Due zoppie per due diagnosi
Scuola di Specializzazione in Pediatria, Università di Trieste
Indirizzo per corrispondenza: corrias.fr@gmail.com
Giovanni, 3 anni, viene portato in Pronto Soccorso per la persistenza da circa dieci giorni di zoppia destra, nonostante un ciclo di terapia con FANS prescritto dal Curante nel sospetto di sinovite post-virale. Alla valutazione clinica era presente una lieve zoppia che si accentuava con la corsa, dolore al gluteo destro e una lieve rigidità all’apertura delle anche bilateralmente. Gli esami radiologici e la valutazione ortopedica erano risultati negativi ma, per il riscontro di neutropenia (1200/mm3), si disponeva una rivalutazione dell’emocromo a una settimana. Una settimana dopo persistevano i sintomi articolari, l’emocromo mostrava una conta neutrofilica ulteriormente calata (200/mm3) con piastrinopenia (129.000/mm3), LDH 382 U/l, VES 41 mm/h. Veniva quindi fatta una valutazione dello striscio periferico con evidenza di blasti linfoidi in quota 26%. Lo stesso giorno è stato eseguito un agoaspirato midollare che ha permesso di porre diagnosi di leucemia linfoblastica acuta immunofenotipo common (blasti 74%), per cui Giovanni ha iniziato il trattamento secondo il Protocollo AIEOP LLA 2009.
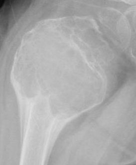
Il secondo caso riguarda Asia, anche lei ha 3 anni e presenta una zoppia. L’esame radiologico iniziale evidenziava la presenza di “una lesione osteolitica multiloculata alla metafisi prossimale femorale”, in relazione della quale erano state eseguite due aspirazioni di materiale sieroso. Dopo 4 mesi, in corrispondenza della sede della lesione radiologica, compare una tumefazione (4x3 cm) non iperemica e non calda al tatto, con dolore localizzato presente anche la notte, tale da risvegliarla. Agli esami ematici l’unico riscontro fuori norma risulta l’LDH (552 U/l). Esegue quindi RM con mezzo di contrasto, che mostra una lesione compatibile in prima ipotesi con cisti aneurismatica dell’osso (Figura 1). Viene eseguita agobiopsia della lesione che conferma la diagnosi con l’istologia.
La cisti ossea aneurismatica è una lesione reattiva dell’osso (circa 1% dei tumori ossei benigni) caratterizzata da lacune ematiche separate da setti di tessuto mesenchimale con occasionali trabecole ossee. Colpisce più frequentemente la prima decade, e si presenta più spesso a livello delle metafisi delle ossa lunghe. Il suo trattamento prevede la chirurgia con curettage o in alternativa l’embolizzazione arteriosa e iniezione di agenti sclerotizzanti.
La zoppia è una presentazione comune di dolore osteo-articolare nel bambino più piccolo. Nella metà dei casi è dovuta a patologie organiche (infiammatorie, traumatiche o tumorali), ed è per questo importante un’accurata diagnosi differenziale. È anche una presentazione comune nella leucemia linfatica acuta, essendo presente nel 15-30% dei casi all’esordio. Per questo, davanti a zoppia o dolore osseo che non recede con la terapia antidolorifica è opportuno andare a indagare più accuratamente con esami ematici ed eventuali esami strumentali.
