Una fontana �illuminante� per una tumefazione scrotale
Scuola di Specializzazione in Pediatria, Universit� di Trieste
Indirizzo per corrispondenza: marco.copertino@gmail.com
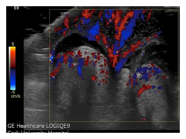
Manuel � un ragazzino di otto anni, che viene portato in Pronto Soccorso per la comparsa da alcune ore di una tumefazione scrotale, accompagnata da una vaga dolenzia localizzata. Non � presente una storia di traumi, febbre o disuria. Obiettivamente lo scroto si presenta iperemico e tumefatto bilateralmente, anche se in maniera asimmetrica, senza interessamento del pene, dell'inguine o del perineo (Figura 1). I testicoli sono palpabili ma tale manovra provoca un vivo dolore; i riflessi cremasterici non sono evocabili e la transilluminazione scrotale risulta negativa. Figura 1. Scroto iperemico e tumefatto, in caso di edema scrotale. Figura 2. Ecografia scrotale: importante ispessimento del tessuto cutaneo-sottocutaneo. Figura 3. Ecografia color-doppler del paziente. Figura 4. Ecografia color-doppler che mostra il �segno della fontana� dato dall�aumento del flusso sanguigno nella pelle scrotale edematosa (da voce bibliografica 1).
Un'ecografia scrotale (Figura 2), richiesta in urgenza per escludere una possibile torsione, ha mostrato entrambi i testicoli in posizione pi� alta che di norma, con volume regolare e vascolarizzazione conservata, senza lesioni focali. Il reperto dirimente � stato per� il riscontro di un importante ispessimento del tessuto cutaneo-sottocutaneo scrotale, con intensa iperemia nella valutazione con il color-doppler che nelle sezioni trasverse disegnava l'immagine di una �fontana scrotale� (Figure 3 e 4), suggestiva di Edema Scrotale Acuto Idiopatico (AISE). La negativit� degli indici di flogosi ha escluso con certezza che potesse trattarsi di una cellulite in fase iniziale.
L'AISE � una condizione benigna, una dermatosi, a cui fa capo, secondo la letteratura, dal 3% al 20% di tutti i casi di scroto acuto. Si tratta di una diagnosi di esclusione di altre patologie per cui un intervento si rende immediato, prima fra tutte la torsione testicolare. L'ecografia � l'ausilio diagnostico pi� importante a tale scopo e la valutazione con color-doppler pu� evidenziare il �segno della fontana�, immagine caratteristica data dall'incrementato flusso sanguigno all'interno dei tessuti molli peritesticolari.
L'AISE si risolve di solito spontaneamente, ma un trattamento con FANS pu� essere comunque utile per il controllo dei sintomi; tale condizione pu� recidivare fino nel 20% dei casi.
Dopo una settimana di ibuprofene a dosaggio pieno, il quadro clinico di Manuel � completamente regredito.
- Breen M, Murphy K, Chow J, Kiely E, O�Regan K. Acute idiopathic scrotal edema. Case Rep Urol 2013;2013:829345.
