Storia di un murmure vescicolare che non c’è
Scuola di Specializzazione in Pediatria, Università di Firenze
Indirizzo per corrispondenza: gaiavarriale@libero.it
Il nostro paziente è un bambino con una storia pregressa di frequenti infezioni respiratorie: all’età di 8 mesi è stata riscontrata radiologicamente una broncopolmonite in sede retrocardiaca sinistra; a 10 mesi di vita ha avuto una bronchite asmatiforme; infine, a 12 mesi ha presentato una nuova infezione respiratoria, per cui eseguiva una radiografia del torace, risultata negativa per addensamenti.
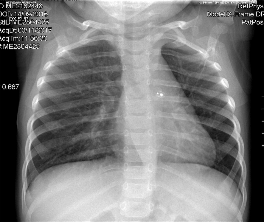
Dopo quest’ultima infezione, al controllo clinico, il curante ha riscontrato all’ascultazione toracica un murmure vescicolare costantemente ridotto alla base polmonare di sinistra, senza riferiti episodi di inalazione di corpi estranei. Così, a soli 13 mesi, il bambino giungeva alla nostra osservazione per eseguire la terza Rx torace, che mostrava ipodiafania del polmone sinistro, in assenza di addensamenti (Figura 1).
Visto il quadro clinico e radiografico è stato richiesto l’esame broncoscopico, che ha messo in evidenza malacia critica del bronco principale sinistro, a livello del suo segmento intermedio, con occlusione completa del lume e con sovrapposta doppia compressione pulsatile antero-posteriore.
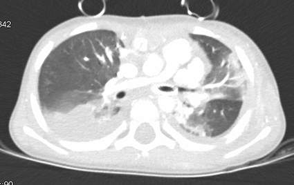
Nell’ipotesi di anello vascolare, è stata eseguita TC torace con riscontro di riduzione di calibro del tratto intermedio del bronco principale (> 90%) con rapporti di continuità con strutture vascolari e consensuale oligoemia diffusa del polmone sinistro e riduzione di calibro dei vasi arteriosi e venosi omolaterali (Figura 2).
Dopo 2 mesi il piccolo è stato sottoposto a intervento di rimozione dell’anello vascolare e plastica del ramo polmonare sinistro, presso un altro ospedale. Dopo qualche giorno dall’intervento, giungeva nuovamente alla nostra attenzione per ipoalimentazione, calo ponderale e distress respiratorio, per eseguire Rx del torace con riscontro di “sfumato addensamento parenchimale in sede basale paracardiaca sinistra”. Pertanto, vista la storia pregressa, è stata effettuata una nuova broncoscopia che ha evidenziato paresi cordale sinistra e malacia del bronco principale sinistro, per cui il piccolo veniva ricoverato per iniziare terapia antibiotica ev. Tuttavia, per la persistenza della riduzione del MV a sinistra e accessi di tosse catarrale ha eseguito angio-TC polmonare, che mostrava bronco principale sinistro collassato per circa 7-8 mm e bande di addensamento parenchimale, come da atelettasia, nel segmento mediale del lobo medio e nel segmento inferiore della lingula (Figura 3).
Dopo 4 mesi, è stato sottoposto a secondo intervento di rimozione di tessuto cicatriziale peribronchiale sinistra, ricostruzione della parete aortica, fissaggio dell’arteria polmonare e aortopessi posteriore. Il decorso postoperatorio è trascorso senza complicanze, quindi il piccolo paziente è stato dimesso con programmati controlli di follow-up.
Questo caso ci insegna come episodi ricorrenti nella stessa sede polmonare debbano far pensare a una causa locale (malformazioni congenite, come anelli vascolari, presenza di corpi estranei inalati ecc.) e quindi dovrebbero indurre a eseguire indagini strumentali mirate.
