Un dubbioso esordio di sclerosi multipla
1Scuola di Specializzazione in Pediatria, Università di Parma
2Scuola di Specializzazione in Neuropsichiatria Infantile, Università di Parma
3MD Unità di Neuropsichiatria Infantile, Dipartimento Materno-Infantile, AOU di Parma
Indirizzo per corrispondenza: priscalar@live.it
A. è una bambina senegalese di 8 anni che giunge alla nostra attenzione inviata dallo specialista ortopedico per difficoltà a mantenere la stazione eretta durante una visita eseguita per dolore alla spalla destra e al ginocchio sinistro, manifestatisi in seguito a una caduta accidentale. Presso la nostra Accettazione, all’obiettività neurologica, la paziente appariva vigile e reattiva, ma presentava strabismo convergente all'occhio sinistro, lieve asimmetria della rima orale in dinamica, restanti nervi cranici indenni. Si evidenziava inoltre ipostenia e ipotonia dell’emilato destro con Babinski positivo bilateralmente, difficoltà a mantenere la posizione eretta e marcia possibile solo con sostegno. La restante obiettività clinica generale era nei limiti. Dall’anamnesi emergeva che la bambina aveva iniziato a manifestare già dal primo anno di età ptosi, strabismo e nistagmo unilaterali sinistro, per i quali aveva eseguito una valutazione neuroradiologica riferita negativa in un quadro di mielinizzazione compatibile con l'età. Successivamente la bambina aveva vissuto in Senegal e al ritorno in Italia, 6 anni dopo, era stata eseguita, presso un altro Centro, una valutazione oculistica con riscontro di subatrofia ottica sinistra e controllo neuroradiologico che evidenziava molteplici alterazioni della sostanza bianca sovra- e sotto-tentoriale in un quadro ancora in corso di definizione diagnostica.
Negli ultimi 15 giorni A. riferiva frequenti cadute e difficoltà a tenere gli oggetti. Visto il reperto clinico e la mancanza di documentazione pregressa, si decideva di ricoverare la bambina per proseguire le cure e gli accertamenti del caso.
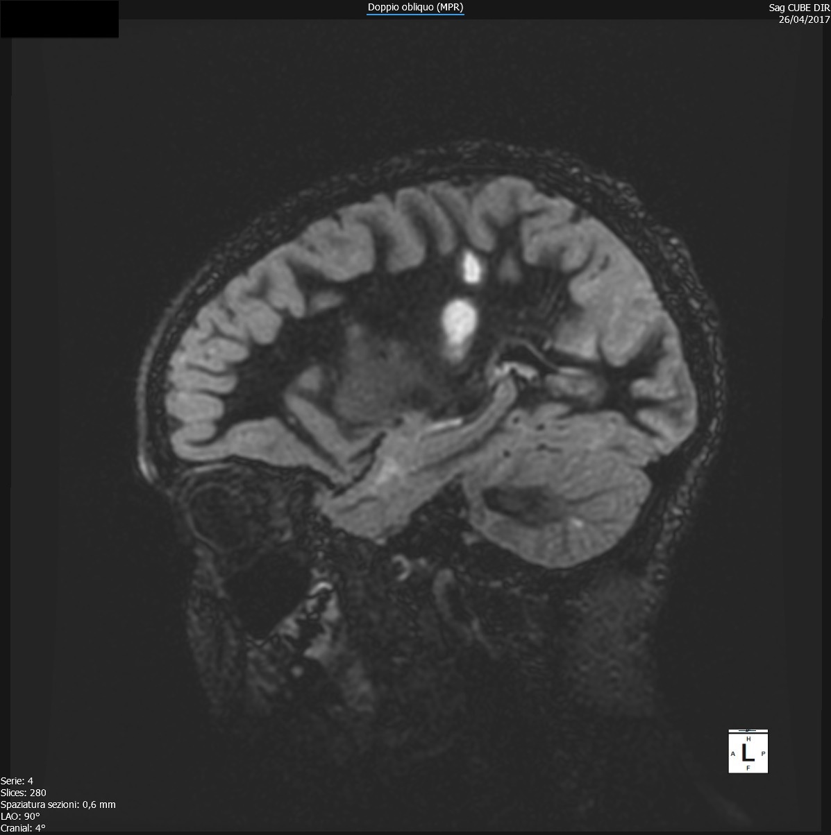
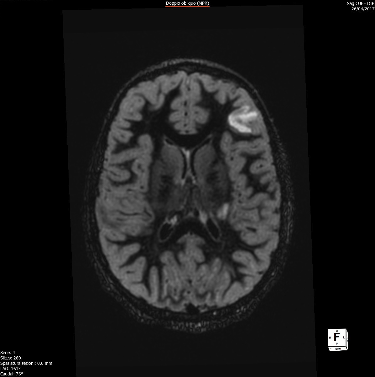
Durante il ricovero è stata eseguita RM di encefalo e midollo con mezzo di contrasto, che confermava la presenza di aree di alterato segnale già note a livello sovra- e sotto-tentoriale e il coinvolgimento midollare a livello di C1-C2, C4-C5, D10-D11 queste ultime con enhancement al contrasto, alterazioni compatibili con lesioni demielinizzanti ad andamento recidivante-remittente in fase attiva (Figure 1-3).
Successivamente è stata eseguita rachicentesi con determinazione delle bande oligoclonali con riscontro di 35.000 leucociti/mm3, presenza di n > 6 bande oligoclonali, liquorali (criterio interpretativo 2). Ad approfondimento diagnostico sono state eseguiti: ricerca di anticorpi anti-EBV (con riscontro di infezione pregressa), anticorpi anti-AQP4 e anti-MOG risultati negativi, potenziali motori evocati che evidenziavano un aumento del tempo di conduzione motorio centrale e potenziali evocati somatosensoriali, con riscontro di aumento della latenza e riduzione dell'ampiezza di conduzione dello stimolo nervoso. Si intraprendeva quindi terapia con metilprednisolone 750 mg/die per 5 giorni. Data la permanenza di importanti deficit funzionali si eseguiva secondo ciclo di terapia cortisonica ev. Al controllo radiologico eseguito a un mese di distanza si registrava la comparsa di nuove lesioni demielinizzanti e si decideva quindi di intraprendere terapia endovenosa con immunoglobuline. Successivamente si è assistito a un netto miglioramento delle condizioni generali con persistenza solo di minime note atassiche. È stata inoltre intrapresa valutazione neurocognitiva che ha evidenziato QI verbale nella norma per età (QI 96 scala WISC III). Non è stato invece possibile valutare il quoziente intellettivo di performance a causa della compromissione motoria in atto.
Discussione
La sclerosi multipla (SM) è una malattia demielinizzante cronica che colpisce le strutture cerebrali, il midollo spinale e il nervo ottico; si manifesta con episodi acuti a carattere neurologico separati nel tempo e nelle sedi fisiche di danno. La SM colpisce in età pediatrica (sotto i 16 anni) nello 0,4-10,5% dei casi, con una maggior incidenza nei maschi tra i 6 e i 12 anni e nelle femmine sopra i 12 anni, in maniera paragonabile all’incidenza nell’età adulta.
La patogenesi non è del tutto chiara; l’ipotesi genetica non è sostenuta da alcuna evidenza, anche se si presume che fattori ambientali e infettivi possano influire sulla base di predisposizioni a carico di alterazioni o ipersensibilità della risposta immune. In particolare si è visto che i pazienti affetti da SM presentano un’alterazione nella risposta cellulo-mediata sia della linea T (con iperattività dei Th1 rispetto ai Th2) che della linea B (con iperproduzione di immunoglobuline a livello tecale e produzione di autoanticorpi diretti contro componenti della mielina) riconducendo a un quadro pro-infiammatorio che risulta in demielinizzazione assonale, perdita assonale e rigenerazione, sia della sostanza grigia che della sostanza bianca.
L’andamento della patologia è quindi caratterizzato dal manifestarsi di queste lesioni e dal loro andamento nel tempo. I criteri diagnostici per la SM pediatrica sono gli stessi di quelli della SM nell’adulto (ovvero evidenza di lesioni diagnosticate clinicamente, radiologicamente, tramite potenziali evocati o analisi del liquor, occorse in tempi e sedi diverse).
Da diversi studi di casistica emergono alcune differenze tra la SM a esordio pediatrico e quella a esordio dopo i 18 anni. In particolare, i sintomi iniziali nel bambino sono caratterizzati soprattutto da neurite ottica isolata e disfunzioni cerebrali focali isolate, mentre segni di lesioni dei lunghi tratti neuronali sono più frequenti nell’adulto. Inoltre nel bambino tali sintomi sono spesso accompagnati da quadri simil-encefalitici che possono porre problemi di diagnosi differenziale con forme infettive o autoimmuni ADEM-like.
Nel bambino inoltre si è visto che l’andamento è tipicamente di tipo recidivante-remittente e la conversione nella forma progressiva impiega circa 10 anni di più a manifestarsi che non nelle forme a esordio nell’età adulta. Considerando però la precoce età di esordio nel bambino, il raggiungimento di un livello di disabilità avanzato è anticipato di circa 10 anni rispetto all’adulto, nonostante la maggior lentezza nella progressione della malattia.
Il livello di disabilità e quindi la progressione della malattia viene stabilita da scale di valutazione di cui la più utilizzata è la EDSS (Expanded Disability Status Scale) che valuta sostanzialmente la capacità di mantenere la deambulazione autonoma senza sostegno per una certa distanza e la riduzione progressiva di tale abilità. Il livello di disabilità può manifestarsi con un certo punteggio all’esordio e successivamente risolversi dopo la fase acuta, per poi nuovamente progredire in una nuova riesacerbazione. Nel bambino, inoltre, è stato visto che vi può essere, in associazione ai sintomi neurologici più specifici, un deterioramento cognitivo precoce e altrettanto progressivo, che sottolinea come la SM non sia una patologia benigna e che necessita di un rapido provvedimento terapeutico già al suo esordio.
Dal punto di vista terapeutico non esistono farmaci che portino a una completa guarigione dalla patologia; l’intento del trattamento è quello di modificare l‘andamento della stessa ritardandone le complicanze. A tale scopo vengono utilizzati farmaci corticosteroidei ad alte dosi e/o Ig ev nelle ricadute e terapie immunomodulanti di prima e seconda linea nei periodi intercritici.
Tra i farmaci di prima linea in Europa è attualmente autorizzato l’uso di interferone beta-1a e glatiramero acetato (polimero composto da 4 aminoacidi presenti nella proteina basica della mielina), i quali presentano lo stesso profilo di sicurezza e di efficacia dimostrati nella popolazione adulta. In caso di mancata risposta dopo 6 mesi o intolleranza al farmaco (tra gli effetti collaterali dell’interferone ricordiamo febbre, mialgia, cefalea, sintomi gastrointestinali, epatotossicità, alterazioni tiroidee e dell’ematopoiesi) è consigliato passare a farmaci di seconda linea. Nessuno dei farmaci di seconda linea utilizzati nell’adulto è però stato controllato con trial randomizzati nella popolazione pediatrica. Tra questi farmaci ricordiamo il natalizumab, anticorpo monoclonale legante la subunità alfa4 delle integrine alfa4beta1; il mitoxantrone, chemioterapico inibitore della topoisomerasi II; la ciclofosfamide; il rituximab e il fingolimod, modulatore del recettore della sfingosina-1-fosfato. Attualmente sono in studio trial per terapia orale con findgolimod, dimetil fumarato e teriflunomide.
Conclusioni
La sclerosi multipla è una malattia che raramente si manifesta in età pediatrica, e ancor meno sotto l'anno di età (casi aneddotici riportati in letteratura). Nel particolare caso della nostra piccola paziente, l'insorgenza del sintomo oftalmologico nel primo anno di vita, pur in assenza di chiare alterazioni neuroradiologiche in un'epoca in cui la mielinizzazione non è ancora completa, non ci ha portato a escludere che si sia trattato di un esordio precoce di SM.
Bibliografia di riferimento
- Angeli C, Battisin L. Neurologia Clinica. Società editrice esculapio, prima edizione, 2014.
- Boiko A, Vorobeychik G, Paty D, Devonshire V, Sadovnick D; University of British Columbia MS Clinic Neurologists. Early onset multiple sclerosis: a longitudinal study. Neurology 2002;59(7):1006-10.
- Ferreira ML, Machado MI, Dantas MJ, Moreira AJ, Souza AM. Pediatric multiple sclerosis analysis of clinical and epidemiological aspects according to National MS Society Consensus 2007. Arq Neuropsiquiatr 2008;66(3B):665-70.
- Ghezzi A, Amato MP, Makhani N, Shreiner T, Gärtner J, Tenembaum S. Pediatric multiple sclerosis: conventional first-line treatment and general management. Neurology 2016;87(9 Suppl 2):S97-S102.
- Jancic J, Nikolic B, Ivancevic N, et al. Multiple sclerosis in Pediatrics: current concepts and treatment options. Neurol Ther 2016;5(2):131-43.
- Kliegman R, Stanton B, et al. (eds). Nelson Textbook of Pediatrics. Elsevier, 19th edition.
- Renoux C1, Vukusic S, Confavreux C. The natural history of multiple sclerosis with childhood onset. Clin Neurol Neurosurg 2008;110(9):897-904.
- Verhelst H, De Waele L, Deconinck N, Ceulemans B, Willekens B, Van Coster R. Multiple sclerosis in Belgian children: a multicentre retrospective study. Eur J Paediatr Neurol 2017;21(2):358-66.
