Dalla testa ai piedi... passando per la pancia
Scuola di specializzazione in Pediatria, Trieste
Indirizzo per corrispondenza: giagiada@gmail.com
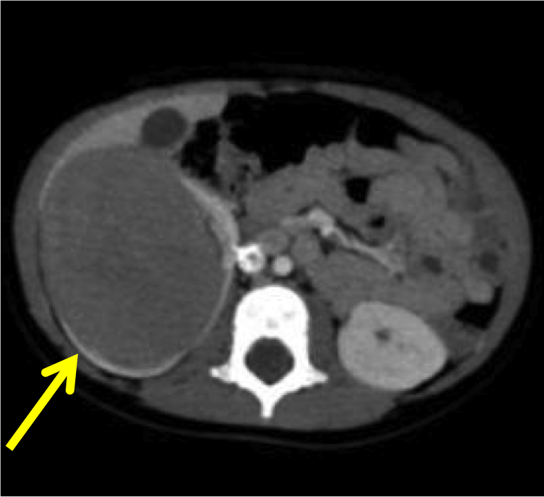
Al bilancio di salute del 1� anno di vita di Ryan, un bel bambino asintomatico e in ottime condizioni generali, il pediatra riscontra una massa addominale in ipocondrio destro, per cui lo invia in PS per ulteriori accertamenti. All'arrivo in PS il bambino � spaventato dalla presenza di tanti visi nuovi, non si lascia visitare, piange e scalcia, mentre dal curante si lasciava valutare tranquillo. Gli esami ematici sono nella norma, salvo per lieve leucocitosi linfocitaria e minimo aumento dell'LDH. L'ecografia addominale conferma il sospetto del curante, con evidenza in ipocondrio destro di una formazione solida rotondeggiante di 7 cm isoecogena al parenchima renale, dislocante il rene destro. Nel sospetto di neoplasia, viene eseguita TAC total body che conferma la presenza della massa senza altri reperti significativi (Figure).
Considerato l'imaging suggestivo di nefroblastoma localizzato e l'assenza di fattori di rischio chirurgici, Ryan viene subito sottoposto a intervento di nefroureterectomia destra con risparmio del surrene omolaterale e asportazione radicale della massa, con conferma istologica di tumore di Wilms, stadio I. Per il riscontro di microinfiltrazione capsulare il piccolo viene avviato a chemioterapia neoadiuvante di 6 settimane secondo il protocollo AIEOP (vincristina e actinomicina D), ben tollerata, con remissione completa di malattia.
La storia di Ryan � a lieto fine, grazie alla diagnosi precoce, in pieno benessere, consentita dall'attento esame obiettivo del curante, che ha permesso la scoperta del tumore in uno stadio iniziale, risparmiando al bambino trattamenti pi� aggressivi.
I pediatri di famiglia hanno il privilegio di conoscere e notare cambiamenti nei loro piccoli pazienti, che di loro si fidano e da loro si lasciano spesso visitare pi� serenamente che dagli sconosciuti camici bianchi ospedalieri. Ryan ci ricorda come sia importante visitare sempre i bambini "dalla testa ai piedi" (passando per la pancia!), anche se asintomatici, in quanto un riscontro occasionale pu� anche salvare loro la vita, come in questo caso.
