Un'asimmetria oculare degna di nota
U.O. Oncoematologia Pediatrica, AOUP S. Chiara, Pisa
Indirizzo per corrispondenza: elenachiocca@hotmail.com
B. � una bambina di 6 anni che, circa 1 mese prima della nostra osservazione, inizia a presentare un'asimmetria della rima palpebrale (Figura 1), notata occasionalmente dai genitori, associata a disappetenza e tosse secca stizzosa. Per il persistere della sintomatologia, la bambina viene condotta dal proprio curante che, mette in evidenza la presenza di un soffio cardiaco, mai riscontrato in precedenza.

Figura 1.
Viene quindi eseguita una valutazione cardiologica e all'ecocolordoppler eseguito si evidenzia la presenza di un versamento pericardico di discreta entit� ( circa 14 mm). Nel sospetto di un'eziologia infettiva, la bambina viene ricoverata presso l'U.O. di Pediatria della citt� di origine dove vengono eseguiti es. ematochimici, risultati nella norma, ed un Rx Torace con riscontro di slargamento del mediastino superiore e inferiore con versamento pleurico sx. La bambina viene quindi trasferita presso l'U.O. di Oncoematologia Pediatrica del nostro Ospedale. Le condizioni cliniche all'ingresso sono ottime; B. si presenta apiretica e asintomatica. All'esame obiettivo risulta evidente l'asimmetria della rima palpebrale; in particolare a sinistra si evidenzia la presenza di miosi associata a ptosi palpebrale ed enoftalmo, compatibile con sindrome di Horner acquisita. Si evidenzia inoltre una lieve tumefazione parenchimatosa che dalla regione sovraclaveare sinistra si estende alla regione laterale sinistra del collo (Figura 2).

Figura 2.
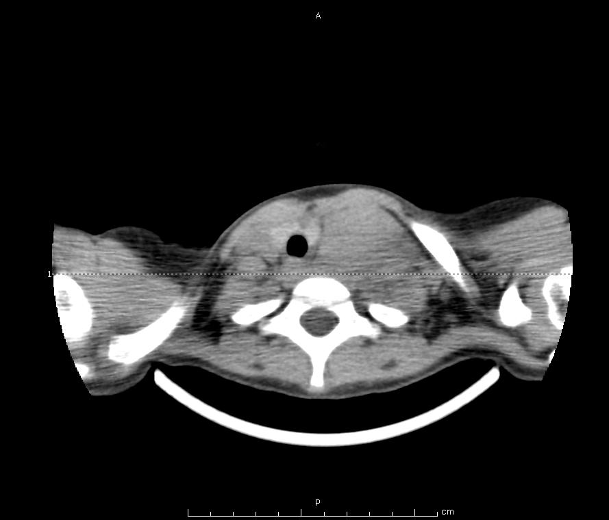
Nel sospetto di una neoformazione a livello del torace si esegue quindi una TC Torace con riscontro di voluminosa massa mediastinica anteriore, paramediana sx, estesa dalla regione laterocervicale inferiore sx fino in sede sovra diaframmatica (diam. Max AP-LL-CC 98X97X169 mm) (Figura 3 e Figura 4). Tale massa, che comprime alla base del collo il lobo sinistro della tiroide e disloca lateralmente l'asse tracheale e l'esofago senza segni di infiltrazione locale, avvolge completamente tutte le strutture vascolari presenti in ambito mediastinico che mantengono comunque una regolare perviet� endoluminale. Viene inoltre confermata la presenza di versamento pericardico e di versamento pleurico a sinistra associato ad atelettasia passiva del parenchima polmonare contiguo. Si esegue inoltre un'ecografia del collo che in sede laterocervicale e sovragiugulare sx apprezza la presenza di tessuto di tipo solido disomogeneo con diametri di circa 3,5x 2,4 cm che ingloba il fascio vascolare del collo e impronta il lobo sx della tiroide, nel cui interno si visualizzano alcuni linfonodi ipoecogeni. Gli altri esami eseguiti (TC Addome, TC Cranio-Encefalo) risultano negativi.Nel sospetto di un'origine linfomatosa, B. viene sottoposta in videotoracoscopia a biopsia della massa il cui successivo referto istologico conferma la diagnosi di Linfoma linfoblastico a precursori T. Viene quindi intrapresa la chemioterapia tuttora in corso.

Figura 3.

Figura 4.
La sindrome di Horner � causata da una interruzione della via oculosimpatica e clinicamente si presenta con la classica triade caratterizzata da ptosi palpebrale, miosi e enoftalmo e variabilmente associata a anidrosi, eterocromia della pupilla e congestione congiuntivale omolaterale. Le fibre oculo-motrici simpatiche, originate dal centro cilio-spinale di Budge (C8-D1), attraverso la prima radice toracica e i gangli cervicali inferiori e medio, si portano come fibre pregangliari al ganglio cervicale superiore. Le fibre post gangliari si accollano all'arteria carotide interna ed entrano nell'orbita insieme alla branca oftalmica del n. trigemino portandosi al ganglio ciliare e da qui attraverso i nervi ciliari lunghi innervano il muscolo dilatatore delle pupille e il muscolo tarsale.
La sindrome pu� essere quindi determinata da diverse cause che determinano un'interruzione di questa via in particolare le lesioni pregangliari si riscontrano nei traumi chirurgici, nella sindrome di Pancost (tumori dell'apice polmonare), nei traumi neonatali (deficit a carico del plesso brachiale), aneurismi a carico dell'aorta e della succlavia, mentre le lesioni postgangliari si osservano in caso di patologia carotidea e le lesioni centrali in presenza di lesioni laterali del bulbo, pontine e nei tumori midollari.L'incidenza della sindrome di Horner nella popolazione pediatrica � di circa 1.41 casi per 100.000 pazienti, l'eziologia viene suddivisa classicamente tra cause congenite (circa il 55% dei casi, corrispondenti ad una prevalenza alla nascita 1:6250 bambini nati vivi)e cause acquisite. Le forme acquisite possono essere conseguenze di interventi chirurgici�a livello della testa, collo e torace, dovute a tumori o infezioni che si localizzano a livello della via oculosimpatica o essere idiopatiche (fino al 33% dei casi). Sia le forme congenite, ma in particolare, quelle acquisite, nelle quali non sia possibile identificare un'eziologia precisa, devono essere attentamente indagate con RMN/TC a livello testa, collo e/o torace alla ricerca di neoformazioni, processi espansivi o infettivi.
tratto da: Confronti Giovani, XXIV Congresso Nazionale Confronti in Pediatria
Trieste, Palazzo dei Congressi della Stazione Marittima 2-3 dicembre 2011
