PEDIATRIA AMBULATORIALE E PEDIATRIA D'URGENZA
San Tommaso
IRCCS Materno-Infantile “Burlo Garofolo”, Scuola di Specializzazione in Pediatria, Università di Trieste
Indirizzo per corrispondenza:
chiaraudina@gmail.com
Thomas è un ragazzo di 14 anni affetto da tetraparesi spastica distonica ed epilessia in esiti di prematurità severa. Lo conosco in Clinica Pediatrica, dove viene ricoverato per una rivalutazione complessiva di malattia in relazione a una scarsa crescita ponderale (peso fermo da due anni con passaggio dal 25-50° ct al 10°-25° secondo curve specifiche) associata ad anemia microcitica (Hb 10 g/dl, MCV 60 fl). I genitori interrogati mi raccontano che Thomas a domicilio non presenta scialorrea e che si alimenta volentieri per bocca con cibi frullati e bevande liquide senza difficoltà e correttamente posizionato sulla sedia. Il pasto ha una durata massima di 30 minuti in assenza di accessi di tosse e la storia clinica non è suggestiva di polmoniti ab ingestis. Dal diario alimentare emerge che l’alimentazione è varia e adeguata in termini di introito calorico. Il ragazzo, oltre alla terapia anticomiziale, assume regolarmente lansoprazolo ma non vitamina D. Gli esami ematici confermano l’anemia microcitica di verosimile origine ferrocarenziale (Hb 9,1 g/dl, MCV 60,6 fl, RDW 21,1%, ferritina 7,8 mcg/l, saturazione della transferrina 2%) e mostrano un deficit di vitamina D (13,6 mcg/l). La sierologia per celiachia è negativa.
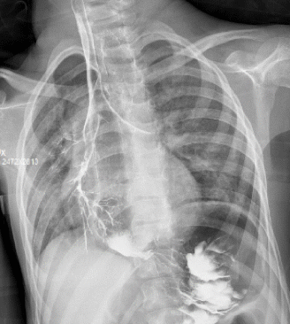
Capito (per caso) in stanza al momento del pasto, che viene somministrato dalla mamma a ragazzo semisdraiato con necessità di somministrare almeno 2-3 cucchiaini di cibo frullato prima di innescare un riflesso deglutitorio, con comparsa di tosse e distonia dei muscoli facciali a ogni boccone. La mamma mi dice che a casa in ambiente familiare Thomas mangia meglio e che forse in questi giorni è disturbato dal raffreddore… se ha più tosse è per via del virus e non crede che mangiando “gli vada per storto”. Il giorno seguente viene eseguito un transito con pasto baritato (Figura 1)

Figura 1. RX transito con budino baritato.
Fino al 90% dei pazienti cerebropatici presenta disturbi dell’alimentazione e in particolare reflusso e disfagia. Alla mamma di Thomas sono state fatte le domande giuste, ma il caso insegna che l’anamnesi deve iniziare con l’osservazione (non casuale) del pasto. Si sapeva. Ma è quando lo vedi che non te lo scordi più.
Thomas è stato dimesso dopo posizionamento urgente di PEG (vedendo l’immagine anche la mamma si è convinta), in terapia con ferro e vitamina D (che non assumeva!).

Figura 1. RX transito con budino baritato.
Fino al 90% dei pazienti cerebropatici presenta disturbi dell’alimentazione e in particolare reflusso e disfagia. Alla mamma di Thomas sono state fatte le domande giuste, ma il caso insegna che l’anamnesi deve iniziare con l’osservazione (non casuale) del pasto. Si sapeva. Ma è quando lo vedi che non te lo scordi più.
Thomas è stato dimesso dopo posizionamento urgente di PEG (vedendo l’immagine anche la mamma si è convinta), in terapia con ferro e vitamina D (che non assumeva!).
Scarica la presentazione
