Tutte le CRMO escono col buco!
Scuola di Specializzazione in Pediatria, IRCCS Materno-Infantile �Burlo Garofolo�, Universit� di Trieste
Indirizzo per corrispondenza: chiarasandrin@hotmail.it
C. � una ragazzina di 12 anni che seguiamo per una una artrite idiopatica giovanile (AIG) oligoarticolare esordita nel 2011 con zoppia e gonfiore alla caviglia sinistra. La malattia � stata da allora trattata con antinfiammatori con beneficio, senza tuttavia regressione completa della sintomatologia. A febbraio 2013 comparsa di dolore e tumefazione in sede mandibolare destra, per cui eseguiva RMN che ha mostrato un quadro compatibile con miosite del massetere. C. inoltre presentava segni clinici indicativi di malattia attiva alla caviglia sinistra, per cui avviava ciclo di terapia steroidea per os con risposta clinica sia a carico della caviglia che della mandibola.
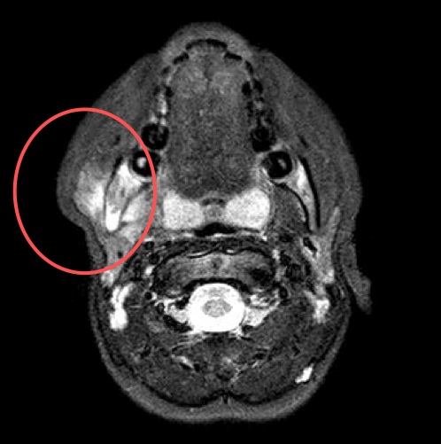
Dopo circa 2 mesi di remissione C. ha ricominciato a presentare saltuario dolore alla caviglia sinistra, con incostante limitazione funzionale, per cui ha ricorso alla terapia antinfiammatoria al bisogno. Inoltre da alcuni mesi ricomparsa di dolore e tumefazione in sede mandibolare destra. Al controllo, per il persistere della sintomatologia, si decide di ripetere la RMN del massiccio facciale che conferma l�interessamento del massetere ed evidenzia un possibile coinvolgimento osseo (Figura 1). C. ha cos� eseguito una TC che ha mostrato un disomogeneo addensamento della trama ossea in corrispondenza della branca montante e dell�angolo mandibolare di destra con qualche areola con aspetto erosivo superficiale del profilo dell�osso, in parte sfumato (Figure 2 e 3). Gli aspetti clinico e radiologico hanno deposto per un quadro di tipo infiammatorio da osteomielite cronica asettica.
Figura 1. RMN del massiccio facciale.
Figura 2. TC.
Figura 3. TC.
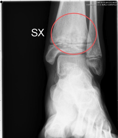
Data la compatibilit� del quadro con una osteomielite cronica multifocale ricorrente (CRMO), abbiamo riconsiderato la diagnosi di AIG oligoarticolare della caviglia e abbiamo eseguito un Rx dell�articolazione (Figura 4) per valutare se anch�essa non rappresentasse una localizzazione di CRMO. L�Rx ha confermato il sospetto evidenziando delle lesioni osteolitiche a carico della metafisi tibiale, compatibili con la diagnosi di CRMO. Abbiamo cos� eseguito una RMN total body che ha escluso ulteriori localizzazioni.
La CRMO � una malattia infiammatoria a eziologia sconosciuta, caratterizzata da lesioni ossee litiche con dolore e tumefazione ad andamento cronico ricorrente, che interessa pi� sedi nell�arco di mesi o anni. Sedi suggestive di CRMO sono la clavicola, lo sterno, la mandibola, mentre le sedi pi� frequentemente interessate sono la tibia distale e prossimale, la pelvi e il femore prossimale. Per la diagnosi utile � l�imaging, anche se la diagnosi definitiva � data dalla biopsia ossea (nel caso di C. eseguita alla caviglia). La terapia si basa in prima battuta sull�utilizzo di antiinfiammatori e bifosfonati.
Figura 4. Rx caviglia sinistra.
