Shaken baby syndrome
Scuola di Specializzazione in Pediatria, Dipartimento di Scienze Mediche – Sezione di Pediatria dell’Università di Ferrara e AOU Arcispedale Sant’Anna di Ferrara
Indirizzo per corrispondenza: cristina.forest88@gmail.com
Lattante nato a 30 + 6 settimane di gestazione da taglio cesareo emergente per pre-eclampsia materna. Alla nascita viene ricoverato in Terapia Intensiva Neonatale per prematurità e distress respiratorio tipo I. Durante il ricovero sono stati riscontrati DIV muscolare, emangioma capillare parietale destro e ipospadia peno-scrotale. Il piccolo è stato dimesso dopo circa 60 giorni e ai controlli ambulatoriali presso il curante è risultata una buona crescita ponderale.
A 3 mesi di vita i genitori lo conducono presso il nostro PS per riferita comparsa nel sonno mattutino di pianto lamentoso della durata di circa un’ora, seguito da iporeattività con tendenza all’addormentamento e pallore. Alla prima valutazione il piccolo si presenta ipotonico, pallido, gravemente iporeattivo, apiretico; la cute appare marezzata con estremità cianotiche e la fontanella a bombé. In regime di urgenza sono stati eseguiti equilibrio acido-base, esami ematochimici, esami delle urine e colturali risultati nella norma (si segnala Hb 8,8 g/dl); sono stati inoltre eseguiti ECG, EEG, ecografia cerebrale e Rx torace risultati negativi. Alla luce del quadro clinico severo è stata eseguita rachicentesi, ma il prelievo è risultato francamente ematico, tanto da attribuire inizialmente tale dato a un errore nella procedura. Nel sospetto di stato settico viene iniziata terapia antibiotica.
Dopo poche ore le condizioni cliniche migliorano decisamente e già in giornata il bambino inizia ad alimentarsi regolarmente. Alle valutazioni cliniche dei giorni successivi non vengono rilevati elementi patologici, a meno della persistenza di una fontanella a bombé pulsante.
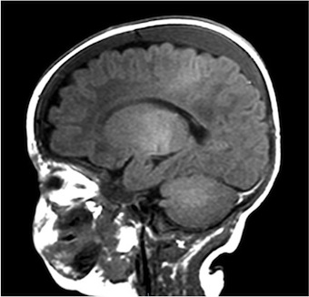
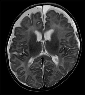
Per un miglior inquadramento clinico è stata pertanto posta indicazione all’esecuzione di RM encefalo. L’esame ha mostrato falde sottodurali intorno agli emisferi cerebrali di natura subacuta o cronica, emorragie in sede subaracnoidea e una sottile componente emorragica in fossa cranica posteriore dietro del cervelletto (Figura 1).
Nel sospetto di shaken baby syndrome è stata richiesta la visita oculistica con fundus oculi, che ha rilevato numerose emorragie diffuse su tutto l’ambito retinico, bilaterali e la skeletal survey che è risultata negativa. A necessario completamento diagnostico è stato indagato il profilo della coagulazione e sono stati eseguiti esami metabolici per escludere alcune patologie come la glutarico aciduria e la sindrome di Menkes, che possono essere responsabili di quadri clinici simili a quello descritto, e che sono ancora in corso.
La shaken baby syndrome (SBS) è una forma di abuso, in genere innescata dal pianto insistente, legata a violento scuotimento del lattante, con conseguente allungamento e lacerazione delle vene a ponte che portano alla formazione degli ematomi subdurali. Inoltre, durante il meccanismo di scuotimento due forze entrano in gioco: da un lato una forza rotazionale, dovuta alla rotazione del capo sul tronco, che provoca un danno assonale con conseguente apnee e formazione di lesioni ipossico-ischemiche; dall’altro una forza traslazionale che porta all’impatto dell’encefalo contro la scatola cranica e di conseguenza causa le emorragie subaracnoidee. La SBS ha un’incidenza di 15-38,5 casi/100.000 bambini, verosimilmente sottostimata; in genere sono più colpiti i lattanti di età inferiore a 6 mesi. I segni e sintomi con cui i pazienti si presentano sono vari e talvolta poco specifici: alterazione dello stato di coscienza, irritabilità, meningismo, crisi convulsive fino allo stato di male, emorragie retiniche, alterazione della respirazione, aumento della circonferenza cranica, fontanella tesa e pulsante, anemia ecc. La triade caratteristica è data da emorragie subdurali, emorragie retiniche ed encefalopatia. Da notare che in questa forma di abuso mancano i segni esterni di trauma; tale caratteristica comporta che spesso manca il sospetto di trovarsi di fronte a un bambino sottoposto a maltrattamento. I fattori di rischio sono: prematurità, disabilità, gemellarità, sindrome di astinenza, famiglia monogenitoriale con madre molto giovane, condizioni socioeconomiche e livello di istruzione bassi.
Il sospetto di SBS non deve essere dimenticato quando ci troviamo di fronte a un neonato o un piccolo lattante con segni neurologici senza cause apparenti e che presenti i fattori di rischio. Ruolo fondamentale per la diagnosi è rappresentato dalle neuroimmagini, in particolare la RM encefalo e rachide che, oltre a mostrare le lesioni caratteristiche (ematomi subdurali, le emorragie subaracnoidee, lesioni ipossico-ischemiche), può rilevare a livello cervicale altri segni tipici del trauma cervicale della SBS (ematomi spinali, edema dei tessuti molli e dei legamenti cervicali, lesioni alle vertebre cervicali). La SBS ha una prognosi severa: infatti circa il 25-30% dei pazienti muore, mentre il 60-70% mostra spesso esiti.
È importante sottolineare come molti studi dimostrano che i genitori dichiarino di scuotere i loro bambini solo per calmarli; sono perciò inconsapevoli della gravità del loro intervento. Una corretta informazione ai genitori, verosimilmente fornita alla dimissione dal Nido, è quindi importante affinché un gesto, inconsapevole o addirittura benevolo, non si trasformi in un grave danno per il neonato, soprattutto per le categorie più a rischio.
Bibliografia di riferimento
- Blumenthal I. Shaken baby syndrome review. Postgrad Med J 2002;78(926):732-5.
- di Pisa V, Silvestrini D, Marchiani V, Cordelli DM, Franzoni E, Lanari M. Emorragia subdurale nell’infanzia: una emergenza clinica e diagnostica. Area pediatrica 2016;17(3):122-5.
- Karibe H, Kameyama M, Hayashi T, Narisawa A, Tominaga T. Acute subdural hematoma in infants with abusive head trauma: a literature review. Neuro Med Chir 2016;56(5):264-73.
- Kemp AM. Investigation subdural haemorrhage in infants. Arch Dis Child 2002;86(2):98-102.
- Paul AR, Adamo MA. Non-accidental trauma in pediatric patient: a review of epidemiology, pathophysiology, diagnosis and treatment. Transl Pediatr 2014;3(3):195-207.
