Sembrava solo un trauma cranico...
Scuola di Specializzazione in Pediatria, IRCCS Materno-Infantile �Burlo Garofolo�, Universit� di Trieste
indirizzo per corrispondenza: lorenza.matarazzo@gmail.com
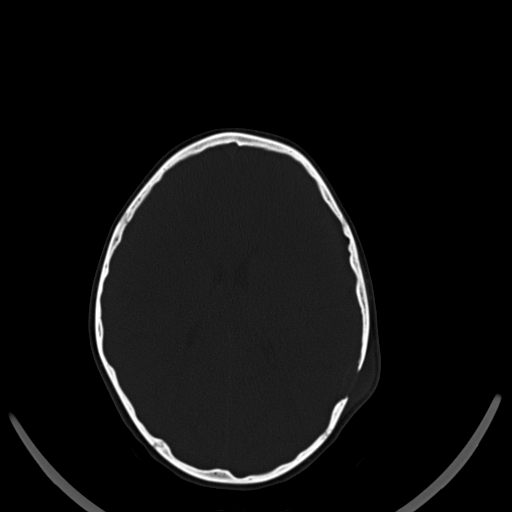
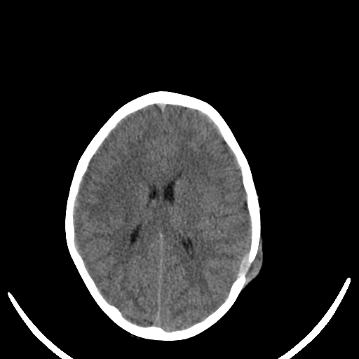
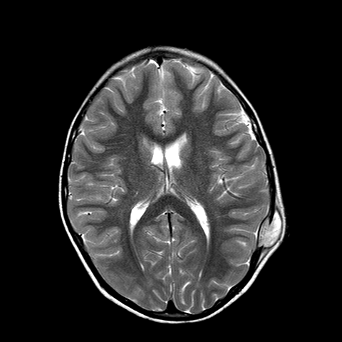
A. � un bambino di 7 anni che giunge in PS per la comparsa di una tumefazione molle in sede parietale sinistra associata a intenso dolore locale ed irritabilit� da alcuni giorni. In anamnesi trauma cranico 15 giorni prima senza sintomi associati. A. � in buone condizioni generali e l'obiettivit�, compresa quella neurologica, � nella norma. Anche gli esami ematici risultano nella norma. Vista la clinica e la storia di trauma cranico, eseguiamo TC cranio che mostra: �in sede extra-assiale parietale sinistra, apprezzabile sottile aspetto tenuemente iperdenso di larghezza 17 mm e spessore 5 mm; in corrispondenza, area tondeggiante di osteolisi di 10 x 10 mm a margini netti, con tumefazione delle parti molli extracraniche�. Per approfondimento diagnostico, eseguiamo RMN cerebrale che evidenzia: �formazione a densit� intermedia di diametro 4 x 2,5 cm in sede parietale sinistra che si localizza su entrambi i versanti del tavolato cranico, a ridosso dell'area di osteolisi.� In considerazione del reperto neuroradiologico, dopo consulenza Oncologica e Neurochirurgica, viene posto sospetto diagnostico di granuloma eosinofilo. Eseguite Rx torace ed eco addome che hanno escluso un possibile coinvolgimento viscerale. A. � stato quindi sottoposto ad intervento di curettage chirurgico che ha dato conferma istologica della diagnosi.
Il granuloma eosinofilo � un disordine mono o poliostotico senza coinvolgimento extrascheletrico che lo contraddistingue dalle altre forme di istiocitosi a cellule di Langherans (Hand Schuller Christian o Lettere Siwe) a prognosi inoltre meno favorevole. � pi� frequente nei maschi fra i 6 e i 10 anni. L'eziologia � sconosciuta e istologicamente � caratterizzato dalla presenza di granulomi contenenti numerose cellule di Langherans. Solitamente interessa le ossa, meno comunemente linfonodi, polmoni o cute. Ogni osso pu� essere coinvolto con particolare interessamento delle ossa craniche (soprattutto frontale e parietale), seguite da mandibola, colonna, bacino, ossa lunghe. � comunque opportuno escludere un possibile coinvolgimento viscerale. I pazienti di solito presentano dolore locale, soffusione dei tessuti coinvolti, febbre e leucocitosi. Le lesioni spinali possono causare dolore, rigidit� e occasionalmente sintomi neurologici. Radiologicamente si presentano con margini irregolari, espansione delle ossa coinvolte e nuove formazioni in sede periostale. La biopsia � spesso necessaria per confermare la diagnosi (infiltrato di eosinofili ed istiociti). Le diagnosi differenziali comprendono�: cisti epidermoidi, emangiomi, displasia fibrosa, metastasi. Il trattamento prevede il curettage chirurgico e l'innesto osseo, la terapia radiante a basse dosi o l'iniezione locale di corticosteroidi. Il granuloma eosinofilo ha un'ottima prognosi e in alcuni casi pu� regredire spontaneamente.







tratto da: Confronti Giovani, XXIV Congresso Nazionale Confronti in Pediatria
Trieste, Palazzo dei Congressi della Stazione Marittima 2-3 dicembre 2011
