Occhio all�orecchio
1Scuola di Specializzazione in Pediatria, Universit� Trieste
2Scuola di Specializzazione in Pediatria, Universit� di Udine
Indirizzo per corrispondenza: giuliabravar@gmail.com
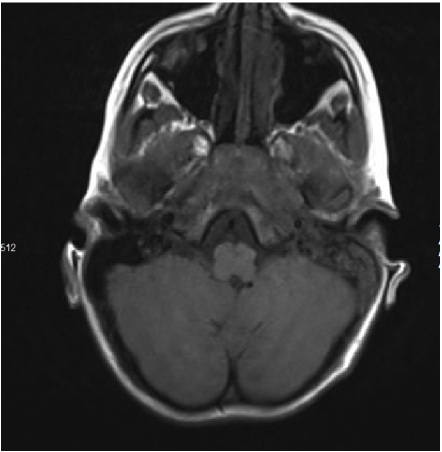
Un bambino di 9 anni viene inviato in urgenza alla nostra attenzione da un Centro periferico per un quadro di cefalea trafittiva occipito-temporale sinistra associata a otalgia sinistra. Il bambino da circa 72 ore lamentava dolore trafittivo all�orecchio sinistro e nelle ultime 24 ore veniva riferita comparsa di febbre accompagnata a vomito alimentare. In anamnesi, nei 20 giorni precedenti l�esordio del quadro emergevano due episodi di otite media acuta sinistra a distanza di circa 10 giorni, trattati con amoxicillina 50 mg/kg/die per os con solo parziale risoluzione del quadro clinico. Il bambino all�ingresso presentava un aspetto visibilmente sofferente, TC 39 �C, membrana timpanica sinistra iperemica e marcatamente estroflessa. Non chiari segni di mastoidite. Per escludere una trombosi dei seni venosi durali eseguiva angio-RM encefalo con riscontro di flogosi mastoidea sinistra (Figura 1).
Figura 1. Angio-RM encefalo con riscontro di flogosi mastoidea sinistra.
Nelle ore immediatamente successive al ricovero compariva una paralisi periferica del VII nervo cranico di sinistra in progressivo peggioramento (Figura 2).
Figura 2. Comparsa di paralisi periferica del VII nervo cranico di sinistra.
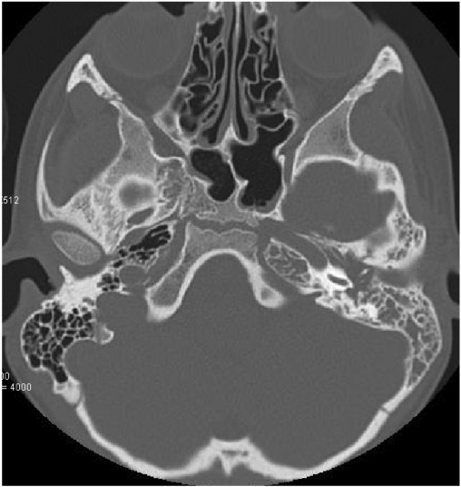
Si avviava terapia con ceftriaxone 100 mg/kg/die e desametasone 0,4 mg/kg/die ev e il giorno successivo veniva eseguita TC encefalo che escludeva la presenza di mastoidite confluente (Figura 3).

Figura 3. TC: completo opacamento mastoideo sinistro, orecchio medio sinistro e parte iniziale CUE.
Il bambino � stato quindi trattato conservativamente mediante miringotomia e prosecuzione della terapia antibiotica ev per un totale di 20 giorni e con scalo del desametasone dopo una settimana. Alla dimissione permaneva una lieve ptosi sinistra risoltasi entro le prime 4 settimane.
La paralisi del VII nervo cranico � una complicanza rara dell�otite media, associandovisi nello 0,005% dei casi. La terapia di prima linea � rappresentata dalla miringotomia e dalla terapia antibiotica endovenosa. Non vi � consenso sull�utilit� della terapia steroidea, consigliata da alcuni Autori al fine di ridurre l�edema perineurale. La prognosi � eccellente, con un recupero completo della funzione del nervo faciale nella maggioranza dei casi entro 3-6 settimane.
