Storia di una malformazione artero-venosa che incontra un Leiden
Scuola di Specializzazione in Pediatria, Università di Ferrara
Indirizzo per corrispondenza: brtsra@unife.it
Giulio (nome di fantasia) è un ragazzo di quindici anni che viene condotto in Pronto Soccorso (PS), trasferito da un presidio riabilitativo territoriale, per dolore inguino-scrotale. La sua anamnesi è silente fino al mese prima, quando, in pieno benessere, ha presentato cefalea acuta, vomito a getto e perdita di coscienza. La TC encefalo ha documentato la presenza di un ematoma intracranico parietale destro atipico e l’angiografia ha dimostrato una malformazione artero-venosa (MAV) (Figure 1-3).
È stato sottoposto a intervento neuroradiologico di embolizzazione della MAV e a successivo intervento neurochirurgico di evacuazione dell’ematoma cerebrale. La TC post-operatoria ha documentato l’ottimale evacuazione dell’ematoma e l’angiografia ha escluso residui. Clinicamente il decorso post-operatorio è stato caratterizzato da un rapido recupero della coscienza ma con lieve emiparesi sinistra ed eminattenzione sinistra, per cui Giulio viene trasferito presso un Centro riabilitativo. Qui ha eseguito per 11 giorni terapia con enoxaparina sc e un percorso riabilitativo, arrivando a una completa risoluzione del quadro clinico.
Ma, dopo quasi un mese dall’esordio, Giulio ha iniziato a lamentare addominalgia-lombalgia e difficoltà alla deambulazione con claudicatio sinistra. Nei giorni seguenti il dolore in sede addominale e lombare si è attenuato ma è comparso dolore in regione inguino-scrotale sx > dx e nella parte prossimale degli arti inferiori. In seguito a rialzo febbrile (T max 38 °C) e a intensificazione del dolore, il medico del Centro riabilitativo ha richiesto degli esami ematici che hanno documentato leucocitosi neutrofila e rialzo della PCR (21 mg/dl) e ha deciso di inviarlo presso il nostro PS.
Alla visita ci è apparso in buone condizioni generali, eupnoico, il torace è negativo, l’addome è trattabile e non dolente, i polsi femorali sono validi e simmetrici, non sono presenti edemi agli arti inferiori.
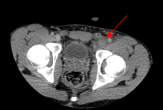
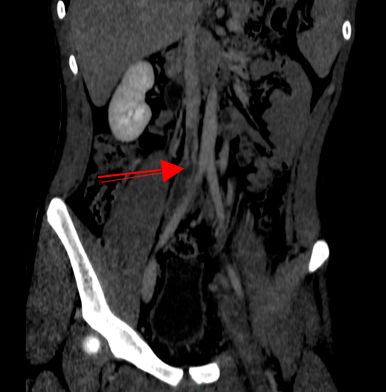
Per la storia di dolore inguino-scrotale e la difficoltà a deambulare viene eseguita una ecografia scrotale con riscontro collaterale di trombosi completa dell’asse popliteo iliaco femorale di sinistra! Per valutare l’estensione della trombosi viene eseguita angio-TC toraco-addominale che evidenzia la presenza di una parziale trombosi del tratto sottorenale della vena cava inferiore con trombosi completa di entrambe le vene iliache comuni, della vena iliaca esterna di sinistra e della femorale comune omolaterale associata inoltre a trombosi parziale della vena iliaca interna di destra (Figure 4 e 5).
Il chirurgo vascolare non ha posto indicazione chirurgica. Giulio ha iniziato terapia con enoxaparina sodica sc 6000 UI ogni 12 ore e terapia con warfarin. Inoltre, per l’aumento degli indici di flogosi e i segni di tromboflebite alla TC, viene impostata duplice terapia antibiotica endovenosa con ceftriaxone e gentamicina con sfebbramento in 3a giornata e normalizzazione degli esami ematici.
Dall’anamnesi è emerso che il padre presenta una mutazione in eterozigosi del fattore V di Leiden e che è in terapia con apixaban (inibitore diretto del fattore Xa).
Durante il ricovero, a completamento diagnostico, ha eseguito ecografia cardiaca, RM e angio-RM cerebrale, visita oculistica, anticorpi antifosfolipidi risultati negativi. Il controllo eco-Doppler pre-dimissione ha mostrato segni di iniziale ricanalizzazione della cava inferiore per cui è stato dimesso con indicazione a proseguire la terapia con warfarin ed enoxaparina.
Dopo circa un mese dalla sua dimissione è arrivato l’esito della genetica… Giulio ha la stessa mutazione del padre!
La trombofilia ereditaria dipende da difetti genetici che causano una riduzione quantitativa o un deficit qualitativo di uno o più degli inibitori naturali del sistema coagulativo o dei fattori coinvolti nel processo fibrinolitico. Una mutazione nel gene del fattore V produce un fattore mutato, inducente uno stato di resistenza alla proteina C attivata (APC-R), che lo rende insensibile alla degradazione da parte di APC. Questa condizione porta a un’iperproduzione di trombina, che sposta l’equilibrio emocoagulativo verso uno stato protrombotico. L’incidenza della mutazione Leiden è indicata come elevata: fino al 6% nella popolazione caucasica, 2-3% in quella italiana. L’APC-R è responsabile di molti casi di trombosi venosa: il rischio relativo è circa 5-7 volte per i portatori eterozigoti e fino a 90 volte per gli omozigoti, rispetto agli individui senza la mutazione di Leiden.
Alcune considerazioni finali
- È necessaria un’attenta profilassi antitrombotica nelle situazioni a rischio (per es. MAV, chirurgia, traumi, allettamento…).
- Ricordando la triade di Virchow (Figura 6)… se Giulio non avesse avuto una MAV forse il suo stato trombofilico non sarebbe mai emerso.
- Un’accurata anamnesi è di aiuto per tutti: per la salute del paziente prima di tutto!
Bibliografia di riferimento
- Castoldi G, Liso V. Malattie del sangue e degli organi ematopoietici. Ed. McGraw-Hill, 1997, pagg. 566-75.
