Una pila che non si muove
Scuola di Specializzazione in Pediatria, Universit� di Trieste
Indirizzo per corrispondenza: giuliabassanese@hotmail.it
Giorgio � un bambino di 4 anni, che viene portato in Pronto Soccorso dai genitori perch� da un paio di ore presenta un forte dolore addominale, associato a vomito di materiale cartaceo.
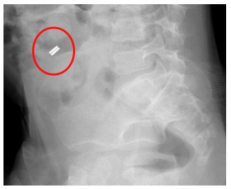
In questa occasione viene eseguita una Rx addominale in proiezione antero-posteriore che rivela la presenza di un corpo estraneo radio-opaco in sede digiuno-ileale (Figura 1).
Figura 1. Rx addominale in proiezione antero-posteriore che rivela la presenza di un corpo estraneo radio opaco in sede digiuno-ileale.
L�oggetto per forma e dimensione risultava compatibile con una disk battery e avendo questo oltrepassato il piloro, intraprendiamo (come da linee guida) un trattamento con lassativi e clisteri in modo da far espellere l�oggetto al bambino nel minor tempo possibile.
Dopo qualche giorno, sebbene il bambino scaricasse feci semiliquide 2-3 volte die, non aveva ancora eliminato il corpo estraneo che all'ennesima Rx risultava localizzato nella medesima posizione della lastra precedente; questa volta abbiamo eseguito una Rx anche in proiezione latero-laterale, la quale mostrava un oggetto formato da 2 dischi metallici contigui divisi da uno stretto binario (Figura 2).
Figura 2. Rx in proiezione latero-laterale: mostra i due magneti.
Dopo aver continuato la terapia procinetica ancora per 48 ore senza alcun risultato, abbiamo deciso di sottoporre il bambino a laparoscopia esplorativa che ha evidenziato una fistola ileale transmesocolica causata dall'avvicinamento di due anse ileali in cui in ciascuna di esse era contenuta una calamita (Figure 3 e 4).

Figura 3. Laparoscopia esplorativa.

Figura 3. Magneti rimossi.
L�ingestione di magneti � ampiamente descritta in letteratura e rappresenta un grave rischio per la salute del bambino, portando potenzialmente a gravi complicanze come la perforazione. I �take home messages� di questo caso sono essenzialmente due: il primo � l�importanza di ricordare ai genitori di vegliare i figli quando giocano con giocattoli con componenti magnetiche; in secondo luogo, in caso di anamnesi muta, � utile fin da subito eseguire un Rx anche in proiezione latero-laterale. Avremmo infatti cos� compreso che, per morfologia, non si trattava di una disk battery, ma di due magneti adesi tra loro: spesso infatti non tutto � quello che sembra.
