Un neonato con ernia diaframmatica congenita “nato apparentemente sano”
AOU Federico II, Dipartimento di Scienze Mediche Traslazionali, Sezione Pediatria, Napoli
Indirizzo per corrispondenza: casertanoalberto@gmail.com
Gabriele nasce a termine proporzionato per l’età gestazionale (peso 3,230 kg; età gestazionale 39 settimane) da gravidanza normocondotta con ecografia ostetrica a 36 settimane nella norma. Al Nido decorso clinico regolare, in quarta giornata viene dimesso come neonato sano con screening negativi.
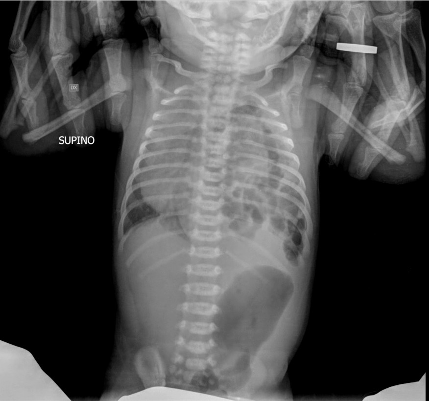
In sesta giornata si assiste a un drammatico scadimento delle condizioni generali; condotto in Pronto Soccorso presenta iporeattività, pallore, apiressia, tachidispnea (70 atti per minuto), tachicardia (180 bpm) con III tono udibile e saturazione O2 = 95%. Al torace murmure vescicolare assente e rantoli grossolani in basale sinistra. Addome trattabile. Si pratica in urgenza Rx torace: “emitorace sinistro occupato da multiple immagini aeree con cancellazione del profilo diaframmatico omolaterale; sbandamento mediastinico controlaterale” (Figura 1). Consulenza cardiologica con ecocardiografia: “Lieve scollamento pericardico; insufficienza tricuspidalica”.
Viene posta diagnosi di ernia diaframmatica congenita di sinistra e si ricovera in Terapia Intensiva Neonatale con ventilazione meccanica invasiva. Dopo 20 ore si esegue l'intervento chirurgico con reperto di erniazione in torace di ileo e colon trasverso, malrotazione intestinale, ischemia dell’appendice vermiforme. Dopo 48 ore: interruzione della ventilazione meccanica e inizio della nutrizione enterale. In nona giornata dimissione in equilibrio clinico con normalizzazione del reperto cardiologico.
Bibliografia di riferimento
- Benachi A, Cordier AG, Cannie M, Jani J. Advances in prenatal diagnosis of congenital diaphragmatic hernia. Semin Fetal Neonatal Med 2014;19(6):331-7.
- Harting MT, Lally KP. The Congenital Diaphragmatic Hernia Study Group registry update. Semin Fetal Neonatal Med 2014;19(6):370-5.
