Una cefalea che non ti aspetti: Moyamoya
Scuola di Specializzazione in Pediatria, Università di Modena e Reggio Emilia
Indirizzo per corrispondenza: paola.zagni@gmail.com
Un adolescente di 13 anni, giocatore di basket e ottimo studente, giunge presso l’Accettazione pediatrica per cefalea fronto-temporale bilaterale di tipo pulsante associata a episodi di vomito, con risvegli notturni e parzialmente responsiva a terapia antidolorifica da circa 5 giorni.
All’arrivo si presenta in buone condizioni cliniche e con esame obiettivo neurologico nella norma. Vengono eseguiti: fundus oculi (negativo), TC encefalo che evidenzia “minuta areola di sfumata ipodensità a carico della sostanza bianca sottocorticale al passaggio temporo-parietale a sinistra, possibile espressione di spazio perivascolare dilatato; nella norma la densità del restante parenchima cerebrale” e restanti reperti nella norma. Viene rinviato a domicilio con consigli per l’emicrania, terapia antidolorifica e indicazione a eseguire RM encefalo in elezione.
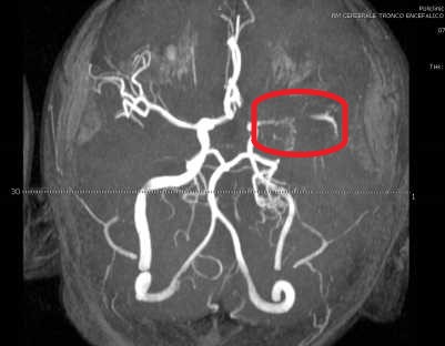
Il giorno successivo ritorna in Accettazione per il peggioramento della sintomatologia. La RM encefalo urgente descrive: “Nella sequenza angio-RM arteriosa intracranica l’arteria carotide interna sinistra dal tratto cervicale distale sino al sifone carotideo ha calibro uniformemente ridotto rispetto alla controlaterale senza segni di dissezione recente, l’arteria cerebrale media di questo lato si visualizza nel tratto M1 prossimale di aspetto sottile e nel tratto M1 distale non si osserva flusso, presenza di sottili strutture vascolari tortuose nella scissura silviana adiacente, i rami di divisione dell’arteria cerebrale media a valle sono assottigliati rispetto ai controlaterali; i reperti sono suggestivi di un quadro Moyamoya-like” (Figure 1 e 2).
Il ragazzo veniva pertanto ricoverato presso il nostro reparto, dove è stata iniziata terapia con acido acetilsalicilico (150 mg x 2 per i primi 4 giorni; successivamente 150 mg una volta die), ed è stata eseguita una angiografia cerebrale che confermava la stenosi a carico del tratto prossimale dell’arteria cerebrale media e la presenza di circoli collaterali di compenso, confermando così il quadro di Moyamoya-like.
A completamento diagnostico sono state eseguite indagini sierologiche per virus Herpes simplex 1 e 2, virus di Epstein-Barr, Herpes virus umano 6 e 8, parvovirus, adenovirus ed enterovirus risultate tutte negative per infezioni acute in atto; ecocardiogramma, ecografia addome, ecocolorDoppler dei tronchi sovra-aortici, elettroencefalogramma risultati tutti nella norma.
Gli esami ematici con assetto lipidico, assetto marziale, immunoglobuline, funzionalità tiroidea risultavano nella norma. Lo screening per trombofilia evidenziava una mutazione in eterozigosi del fattore V di Leiden.
È stato indirizzato, pertanto, verso un follow-up neurochirurgico e neuroradiologico, al fine di valutare la possibilità di intervento di rivascolarizzazione.
Discussione
La malattia di Moyamoya è una occlusione cerebrovascolare cronica a eziologia sconosciuta caratterizzata da cambiamenti steno-occlusivi nella porzione terminale della carotide interna che portano alla formazione di una rete vascolare anomala di compenso alla base dell’encefalo. I circoli compensatori collaterali danno all’angiografia il tipico aspetto a “nuvoletta di fumo” (in giapponese moyamoya). In considerazione del sempre maggior numero di pazienti con interessamento unilaterale e della progressione dei casi monolaterali verso la bilateralità, recentemente sono stati modificati i criteri diagnostici al fine di includere sia i casi mono- che bilaterali.
Nei casi monolaterali la diagnosi definitiva richiede l’angiografia, mentre nei casi bilaterali è sufficiente la risonanza magnetica.
Per ragioni sconosciute la malattia di Moyamoya è una condizione relativamente comune nei Paesi asiatici. Uno studio epidemiologico coreano riporta un’incidenza di 1/100.000 e una prevalenza di 9,1/100.000. Studi condotti fuori dall’Asia sono rari, ma la prevalenza e l’incidenza si riducono notevolmente. L’età di esordio mostra un andamento bimodale, con un primo picco tra i 10 e i 20 anni e un secondo picco tra la terza e la quarta decade.
Le manifestazioni cliniche variano a seconda dell’età: mentre negli adulti la malattia si manifesta tipicamente con emorragie intracerebrali, nei bambini e negli adolescenti con eventi ischemici.
L’ipoperfusione cerebrale comporta ricorrenti attacchi ischemici transitori o stroke ischemici spesso scatenati da iperventilazione, dovuta ad attività fisica o intellettuale, disidratazione, febbre o crisi di pianto. Infatti i vasi corticali compensatori sono tendenzialmente vasodilatati per sopperire alle occlusioni arteriose. L’ipocapnia che deriva dall’iperventilazione determina una vasocostrizione di tali vasi con successiva riduzione della perfusione cerebrale. Le manifestazioni legate alle steno-occlusioni sono multiple e ricorrenti: mono-emiparesi, afasia o disartria, alterazioni del sensorio. Raramente i pazienti possono sviluppare sintomi atipici quali sincope, sintomi visivi o psichiatrici. La cefalea è riportata essere un sintomo comune di esordio, come nel nostro caso, e probabilmente è dovuta a una stimolazione dei nocicettori della dura dai vasi collaterali dilatati, oppure anch’essa legata allo stato di ipossia cronica.
Il corso della malattia è variabile e può andare da una rapida progressione che conduce a severe disabilità sino a un silenzio clinico che può durare anche alcuni anni. In età pediatrica è stato riscontrato un progressivo peggioramento delle lesioni arteriose occlusive, sia in pazienti asintomatici sia in quelli che presentano lesioni unilaterali.
Uno passo cruciale nella valutazione dei pazienti con angiopatia di Moyamoya è la ricerca delle condizioni sottostanti o dei segni neurologici ed extra neurologici: sono numerose le condizioni acquisite o ereditarie associate ad angiopatia Moyamoya, ma spesso è difficile determinare se si tratti di un’associazione causale o incidentale.
Il trattamento principale è basato sulla rivascolarizzazione chirurgica: al momento non esistono però trial clinici randomizzati che valutino questo tipo di intervento in pazienti con stroke ischemici. È raccomandata inoltre terapia con antiaggreganti piastrinici orali a lungo termine per prevenire eventi trombotici e tromboembolismo nei siti di stenosi arteriosa. Nei bambini spesso viene utilizzata l’acido acetilsalicilico alla dose di 50-100 mg/die.
