Un bambino che non mangia… e non sta seduto
1Scuola di Specializzazione in Pediatria, Università di Firenze
2UO di Pediatria Medica, Ospedale “Anna Meyer”, Firenze
Indirizzo per corrispondenza: giulia.trippella@gmail.com
Descriviamo il caso di un bambino di 11 mesi inviato dal curante all’attenzione del reparto di Pediatria, in seguito al riscontro di arresto della crescita staturo-ponderale e della circonferenza cranica, in associazione ad arresto dello sviluppo psicomotorio. Nato a termine da terza gravidanza normodecorsa, con peso alla nascita 3950 g. A sei mesi era stato iniziato il divezzamento, ma i genitori riferivano che il bambino rifiutava la maggior parte dei cibi proposti e che continuava ad avere una dieta prevalentemente a base di latte materno.
Alla valutazione clinica appariva in condizioni cliniche discrete, di colorito pallido. Presentava ipotono assiale e ritardo dell’acquisizione delle tappe evolutive, in particolare non manteneva la posizione seduta. Gli esami ematici mostravano un quadro di anemia macrocitica (Hb 6,5 g/d, MCV 101 fl, MCH 34,3 pg/ml), con neutropenia e piastrine ai limiti inferiori della norma. Allo striscio di sangue periferico si riscontravano neutrofili ipersegmentati. Visto il quadro neurologico, è stata eseguita una TC cranioencefalica, che ha mostrato atrofia del parenchima cerebrale con consensuale dilatazione degli spazi liquorali periencefalici.
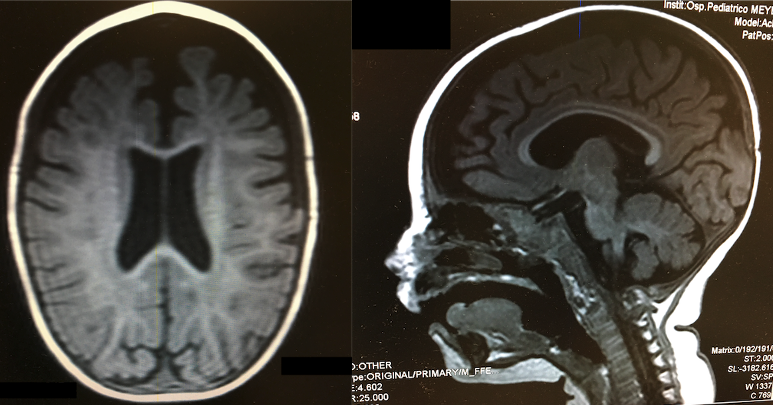
La RM encefalica ha confermato l’atrofia della sostanza bianca biemisferica, con assottigliamento del corpo calloso (Figura 1). Estendendo l’anamnesi nutrizionale è emerso, inoltre, che la madre seguiva una dieta vegetariana fin dall’inizio della gravidanza. In considerazione dei dati anamnestici, del quadro di anemia macrocitica e del coinvolgimento della sostanza bianca encefalica, è stato quindi posto il sospetto di carenza di vitamina B12.
Le successive indagini diagnostiche hanno confermato livelli di vitamina B12 notevolmente ridotti (< 60 pg/ml), con livelli incrementati di acido metilmalonico plasmatico e urinario e iperomocisteinemia. Pertanto è stata intrapresa terapia con idrossicobalamina, con progressivo miglioramento degli esami ematici e dello sviluppo neuroevolutivo. È stato inoltre intrapreso un percorso nutrizionale volto a instaurare un’alimentazione adeguata alle esigenze del bambino.
Il deficit di vitamina B12 è raro nel lattante, tuttavia l’incidenza è più alta nei bambini allattati al seno da madri vegetariane o vegane. Di fronte a un lattante con arresto dello sviluppo psicomotorio è importante indagare le abitudini alimentari del bambino e della famiglia, oltre a eseguire l’analisi dell’emocromo: un’anemia macrocitica associata ad arresto dello sviluppo psicomotorio deve far porre il sospetto di deficit di vitamina B12. La vitamina B12 è essenziale per lo sviluppo del sistema nervoso e una sua carenza comporta una riduzione della sintesi di neurotrasmettitori e un ritardo nella mielinizzazione neuronale, con conseguenti atrofia della sostanza bianca cerebrale, disturbi dello sviluppo psicomotorio e sintomi neurologici. Tali alterazioni sono reversibili in seguito al trattamento, se prontamente riconosciute. Pertanto, è fondamentale una diagnosi tempestiva e un trattamento adeguato al fine di evitare esiti neurologici permanenti. Infine, è importante un adeguato counselling alimentare alla famiglia, mirato a evitare carenze alimentari nella dieta del bambino.
