Ematemesi rivelatrice
Università di Trieste
Indirizzo per corrispondenza: ropillon@gmail.com
Un ragazzo kosovaro di 15 anni giunge alla nostra attenzione in seguito a un episodio di ematemesi massiva prima del quale era sempre stato bene. Riferisce inoltre che nelle ultime settimane ha presentato prurito, soprattutto notturno.
All’esame obiettivo si riscontra solo una marcata splenomegalia. Gli esami ematici mostrano leucopenia, anemia e piastrinopenia (che si riveleranno essere da ipersplenismo), transaminasi nella norma, minima iperammoniemia, sintesi epatica nella norma, segni di colangite e colestasi (gamma-GT lievemente aumentata con rialzo dei sali biliari senza iperbilirubinemia) e indici di flogosi aumentati: VES 88 mm/h e ipergammaglobulinemia.
L’ecografia addominale mostra un quadro di importante ipertensione portale, con vena porta dilatata ma senza alterazioni cavernomatose, con fegato a ecostruttura lievemente disomogenea. L’endoscopia digestiva evidenzia varici esofagee di terzo grado, che vengono legate con lacci elastici, e segni di gastropatia congestizia.
Di fronte a un’ipertensione portale senza compromissione della sintesi epatica, dopo aver escluso un cavernoma della vena porta, ci orientiamo verso l’ipotesi di fibrosi epatica congenita, che in alcuni casi può presentarsi con una componente colangitica. Eseguiamo quindi una biopsia epatica che smentisce questa diagnosi mostrando invece un quadro di cirrosi di tipo biliare in evoluzione duttopenica. A questo punto si affaccia l’ipotesi di una cirrosi biliare primitiva, ma l’età e il genere non sono quelli tipici, e gli anticorpi anti-mitocondrio risultano negativi.
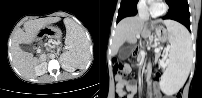
La diagnosi presuntiva al momento è quella di una colangite sclerosante dei piccoli dotti evoluta in cirrosi biliare. La TC evidenzia splenomegalia e varici gastriche ed esofagee (Figura 1). Siamo in attesa dello studio in risonanza magnetica delle vie biliari per chiarire la diagnosi definitiva.
Nel bambino, di fronte a un’ipertensione portale con sintesi epatica conservata che ha come prima manifestazione il sanguinamento delle varici esofagee, vanno considerati in prima battuta il cavernoma della porta e la fibrosi epatica congenita. Questo caso, la cui diagnosi non è ancora definitiva, sembra essere l’eccezione che conferma la regola!
