Dolori osteoarticolari persistenti: forse manca qualcosa?
Dipartimento di Pediatria, Policlinico Umberto I, “La Sapienza” Università di Roma
Indirizzo per corrispondenza: sarduini@live.it
Lo scorbuto è una malattia determinata dalla carenza di vitamina C. Nell’80% dei casi sono presenti sintomi muscoloscheletrici in quanto il deficit di vitamina C è responsabile delle alterazioni strutturali del collagene e comporta una ridotta formazione di matrice ossea con un aumento del suo riassorbimento. Tale patologia deve rientrare nella diagnosi differenziale dei dolori osteoarticolari che giungono all’osservazione del reumatologo.
Descriviamo quattro casi di scorbuto esorditi con importante sintomatologia dolorosa osteoarticolare in bambini con alimentazione estremamente selettiva.
Paziente 1 - Maschio di 5 anni, con disturbo generalizzato dello sviluppo e selettività del comportamento alimentare, presenta dolore urente agli arti inferiori, difficoltà nella deambulazione ed ecchimosi. Gli esami ematochimici mostrano anemia microcitica e indici infiammatori negativi. La vitamina C risulta indosabile.
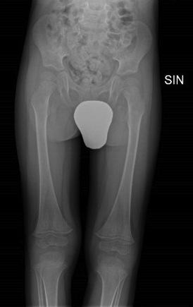
Paziente 2 - Maschio di 6 anni con disturbo dello spettro autistico e alimentazione selettiva. Comparsa di zoppia con rifiuto della deambulazione e petecchie agli arti inferiori. Viene sospettata una porpora di Schönlein-Henoch. Per il persistere della sintomatologia articolare esegue Rx arti inferiori che mostra alterazioni suggestive di un quadro carenziale (Figura 1). Il dosaggio della vitamina C conferma il sospetto di scorbuto.
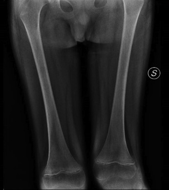
Paziente 3 - Maschio di 7 anni con sindrome genetica (microduplicazione 1q21.1) e rifiuto dell’alimentazione. Presenta improvviso dolore al femore sinistro ed esegue Rx con evidenza di apposizione periostea sul versante laterale e mediale del femore a livello diafisario (Figura 2). La scintigrafia ossea mostra iperattività osteometabolica a livello del femore sinistro e in altre sedi. Per cui, nel sospetto di CRMO esegue RM che conferma la presenza di molteplici aree di alterata intensità di segnale. Si programma quindi biopsia ossea ma il dosaggio della vitamina C permette di porre diagnosi di scorbuto.
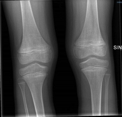
Paziente 4 - Maschio di 3 anni con riferito improvviso rifiuto della deambulazione. La RM encefalo e midollo risulta negativa mentre la RM del bacino e la scintigrafia mostrano un quadro suggestivo di sacroileite. Da una più accurata anamnesi emerge che il bambino ha un’alimentazione estremamente selettiva per cui si ipotizza un difetto vitaminico. Effettua quindi Rx arti inferiori che mostra bande di radiotrasparenza e ispessimento della corticale (Figura 3). Il dosaggio della vitamina C conferma la diagnosi di scorbuto.
I pazienti hanno presentato una rapida risoluzione della sintomatologia con la supplementazione vitaminica.
Conclusioni
Di fronte a un bambino con dolori osteoarticolari persistenti è importante effettuare un’accurata anamnesi e pensare anche a una patologia carenziale. Lo scorbuto, molto frequente in passato, non è tuttavia così raro anche ai giorni nostri in particolare in bambini con alimentazione estremamente selettiva.
