Gli opposti si attraggono
Clinica Pediatrica, Universit� di Pisa
Descriviamo due casi
di bronchiolite giunti alla nostra osservazione lo stesso mese dello
stesso anno.
Fallou, un bambino
di 6 mesi di origine senegalese, veniva condotto presso il Pronto
Soccorso Pediatrico per tosse e difficolt� ad alimentarsi.
All�esame obiettivo il bambino appariva in buone condizioni
generali, apiretico e non presentava dispnea (FR 34 atti/min; SatO2:
99%). All'auscultazione del torace si apprezzavano gemiti espiratori
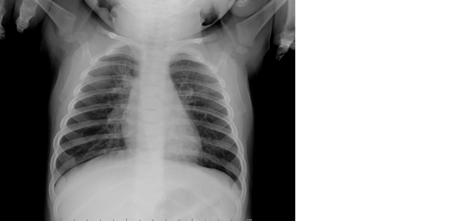
associati a crepitii fini tele-inspiratori diffusi. L�Rx del
torace (Figura 1) confermava la diagnosi di bronchiolite. Gli esami ematochimici
effettuati non mostravano alterazioni degli indici di flogosi.
All�anamnesi emergevano diversi fattori di rischio di
deficienza di vitamina D: il bambino presentava elevata pigmentazione
melanica (fototipo V), non aveva ricevuto profilassi con vitamina D
ed era sottoposto ad allattamento al seno esclusivo. Inoltre, la
madre indossava il velo e non aveva ricevuto supplementazione con
vitamina D durante la gravidanza. Pertanto, sono stati eseguiti esami
ematici che evidenziavano la presenza di deficienza di vitamina D
severa (25-drossivitamina-D indosabile) con iperparatiroidismo
secondario (PTH 160 pg/ml; vn 10-65); i valori plasmatici di calcio,
fosforo e fosfatasi alcalina risultavano nella norma. Non erano
evidenti segni clinici di rachitismo in atto; in particolare, la
fontanella anteriore era chiusa.

Figura 1.
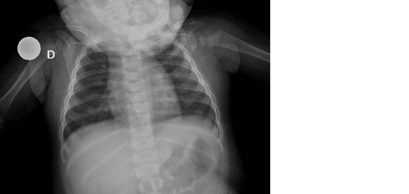
Giacomo, un bambino italiano di 8 mesi, giungeva alla nostra osservazione per febbre e difficolt� respiratoria ingravescente. Il bambino presentava condizioni generali lievemente scadute con dispnea (FR 64 atti/min, SatO2: 95%); all'auscultazione del torace si apprezzavano crepitii fini tele-inspiratori diffusi associati a gemiti espiratori ed inspiratori. L�Rx del torace (Figura 2) confermava, anche in questo caso, la diagnosi di bronchiolite. Gli esami ematici mostravano la presenza di valori di emoglobina ai limiti bassi della norma (Hb 10,8 g/dl) associati a MCV lievemente ridotto (68,7 fl) e reticolociti ai limiti bassi della norma (31.600/ul). All�anamnesi emergeva che il bambino, nato e cresciuto in Italia, era stato alimentato per 3 mesi con allattamento materno e successivamente con latte di capra (2 pasti/die) e latte di mandorla (1 pasto/die). Inoltre, non aveva ricevuto profilassi con vitamina D e la madre non aveva effettuato la supplementazione con vitamina D durante la gravidanza. Ulteriori esami ematici mostravano valori ridotti di ferritina (9 ng/ml) e di 25-drossivitamina-D (valori indosabili), associati ad iperparatiroidismo secondario (PTH 140 pg/ml). I valori di calcio, fosforo e fosfatasi alcalina risultavano nella norma e non erano evidenti segni clinici di rachitismo.

Figura 2.
COMMENTO
La deficienza di vitamina D � frequente in et� pediatrica, in particolare nei periodi in cui i processi di crescita staturo-ponderale sono maggiormente rappresentati, come la prima infanzia. Se non riconosciuta, la deficienza di vitamina D che si sviluppa nei primi mesi di vita pu� portare all�instaurarsi di casi conclamati di rachitismo carenziale. I bambini immigrati e adottati possono presentare diversi fattori di rischio di sviluppare deficienza di vitamina D variamente associati, come l�allattamento al seno esclusivo prolungato, l�assenza di profilassi con vitamina D nella prima infanzia, l�elevata pigmentazione melanica della cute e fattori culturali che limitano l�esposizione al sole. D�altra parte, anche soggetti �apparentemente� non a rischio possono sviluppare deficienza di vitamina D severa qualora la profilassi con vitamina D non venga eseguita. In particolare, alcune pratiche �di tendenza�, come il ricorso a latti non consoni per la prima infanzia, possono comportare importanti ripercussioni sulla salute del bambino. In tutte queste circostanze, il pediatra deve sospettare la presenza di una deficienza di vitamina D al fine di mettere in atto, quanto prima, gli opportuni provvedimenti terapeutici.
