Un’encefalite dall’aspetto sospetto
Pediatria Medica A, Ospedale Pediatrico Meyer, Firenze
Indirizzo per corrispondenza: michele.luzzati89@gmail.com
Vittoria è una bambina di 4 anni che da febbraio 2016 lamenta astenia, riduzione delle attività quotidiane e addominalgia. Accede più volte in pochi giorni al Dipartimento
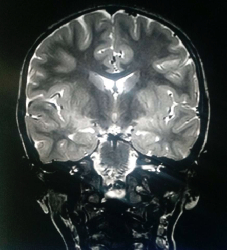
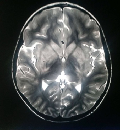
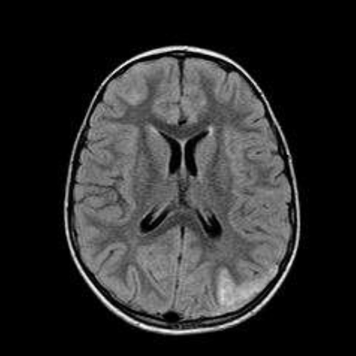
di Emergenza e Accettazione, dove viene riscontrata una leucocitosi neutrofila (26.440/mm3, neutrofili 88,9%) e una adenomesenterite all’ecografia, per cui dopo breve osservazione viene dimessa. Dopo un mese alla sintomatologia si aggiunge febbre (38,5 °C), deviazione del collo, astenia agli arti inferiori e deambulazione incerta, per cui si ricovera. È sofferente, irritabile e presenta rigidità nucale con posizione preferenziale supina. Nel sospetto di meningoencefalite viene eseguita una RMN cranio-encefalo-rachide, che mostra un’alterazione di segnale a carattere flogistico/edemigeno corticale e sottocorticale in sede parietale, caudale occipitale e temporale omolaterale con enhancement leptomeningeo e analoga alterazione dei talami (Figure 1 e 2).
Alla rachicentesi si riscontra liquor limpido, glicorrachia 38 mg/dl, proteinorrachia 48 mg/dl, globuli bianchi 12 mg/dl e globuli rossi 2 mg/dl. Viene intrapresa terapia antibiotica, antivirale e steroidea. L’esame batterioscopico, colturale e la ricerca mediante PCR del genoma dei principali agenti eziologici di meningoencefalite su liquor risultano negativi. Agli esami ematici si evidenzia un rialzo della VES (38 mm/h) e positività delle IgM per Borrelia su sangue confermata al Western blot, per cui si sospetta una neuroborreliosi. Vittoria è apiretica dal secondo giorno di terapia con miglioramento delle condizioni cliniche. La terapia antivirale viene sospesa, la terapia steroidea scalata. La bimba viene dimessa in terapia con amoxi-clavulanato. Alla valutazione del liquor si evidenzia positività delle bande oligoclonali su liquor e l’alterazione dell’indice di Link, che viene interpretato come reazione secondaria alla sospetta neuroborreliosi, anche se la sierologia per Borrelia su sangue e liquor non dimostrerà mai una positività delle IgG, rendendo il sospetto improbabile. La RM dell’encefalo e del rachide viene ripetuta a maggio e risulta negativa.
A inizio di settembre Vittoria presenta astenia, disappetenza e sopore. Gli esami ematici mostrano una leucocitosi neutrofila (22.700/mm3, neutrofili 79,9%) con PCR di 3,04 mg/dl. Vengono esclusi un’infezione da EBV, CMV, ipotiroidismo, celiachia e post-Lyme syndrome. I sintomi progrediscono ulteriormente: compaiono torcicollo, vomito mattutino, deambulazione incerta a base allargata e perdita dell’equilibrio. Vittoria viene ricoverata: l’esame obiettivo neurologico evidenzia marcia atassica, Romberg positivo, prove di coordinazione imprecise con riflessi osteo-tendinei difficilmente evocabili. Alla TC cranio-encefalo urgente non si rilevano alterazioni. Il tracciato EEG mostra un pattern rallentato e l’esame del fundus un edema della papilla ottica sinistra. Alla rachicentesi: liquor limpido, glicorrachia 40 mg/dl, protidorrachia 46 mg/dl, GB 36/µl con monociti 87%, GR 1/µl. Gli esami mostrano leucocitosi neutrofila e rialzo della VES (49 mm/h). Le indagini infettivologiche risultano negative, compresa la ricerca di genoma batterico e la sierologia di Borrelia su liquor e sangue.
Il dosaggio dell’acido vanilmandelico urinario, la ricerca degli anticorpi anti-NMDA e anti-gangliosidi su liquor risultano nella norma, mentre si evidenzia ancora positività delle bande oligoclonali e dell’indice di Link.
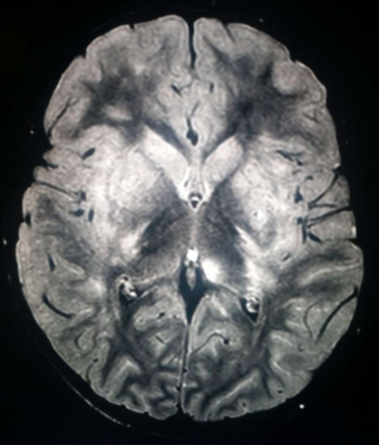
Alla RM encefalo si evidenzia una alterazione a margini sfumati senza enhacement a livello di nuclei dentati, porzione posteriore del ponte, nuclei subtalamici, talamo anteriore, teste dei nuclei caudati, ginocchio del corpo calloso, insule, della regione temporo-mesiale bilaterale, frontale, parietale posteriore e dei centri semiovali. I reperti coinvolgenti la sostanza bianca sottocorticale e i gangli della base in modo asimmetrico sono compatibili con riacutizzazione di processo infiammatorio (ADEM), per cui si imposta terapia con metilprednisolone (30 mg/kg in bolo) per 4 giorni seguito da prednisone per os con riduzione graduale in 4 settimane. La bambina presenta rapida risposta clinica e normalizzazione dell’EO e dell’EEG. Viene dimessa affidandola alla Neurologia per evidenziare una eventuale disseminazione spaziale-temporale delle lesioni, che sarebbe compatibile con una sclerosi multipla a esordio pediatrico.
