Questione di... tuberi
Scuola di Specializzazione in Pediatria, IRCCS Materno-Infantile �Burlo Garofolo�, Universit� di Trieste
indirizzo per corrispondenza:lorenza.matarazzo@gmail.com
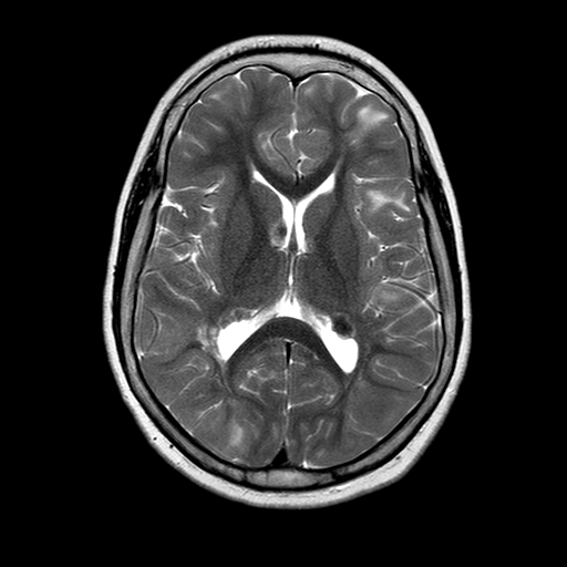
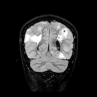
F. � un ragazzo di 12 anni che dall'et� di 5 mesi ha presentato: rabdomiomi cardiaci (evidenziati gi� alla nascita per la presenza di un soffio), 2 formazioni iperecogene in prossimit� del ventricolo laterale sinistro (eco cerebrale), focolai di edema cortico-sottocorticale bilateralmente in sede parietale postero-superiore e multipli noduli subependimali ventricolari con calcificazioni (RMN cerebrale), crisi epilettiche parziali (clonie mano destra e bocca), chiazze ipocromiche al tronco ed arti (pi� di 10). Le crisi, caratterizzate da blocco dello sguardo, scialorrea e disorientamento, sono diventate sempre pi� frequenti, associate a episodi di riso prolungato e ritardo psico-motorio. Viene da subito iniziata terapia antiepilettica con vigabatrin, acido valproico e levetiracetam. A 10 anni comparsa di angiofibromi facciali. Eseguita analisi molecolare che ha evidenziato mutazioni de novo in TSC2. Alla RMN di controllo eseguita a 12 anni: �in entrambe gli emisferi, numerosi tuberi cortico-sottocorticali con aspetti calcifici; 3 noduli subependimali in prossimit� del forame di Monro.� FO: �Amartomi retinici OS�. Il quadro clinico e l'indagine genetica hanno permesso di formalizzare la diagnosi di sclerosi tuberosa (Figura 1 e Figura 2).
La sclerosi tuberosa (ST) � un disordine multi sistemico, AD, con alterazione della proliferazione cellulare e sviluppo di amartomi in vari organi e tessuti. L'incidenza � 1-6.000/10.000. La diagnosi si basa su specifici criteri clinici (Tuberous Sclerosis Complex, Consensus Conference 1998). Due sono i geni coinvolti, TSC1 (crom. 9q34.3) e TSC2 (crom. 16p13.3) che codificano per amartina e tuberina, proteine coinvolte nei processi di proliferazione cellulare (inattivazione mTOR). In presenza di fattori di crescita, l'attivit� della tuberina, e la sua inibizione di mTOR, viene soppressa con crescita cellulare abnorme. Le lesioni cutanee in pi� del 90% dei casi sono rappresentate da macchie ipomelanotiche al tronco e alle estremit� (almeno 3). L'angiofibroma facciale si sviluppa fra i 4 e i 6 anni d'et� come noduletti rossi al naso ed alle guance a volte confusi con acne. I fibromi sub-periungueali si manifestano soprattutto in adolescenza. Le lesioni retiniche sono rappresentante da tumori moriformi che si dipartono dalla testa del nervo ottico, lesioni grigie al disco, amartomi o aree depigmentate. Le manifestazioni neurologiche pi� comuni sono: epilessia, ritardo mentale, disturbi comportamentali (autismo). Le lesioni cerebrali tipiche sono i tuberi cortico-sottocorticali, i noduli subependimali e gli astrocitomi gigantocellulari. I noduli subependimali possono andare incontro a calcificazioni e proiettarsi nella cavit� ventricolare determinando idrocefalo; sono costituiti da una proliferazione di astrociti e neuroni giganti multinucleati; raramente si possono differenziare in astrocitomi gigantocellulari. L'epilessia � presente in circa il 70-90% dei pazienti durante l'infanzia e spesso le crisi sono farmaco resistenti; l'esordio pu� avvenire nel primo anno di vita con spasmi infantili che possono essere preceduti o seguiti da crisi parziali. Altre lesioni sono: rabdomiomi cardiaci (50%dei casi), angiomiolipomi o cisti renali, linfangiomiomatosi polmonare. La diagnosi � clinica ed � confermata dall'indagine genetica. E' necessario un attento monitoraggio clinico multidisciplinare. Sono in corso trials clinici per verificare l'efficacia della Rapamicina, farmaco immunosoppressore, che agisce inibendo il complesso mTOR e bloccando la proliferazione cellulare.

Figura 1.

Figura 2.
tratto da: Confronti Giovani, XXIV Congresso Nazionale Confronti in Pediatria
Trieste, Palazzo dei Congressi della Stazione Marittima 2-3 dicembre 2011
