Un�anemia da perderci il fiato
Scuola di Specializzazione in Pediatria, Universit� Milano Bicocca
Indirizzo per corrispondenza: deirossieleonora@gmail.com
Una bambina di 4 anni e mezzo, 10,7 kg (< 3� percentile), giunge alla nostra osservazione per anemia sideropenica persistente, non responsiva al trattamento marziale. All�anamnesi: nata prematura, broncodisplasia del pretermine, sindrome da distress repiratorio, sepsi neonatale, diversi ricoveri per broncopolmoniti e bronchiti asmatiformi.
In corso di infezioni delle basse vie aeree ha presentato episodi di grave anemizzazione acuta che hanno necessitato di trasfusioni di globuli rossi concentrati. Al laboratorio riscontro di anemia sideropenica e segni di emolisi (Hb 4,1 g/dl, MCV 67 fl, sat. transferrina 4%, reticolociti 237.000/mm3, aptoglobina 0,5 mg/dl, lieve aumento di LDH e bilirubina indiretta). Gi� eseguiti: screening celiachia, esame urine, sangue occulto nelle feci, esofagogastroduodenoscopia, test di Coombs diretto e indiretto, elettroforesi Hb, G6PDH, ROE e PINK test, test di lisi al glicerolo, studio delle proteine di membrana; viene indagata inoltre per sospetta immunodeficienza. Tutti i risultati sono nella norma.
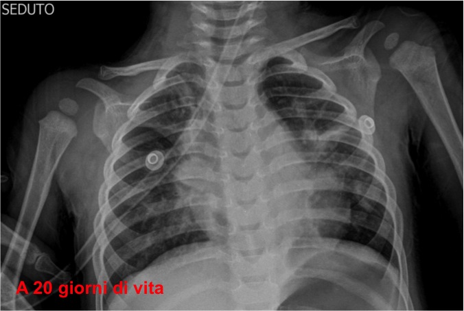
Per il quadro di anemia sideropenica associata a dispnea e infezioni ricorrenti delle basse vie aeree, nel forte sospetto di alveolite emorragica, abbiamo riguardato la storia radiologica della bambina: numerosi Rx torace che mostrano opacit� bilaterale diffusa e aumentata trama interstiziale, sia durante episodi di broncopolmonite che in benessere (Figure 1-4).
Figura 1. Rx effettuata nei primi giorni di vita.
Figura 2. Rx effettuata a 20 giorni di vita.
Figura 3. Rx effettuata a 3 anni e 2 mesi, durante un controllo a seguito di broncopolmonite destra.
Figura 4. Rx effettuata a 3 anni e 11 mesi, durante un ricovero per bronchite.
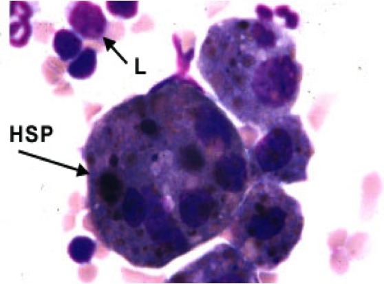
Viene pertanto eseguita una TC torace (Figura 5): aumentata densit� diffusa con pattern a �vetro smerigliato�. La conferma diagnostica di alveolite emorragica � stata ottenuta grazie al ritrovamento di numerosi siderofagi al lavaggio bronco-alveolare (Figura 6).
Figura 5. TC torace eseguita a 4 anni e 5 mesi.
Figura 6. Analisi al microscopio del lavaggio bronco-alveolare.
Per escludere le principali cause di alveolite emorragica secondaria abbiamo eseguito diverse indagini di laboratorio (ricerca di ANA, anticorpi anti-DS-DNA, cANCA, pANCA, fattore reumatoide, anticorpi anti-CCP, anticorpi anti-fosfolipidi, SMA, anticorpi anti-MBG, IgE specifiche per PLV) e siamo in attesa di biopsia polmonare per poter porre la diagnosi di emosiderosi polmonare idiopatica. Nel frattempo la bambina ha iniziato trattamento con boli di metilprednisolone (30 mg/kg) e a seguire prednisone 2 mg/kg per os.
L�alveolite emorragica � una sindrome clinico-patologica rara, potenzialmente fatale, caratterizzata da accumulo intra-alveolare di globuli rossi. Si distingue in una forma primitiva, l�emosiderosi polmonare idiopatica, e in forme secondarie, associate a vasculiti (capillarite polmonare pauci-immune isolata, sindrome di Wegner, poliangite microscopica, lupus eritematoso sistemico), alla sindrome di Goodpasture, a patologie cardio-vascolari (stenosi mitralica, ipertensione polmonare, sindromi veno-occlusive polmonari) ma anche a celiachia, farmaci, agenti tossici e allergeni. La clinica � molto variabile, da asintomatica a morte improvvisa, ma la triade classica � caratterizzata da: anemia sideropenica, emottisi e infiltrati alveolari multipli alla radiografia.
La diagnosi si base sul sospetto clinico, laboratoristico e radiologico e viene confermata dal lavaggio bronco-alveolare.
Esami di laboratorio di secondo livello e biopsia polmonare permettono di far diagnosi eziologica.
Il trattamento consiste in prima linea dall�utilizzo di corticosteroidi, a seguire altri immunosoppressori (idrossiclorochina, azatioprina, ciclofosfamide). La prognosi dipende dalla patologia sottostante: � peggiore se associata a vasculiti (mortalit� tra il 30% e 50%), migliore nell�emosiderosi polmonare idiopatica (mortalit� 7,3%).
