Semiannegamento: sempre meglio passare qualche ora in pi� in osservazione
Scuola di Specializzazione in Pediatria, Universit� di Trieste
Indirizzo per corrispondenza: veronica288@hotmail.it
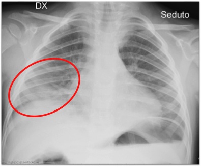
M. (4 anni), mentre era in piscina, � rimasto immerso sott�acqua per circa un minuto finch� la madre non l�ha soccorso. Ha vomitato subito e non ha mai perso coscienza anche se era sonnolento. All�ingresso in Pronto Soccorso si presenta lucido, orientato, dispnoico con SaO2 85% in aria ambiente e all�auscultazione toracica presenta rumori umidi a destra e addome globoso con stomaco dilatato per la presenza di liquido. Si somministra subito ossigeno-terapia e metilprednisolone. Gli esami ematici mostrano un�acidosi (pH 7,28), una modesta ipernatriemia, un�iperglicemia da stress con emocromo e PCR nella norma. L�Rx torace (Figura 1) evidenzia un addensamento alla base destra. Visto l�addensamento polmonare e la storia di inalazione, � stata avviata terapia antibiotica con ceftriaxone e metronidazolo. In seguito le condizioni cliniche sono progressivamente migliorate, � stata prima ridotta e poi tolta la supplementazione di O2, l�emogasanalisi e la sodiemia si sono normalizzate. Prima della dimissione (a 24 ore dall�arrivo in ospedale) gli � stata somministrata un�ulteriore dose di steroide e al domicilio ha proseguito la terapia antibiotica con amoxicillina-acido clavulanico.
L�annegamento � la seconda causa di morte per incidente prevenibile al mondo, con pi� di 175 mila morti al di sotto dei 20 anni e un�incidenza massima tra bambini di 0-4 anni (OMS 2004). Nel 10% dei sopravvissuti sono presenti danni neurologici permanenti. Il fattore che incide maggiormente sull�outcome � la tempestivit� dell�intervento di primo soccorso, con la ripresa della respirazione, della circolazione e degli scambi gassosi.
I pazienti completamente asintomatici (segni vitali normali, esame obiettivo negativo, buona saturazione, Rx negativo) che sono rimasti sott�acqua senza perdita di coscienza, � necessario che restino in osservazione per almeno 6-8 ore, da prolungare ad almeno 24 ore in caso di comparsa di sintomi respiratori. � infatti possibile che la situazione polmonare nelle prime 12 ore possa deteriorarsi rapidamente per la comparsa di edema polmonare che richieder� un trattamento con diuretici e CPAP, fino all�intubazione e alla ventilazione meccanica.
Figura 1. Rx del torace che evidenzia un addensamento alla base destra.
