Tu... diventi Candida!
1Clinica Pediatrica, Universit� Milano-Bicocca, Fondazione MBBM c/o AO S. Gerardo, Monza
2USC di Pediatria, Ospedale Papa Giovanni XXIII, Bergamo
Indirizzo per corrispondenza: casagranda.sara@gmail.com
Descriviamo il caso di Anastasia, 2 anni, giunta alla nostra attenzione per presenza da 4 settimane di episodi ricorrenti di vomito postprandiale, preceduti da malessere e addominalgia. La bambina presentava familiarit� per atopia. Al domicilio era stata somministrata terapia antiemetica senza alcun beneficio.
All�arrivo presso il nostro Pronto Soccorso la bambina era in buone condizioni generali. Gli esami ematochimici mostravano lieve eosinofilia (1000/�l) e l�ecografia dell'addome era nella norma.
Per un approfondimento diagnostico sono stati eseguiti Rx transito intestinale (non malrotazioni, non ostruzioni), screening metabolico di 1� livello (nella norma), indagini su feci (tampone rettale per batteri, ricerca di Adenovirus e Rotavirus, esame parassitologico, ricerca dell�antigene per Helicobacter pylori: negativi), RMN encefalo (negativa), t-TG (negativi). Gli esami ematici hanno evidenziato la presenza di incremento delle IgE totali (IgE 3319 kU/l) con positivit� diffusa dei RAST per latte/frazioni e alimenti estesi.
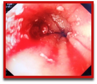
In corso di ricovero abbiamo iniziato terapia con inibitori di pompa e procinetici oltre a dieta priva delle proteine del latte vaccino, senza ottenere benefici sostanziali. � stata quindi eseguita una una esofago-gastro-duodenoscopia (EGDS) con riscontro inaspettato di lesioni biancastre esofagee suggestive per candidiasi (Figura).

Figura. EGDS con riscontro di lesioni biancastre esofagee suggestive per candidiasi.
Per tale motivo, in attesa della conferma dell�esame colturale, � stata iniziata terapia antifungina con fluconazolo orale ed eseguito uno screening immunitario (sottopopolazioni linfocitarie, immunoglobuline sieriche, sierologia per HIV, titolo anticorpale di risposta ai vaccini) risultato nella norma. Tuttavia, la diagnosi macroscopica non � stata confermata dalle indagini microbiologiche ed istologiche eseguite su biopsie, le quali hanno evidenziato la presenza di un quadro morfologico compatibile con esofagite e gastrite eosinofila. Abbiamo infine iniziato terapia inalatoria con fluticasone (�fatto male�) e, vista l�importanza del quadro clinico, con prednisone assistendo a un miglioramento repentino della sintomatologia sino a scomparsa degli episodi di vomito.
Conclusioni
L�esofagite eosinofila pu� mimare il quadro macroscopico dell�esofagite da Candida. La presenza di placche biancastre aderenti alla mucosa esofagea, verosimilmente indicativa di microascessi eosinofili, pu� essere fuorviante ai fini diagnostici. Da qui l�importanza categorica delle biopsie esofagee a livello distale, medio e prossimale, con ricerca della presenza di ife sulla biopsia a livello distale, medio e prossimale.
