Distacchi apofisari
Scuola di Specializzazione in Pediatria, IRCCS Materno-Infantile "Burlo Garofolo", Universit� di Trieste
Indirizzo per corrispondenza: silvia_naider@yahoo.it
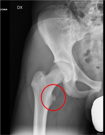
Giona � un calciatore di 16 anni che giunge in Pronto Soccorso per dolore inguinale e zoppia comparsi dopo una partita di calcio; non ricorda traumi particolari. Visitandolo il dolore � proprio in sede inguinale e la zoppia importante, decidiamo quindi di eseguire una radiografia per escludere un distacco di spina iliaca, che per� non viene evidenziato. Pensando a un dolore di origine muscolare consigliamo riposo e antinfiammatorio.
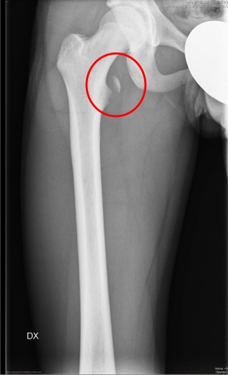
Dopo sette giorni per� Giona ritorna per persistenza del dolore e impossibilit� a sollevare l�arto inferiore; obiettivamente si nota una tumefazione del terzo prossimale del femore con dolore alla palpazione e alla mobilizzazione. Ripetiamo quindi la radiografia, che mette in evidenza un distacco, ma non di una spina iliaca, bens� del piccolo trocantere del femore! (Figure).
Quello che abbiamo fatto di giusto e di sbagliato ce lo ricorda un articolo di Medico e Bambino: "Sulle spine"1� infatti la comparsa di dolore e zoppia dopo un movimento come quello del calcio � tipico di un distacco apofisario, quindi � stato giusto pensarci. Lo sbaglio � fermarsi a una radiografia negativa e inoltre va ricordato che non ci sono solo le spine iliache: anche il piccolo trocantere pu� distaccarsi.
I distacchi apofisari sono fratture tipiche dell�et� evolutiva che si verificano quando l�apofisi immatura viene sollecitata da una contrazione muscolare improvvisa e intensa. La sede pi� frequente � il bacino con, in ordine di frequenza, la tuberosit� ischiatica, la spina iliaca antero-inferiore e antero-superiore, e il piccolo trocantere. La clinica � caratterizzata dall�insorgenza improvvisa di dolore inguinale durante l�attivit� sportiva.
Per quanto riguarda la radiografia, va ricordato che questa pu� essere negativa e nei casi dubbi (clinica suggestiva ma Rx negativa) la RMN � dirimente.
Bibliografia
- Lega S, Rabach I, Panontin E, Barbi E. Sulle spine... Medico e Bambino 2015;34(1):53-4.
