Quando l’intestino infiammato... è infetto! Storia di una bambina distrofica
1Scuola di specializzazione in Pediatria, Università “Milano-Bicocca”, ASST “San Gerardo”, Monza
2USC di Pediatria; 3USC di Anatomia Patologica, ASST “Papa Giovanni XXIII”, Bergamo
Indirizzo per corrispondenza: chiara_barboni@yahoo.it
Una bambina di origine indiana, nata in Italia, viene ricoverata per un quadro di distrofia in storia di scarso accrescimento ponderale (Figura 1). All’atto del ricovero: 8 anni, peso 12,5 kg (< 3° percentile), altezza 118 cm (50° percentile), BMI: 9. Non ha storia di infezioni croniche, di alterazioni dell’alvo, di sintomatologia dolorosa né di situazioni di disagio. È stata due volte in India per 30 giorni, 18 e 6 mesi prima del ricovero. Agli esami di primo livello: anemia microcitica con ferritina 300 ng/ml, PCR 14 mg/dl, VES 101 mm/h, calprotectina fecale > 3000 mg/kg, test del sangue occulto nelle feci (SOF) positivo su 3 campioni, esame coproparassitologico negativo, ASCA IgA debolmente positivi, IgG negativi. Mantoux negativa a 72 ore.
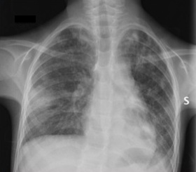
All’ecografia dell’addome: ispessimento di ultima ansa ileale, cieco, colon ascendente; vengono pertanto programmati esami endoscopici per sospetta malattia infiammatoria cronica intestinale. Per febbre, durante la degenza, esegue Rx torace: infiltrati interstizio-alveolari bilaterali (Figura 2).
Sierologie per polmonite e aspergillo negative. Esegue Quantiferon: positivo! Per tale riscontro effettua 3 aspirati gastrici: test per i bacilli acido-alcol resistenti (BAAR) positivo, e PCR (Polymerase Chain Reaction) positiva per Mycobacterium tuberculosis.
Nel frattempo l’esame endoscopico mostra, a livello di colon e ileo terminale, una mucosa con multiple ulcere, tratti edematosi e iperemici, valvola ileocecale beante, deformata, ulcerata (Figura 3); quadro compatibile con morbo di Crohn. Campioni bioptici vengono inviati in Anatomia patologica e in Microbiologia: flogosi granulomatosa focalmente necrotizzante, colorazione di Ziehl-Neelsen positiva per M. tuberculosis; coltura positiva per M. tuberculosis su biopsia del colon.
Si pone diagnosi di tubercolosi (TB) miliare intestinale e polmonare. Dopo 4 settimane di quadruplice terapia: peso 16 kg, SOF negativo, BAAR e PCR per M. tuberculosis su aspirato gastrico: negativi.
La TB intestinale nel bambino è rara, ha clinica aspecifica e può mimare il morbo di Crohn. Oltre al test IGRA, la ricerca di M. tuberculosis su biopsie intestinali è importante per la certezza diagnostica e, quindi, terapeutica. Il bambino viaggiatore richiede un approccio diagnostico che comprenda lo screening di malattie endemiche nell’area di provenienza.
