� proprio colpa del gattino?
Scuola di Specializzazione in Pediatria, IRCCS Materno-Infantile "Burlo Garofolo", Universit� di Trieste
Indirizzo per corrispondenza: silvia_naider@yahoo.it
Davide � un
ragazzo di 12 anni, che vediamo in PS per 4 giorni di febbre elevata
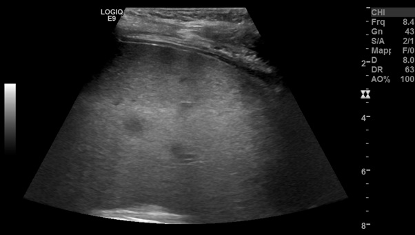
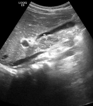
con brivido e dolore al fianco sinistro. L'ecografia addominale
(Figura 1) evidenzia �all'ilo
epatico linfonodi ingranditi e nella
milza alcune aree sfumatamente ipoecogene da possibili
localizzazioni linfomatose.� Figura 1. L�ECO
addominale evidenzia nella milza alcune aree sfumatamente ipoecogene
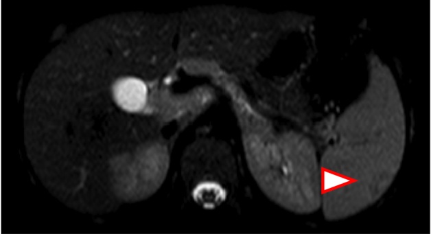
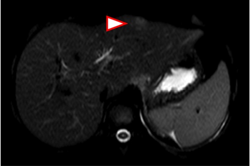
da possibili localizzazioni linfomatose. Figura 2. L�RMN
mostra numerose lesioni solide epatospleniche con intensa
ipervascolarizzazione in fase arteriosa a cercine di natura
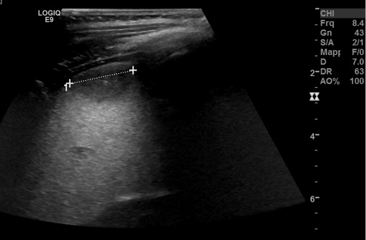
infettiva. Figura 3. L�ecografia
addominale evidenzia la milza
ingrandita e disomogenea con alcune areole rotondeggianti,
sfumatamente ipoecogene. All'ilo epatico presenza di alcuni linfonodi
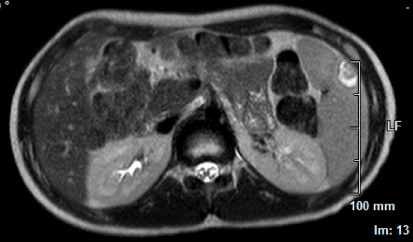
ingranditi ovalariformi.� Figura 4. L�RMN evidenzia nella
milza micro alterazioni diffuse, con due lesioni maggiori con una
regione a bersaglio perilesionale. Tale atteggiamento potrebbe anche
essere espressione di attecchimenti ascessuali.
In attesa di eseguire una RMN i dubbi sono tanti� gli esami ematici
non fanno pensare a una malignit�, sembrerebbe pi� un'infezione�
non potrebbero essere granulomi? A casa ha un gattino che dorme con
lui, ma non ha linfonodi palpabili. Finalmente esegue la RMN (Figura 2) �lesioni solide epatospleniche con
intensa ipervascolarizzazione in fase arteriosa a cercine. Di natura
infiammatoria-infettiva
(lesioni granulomatose?)�
Avviamo
terapia con gentamicina e azitromicina, due giorni dopo
arriva la sierologia positiva per Bartonella henselae.
Dopo 4 giorni si sfebbra con risoluzione del dolore addominale.

Dopo qualche mese
conosciamo Massimiliano,
12 anni e mezzo, da 5 giorni febbre con brivido, viene in PS per la
comparsa di dolore toracico sinistro e vomito. Eseguiamo un Rx torace
nell'ipotesi di una polmonite, che per� risulta negativa.
Eseguiamo quindi un'ecografia addominale (Figura 3): �Milza
ingrandita e disomogenea con alcune areole rotondeggianti,
sfumatamente ipoecogene. All'ilo epatico presenza di alcuni linfonodi
ingranditi ovalariformi.�
Ci ricordiamo allora di Davide� non sar� anche questa una malattia
da graffio di gatto? Anche Massimiliano ha dei gatti, ma nessun
linfonodo superficiale palpabile. La RMN (Figura 4) evidenzia �nella
milza micro alterazioni diffuse, con due lesioni maggiori con una
regione a bersaglio perilesionale. Tale atteggiamento potrebbe anche
essere espressione di attecchimenti ascessuali.�
Avviamo quindi terapia con gentamicina e azitromicina nel sospetto di
una malattia da graffio di gatto e Massimiliano sfebbra rapidamente.
La sierologia per Bartonella risulta per� negativa. Dopo una
settimana la ripetiamo e risulta dubbia. Escludiamo tutte le altre
cause pi� comuni di ascessi splenici e le due storie ci sembrano
proprio simili. Nel frattempo Massimiliano non ha pi� febbre n�
dolore.
Sar�
proprio colpa del gattino?


