Una marcia da ubriaca da trombosi del seno sigmoideo
Scuola di Specializzazione in Pediatria, Università di Trieste
Indirizzo per corrispondenza: antonioggrasso@gmail.com
Teresa, 4 anni, arriva in Pronto Soccorso per una caduta
da circa due metri con dinamica non nota senza perdita di
coscienza. A circa 3-4 ore di distanza, pur in ottime condizioni
generali, vomita cinque volte. Inoltre all’arrivo ci
viene riferito che sembra meno attiva, più spenta nei dialoghi.
Alla visita mostra una minima ecchimosi in sede
occipitale, mentre alla visita neurologica non appaiono
segni di lato, le pupille sono normoreattive, è irritabile ma
consolabile dalla mamma, dalla quale corre senza problemi.
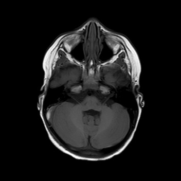
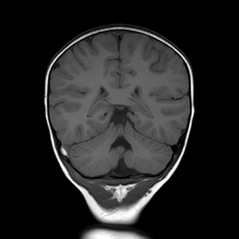
Esegue quindi una TAC che mostra una frattura
dell’osso occipitale con la presenza di un ematoma epidurale
di circa 9 mm adiacente al seno sigmoideo di destra.
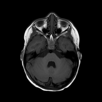
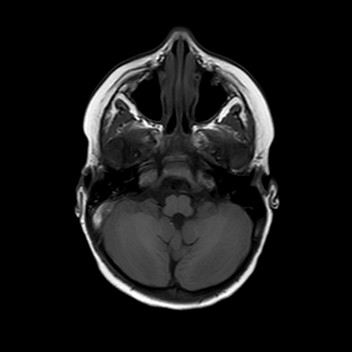
La bambina inizia quindi terapia con enoxaparina alla dose di 1700 UI x 2/die con aggiunta di terapia antibiotica con ampicillina-sulbactam per profilassi. Nei giorni successivi Teresa è stata bene, l’instabilità è andata progressivamente scomparendo senza vomito o cefalea. I successivi controlli all’angio-RM e alla TAC hanno mostrato un rallentamento del flusso in seno sigmoideo destro con tumefazione e netta iperdensità dello stesso, che sono andati progressivamente scomparendo con solo una minima falda ematica residua al giorno della dimissione, dieci giorni dopo il trauma. La terapia è stata dimezzata e poi interrotta dopo tre settimane dall’avvio.
La presenza di atassia alla marcia con vomito è un segno tipico della trombosi del seno sigmoideo che, per quanto rara nel bambino dopo un trauma, va esclusa con una angio-RM, non essendo la TAC in grado di visualizzare chiaramente il flusso nei seni venosi, soprattutto se all’immagine si sovrappone la contestuale presenza di un ematoma. Inoltre la progressione dei sintomi neurologici indicava il trattamento del trombo con eparina, a differenza dei casi asintomatici dove è indicata la semplice reidratazione per evitarne la progressione e lo sviluppo di ipertensione endocranica.
