Buchi in testa
1Scuola di Specializzazione in Pediatria, 2Struttura Complessa di Neuropsichiatria Infantile e Neurologia Pediatrica, IRCCS Materno-Infantile �Burlo Garofolo�, Universit� di Trieste
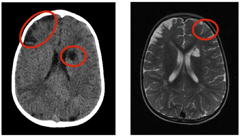
Ares, 3 anni, � arrivato in PS una domenica pomeriggio perch� dalla mattina non camminava bene. La madre raccontava che cadeva spesso quando si appoggiava sulla gamba destra e che non muoveva bene nemmeno il braccio destro. Circa 6 mesi prima aveva presentato due episodi simili a risoluzione spontanea nell�arco di 24 ore. Una settimana prima aveva avuto una virosi respiratoria. Effettivamente il bambino camminava trascinando ed extraruotando l�arto inferiore destro, mentre muoveva senza problemi gli arti superiori. Non era sofferente, la mobilizzazione della gamba destra non evocava dolore. Aveva un evidente deficit di forza all�arto inferiore destro con riflessi osteo-tendinei ipoelicitabili. Nel forte sospetto di stroke cerebrale � stata eseguita subito una TC cerebrale con mezzo di contrasto che mostrava due lesioni ipodense di tipo vascolare ischemico a carico del nucleo caudato di sinistra e del centro semiovale omolaterale, diverse lesioni pi� piccole in sede corticale e un�evidente atrofia corticale. Alla RMN le lesioni avevano un aspetto cronico-stabilizzato e non si vedevano segni di emorragia. Gli esami ematici hanno escluso un difetto della coagulazione (Figura 1).

Figura 1. Stroke cerebrale. TC (a sinistra) e RMN (a destra).
L�ecocardio � risultato nella norma escludendo un�embolizzazione, mentre la normalit� del dosaggio dell�acido lattico nel liquor rendeva improbabile l�ipotesi di una malattia mitocondriale. Anche la ricerca dei virus neurotropi su liquor � risultata negativa. A questo punto l�ipotesi pi� probabile era quella dell�anomalia vascolare: l�angioTC ha evidenziato una riduzione di calibro delle comunicanti anteriori, dell�origine delle arterie cerebrali media e anteriori con circoli collaterali ben visibili (Figura 2).

Figura 2. AngioRMN
Questo quadro (poi confermato anche dall�angiografia) (Figura 3) � diagnostico di malattia di Moyamoya.

Figura 3. Caratteristico aspetto angiografico.
Il bambino � stato quindi inviato presso un centro specialistico per eseguire un intervento di rivascolarizzazione corticale indiretta: l�encefalosinangiosi mette a contatto il parenchima cerebrale con i vasi durali attraverso fori multipli praticati nelle ossa craniche (Figura 4).

Figura 4. Ricascolarizzazione diretta o indiretta
tratto da: Le Giornate di Medico e Bambino Lecce, 4-5 maggio 2012
