più in generale all’uso di droghe, da cui ho imparato che, dopo aver escluso tutte le cause prevalenti di DAH, va valutato anche l’abuso di Cannabis.
Scarica la presentazione
