Un trauma cranico con trombosi venosa
Scuola di Specializzazione in Pediatria, Dipartimento di Scienze Mediche - Sezione di Pediatria, Università di Ferrara e AOU Arcispedale Sant’Anna, Ferrara
Indirizzo per corrispondenza: cacciatore.euro@gmail.com
Una bambina di 5 anni giunge in Pronto Soccorso (PS) perché al risveglio presenta incapacità a mantenere l’equilibrio con tendenza alla retropulsione accompagnata da un episodio di vomito.
La madre ci racconta che il pomeriggio antecedente la piccola si era arrampicata sulla scrivania cadendo all’indietro da un’altezza di circa un metro, battendo l’occipite sul pavimento. La piccola ha pianto subito e non ha perso coscienza. Dopo qualche ora ha iniziato ad accusare dolore all’orecchio sinistro, responsivo al paracetamolo, e un episodio di vomito. Durante la notte ha riposato tranquillamente.
All’esame obiettivo in PS la bimba appariva abbattuta ma vigile e reattiva, presentava la tendenza alla retropulsione con impossibilità a mantenere la stazione eretta e nistagmo orizzontale a sinistra. Era inoltre presente una tumefazione del cuoio capelluto in sede occipitale sinistra, senza rime di frattura; la restante obiettività neurologica era negativa. In considerazione del quadro clinico, è stata eseguita una TC encefalo-orecchio interno che ha documentato la presenza di un’esile falda di ematoma in sede occipitale destra, associata a una iperdensità nella loggia del seno sigmoideo di destra compatibile con una trombosi del seno venoso sigmoideo.
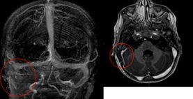
I colleghi neurochirurghi escludevano la necessità di intervenire chirurgicamente; il completamento diagnostico mediante RM encefalo con lo studio dei seni venosi ha confermato la presenza dell’ematoma sottodurale, associato a un segnale di flusso disuniforme in tutte le pesature, in particolare a carico del seno sigmoideo destro, suggestivo di impegno endoluminale (trombosi) (Figura 1).
Gli esami ematochimici erano risultati non significativi, in particolare non emergevano segni di anemizzazione e la coagulazione era nella norma.
L’elettroencefalogramma mostrava segni compatibili con sofferenza di modesta entità delle regioni posteriori destre, localizzazione compatibile con la sede della lesione post-traumatica. Dal punto di vista clinico, la tendenza alla retropulsione con impossibilità a mantenere la stazione eretta è andata gradualmente riducendosi, consentendo inizialmente il mantenimento della posizione seduta e successivamente il parziale recupero delle attività motorie e della deambulazione autonoma. Dopo una settimana, la piccola è stata dimessa senza terapia e con indicazione a eseguire una RM di controllo dopo una settimana.
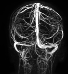
Al controllo clinico persisteva la tendenza alla retropulsione di lieve entità e la RM dell’encefalo dimostrava un’evoluzione in senso occlusivo dell’iniziale trombosi del seno sigmoideo, estesa anche al tratto distale del seno venoso trasverso (Figura 2).
Si decide pertanto di iniziare terapia con enoxaparina sottocute con successivo switch alla terapia anticoagulante orale con warfarin. La piccola è progressivamente migliorata dal punto di vista clinico, tollerando la terapia anticoagulante senza complicanze.
Al follow-up dopo 6 mesi l’obiettività neurologica era completamente negativa.
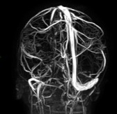
La risonanza dell’encefalo e l’angio-RM di controllo mostravano un quadro di ricanalizzazione a livello del seno sigmoideo, ma con un assottigliamento del segnale di flusso nell’emiporzione destra del seno trasverso, in prossimità della confluenza con il seno sagittale (Figura 3). Abbiamo deciso, vista la parziale ricanalizzazione, di continuare la terapia anticoagulante, al termine della quale la bambina eseguirà lo screening trombofilico.
Il follow-up di neuroimaging a 12 mesi ha mostrato una completa risoluzione della trombosi (Figura 4), pertanto ha sospeso la terapia con anticoagulante ed è tornata a mangiare spinaci!
Questo caso è indimenticabile perché:
- Anche i traumi con un’iniziale obiettività neurologica negativa possono riservare delle sorprese!
- Il trauma rappresenta una rara causa di trombosi venosa cerebrale in età pediatrica e richiede una gestione attenta.
- La terapia medica con anticoagulanti orali iniziata prontamente può contribuire a ridurre mortalità e morbilità.
Bibliografia
- Awad AW, Bhardwaj R. Acute post-traumatic pediatric cerebral venous thrombosis: Case report and review of literature. Surg Neurol Int 2014;5:53.
