La tracheite batterica e l’influenza
1Scuola di Specializzazione in Pediatria, Università di Trieste
2Department of Pulmonology, University Children’s Hospital, Ljubljana (Slovenia)
Indirizzo per corrispondenza: paolapascolo@gmail.com
Marco, 9 anni, da qualche giorno è raffreddato e presenta una tosse secca, talvolta abbaiante. Quando arriva in Pronto Soccorso è clinicamente molto impegnato, tachidispnoico, con importante stridor. Viene immediatamente trattato con adrenalina e corticosteroidi dapprima ev quindi inalatori, con stabilizzazione del quadro clinico ma senza un franco miglioramento; per questo il bambino viene trattenuto in Osservazione. In seconda giornata di ospedalizzazione si osserva un peggioramento del quadro clinico, febbre, desaturazione e necessità di ripetere frequentemente l’aerosol di adrenalina. Gli esami ematici mostrano una leucocitosi neutrofila (GB 16.700/mm3 di cui N 14.000/mm3) e modesto rialzo degli indici di flogosi (7,4 mg/dl).
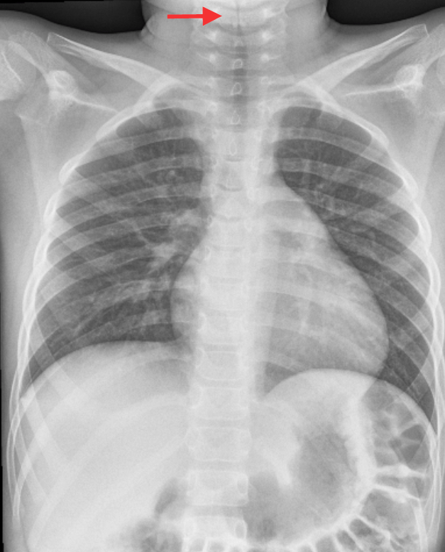
La radiografia del torace è diagnostica: evidenzia chiaramente un restringimento circolare del lume tracheale a livello di C5-C6, compatibile (considerata la clinica) con la diagnosi di tracheite batterica (Figura 1).
Dopo l’avvio di terapia antibiotica endovenosa (amoxicillina + clavulanato) il quadro clinico si è stabilizzato e progressivamente migliorato, il bambino non ha necessitato di intubazione ed è stato dimesso dopo 6 giorni di ospedalizzazione. Dal tampone nasofaringeo è stato isolato il virus dell’influenza A e il bambino, considerata la gravità del quadro clinico, ha ricevuto trattamento antivirale specifico. Le colture invece sono rimaste negative.
La tracheite batterica è responsabile del 5-14% dei ricoveri in Terapia Intensiva per ostruzione delle alte vie respiratorie. È una condizione rara, a esordio estremamente acuto, con necessità di ricorrere all’intubazione fino al 50% dei casi e un modesto rischio di mortalità. In assenza di tracheostomia, generalmente insorge come sovrainfezione batterica in corso di infezione virale (nella popolazione pediatrica complica circa il 2% dei casi di influenza). Dopo l’introduzione del vaccino contro Haemophilus influenzae tipo B, gli agenti eziologici più frequentemente coinvolti sono Staphylococcus aureus, Streptococcus pneumoniae e Haemophilus influenzae non tipizzabile, e il decorso clinico è meno drammatico (tracheite essudativa). Il picco di presentazione è generalmente tra i 3 e gli 8 anni, con quadro clinico generalmente più grave nei più piccoli. Per conferma diagnostica sarebbe necessaria una laringoscopia profonda o una broncoscopia, ma alle volte è sufficiente una radiografia, come nel nostro caso. Talvolta la broncoscopia è indicata con trattamento per rimuovere le pseudomembrane.
Take home message
Bisogna pensare sempre a una tracheite batterica in una laringite che non migliora con adeguata terapia o con presentazione simil-settica. E quando il sospetto è forte il caso va condiviso con i colleghi anestesisti.
