Radiografia con reazione periostale: la leucemia in diagnosi differenziale
UOC di Pediatria, Ospedale “Ca’ Foncello”, Treviso
*Scuola di Specializzazione in Pediatria, Dipartimento di Salute della Donna e del Bambino, Università di Padova
Indirizzo per corrispondenza: martaminute@gmail.com
Un lattante di tre mesi, secondogenito, viene portato in Pronto Soccorso per crisi di pianto attribuite dai genitori a un dolore a carico della coscia destra successivo a un trauma banale da contatto accidentale con il seggiolino della macchina, avvenuto il giorno precedente.
L’anamnesi è per il resto muta: non altri traumi, non febbre; a domicilio continua ad alimentarsi regolarmente e se non toccato non appare disturbato.
Alla visita l’arto appare lievemente tumefatto, con cute integra, senza calor al termotatto. Alla palpazione della coscia destra il piccolo inizia a piangere, al contrario non si evoca dolore alla mobilizzazione né attiva né passiva. Complessivamente è un bel bambino, forse un po’ pallido, senza alcun altro elemento all’esame obiettivo.
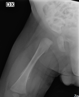
Viene eseguita una radiografia (Rx) di anca e femore destri che mostra una importante reazione periostale al terzo medio-distale del femore con area di rarefazione ossea associata a tumefazione dei tessuti molli adiacenti (Figura 1).
La lesione periostale e l’interessamento dei tessuti molli fanno pensare in primis a una osteomielite, anche se non vi sono né pseudoparalisi né febbre, ma la diagnosi differenziale obbliga a considerare anche la microfrattura da maltrattamento (Rx total body negativa per altre lesioni come risulta anche negativa la ricerca di emorragie retiniche) e, non ultimo, a una malignità.
Il semplice emocromo purtroppo dirime ogni dubbio: GB 171.000/mm3 (N 104.000/mm3, L 29.000/mm3, Mo 34.000/mm3), Hb 9,3 mg/dl, PTL 95.000/mm3, con LDH 1026 U/l.
Il giorno seguente esegue aspirato midollare e immunoistochimica: leucemia mieloide acuta iperleucocitosica, MLL-positiva, ad alto rischio.
Il dolore osteoarticolare è frequente all’esordio delle leucemie acute, associato ad altri sintomi nel 40% dei casi, come sintomo principale nel 25%. Più comune nelle leucemie linfoblastiche acute rispetto alle leucemie mieloidi acute, si presenta come dolore osseo diffuso che coinvolge tipicamente le ossa lunghe. L’imaging radiografico si caratterizza per presenza di strie metafisarie, osteolisi, osteosclerosi, osteopenia e, come per il nostro bambino, reazione periostale. Nel nostro caso l’emocromo è stato dirimente, ma in letteratura sono descritti casi, non rari, di esordio con interessamento osseo ed emocromo normale.
Non va quindi dimenticato che, di fronte a un Rx con reazione periostale, la leucemia deve sempre rientrare in diagnosi differenziale.
Bibliografia di riferimento
- Fonseca MB, Gomes FHR, Valera ET, et al. Signs and symptoms of rheumatic diseases as first manifestation of pediatric cancer: diagnosis and prognosis implications. Rev Bras Reumatol Engl Ed 2017;57(4):330-7. doi: 10.1016/j.rbre.2017.01.007.
- Riccio I, Marcarelli M, Del Regno N, et al. Musculoskeletal problems in pediatric acute leukemia. J Pediatr Orthop B 2013;22(3):264-9. doi: 10.1097/BPB.0b013e32835d731c.
