Ruolo della RM cardiaca nel follow-up a lungo termine della MIS-C
1IRCCS Materno-Infantile “Burlo-Garofolo”, Università di Trieste
2Ospedale Pediatrico Meyer, Firenze
3ASST Spedali Civili, Brescia
Indirizzo per corrispondenza: simone.benvenuto2@icloud.com
Introduzione
L’interessamento cardiaco in corso di sindrome infiammatoria multisistemica nei bambini (MIS-C) è frequente e spesso severo, sebbene si accompagni di solito a rapido miglioramento dopo terapia appropriata. La letteratura sull’evoluzione a lungo termine del danno cardiaco è però limitata. Lo scopo di questo studio era di valutare la prognosi a lungo termine del coinvolgimento cardiaco in pazienti affetti da MIS-C mediante risonanza magnetica (RM) cardiaca.
Metodi
In questo studio retrospettivo multicentrico sono stati raccolti i dati demografici e clinici dei pazienti afferenti a tre ospedali pediatrici di terzo livello (Istituto Materno-Infantile IRCCS Burlo Garofolo, Trieste; ASST Spedali Civili, Brescia; Ospedale Pediatrico Meyer, Firenze) da febbraio 2020 a novembre 2021 con diagnosi di MIS-C, che avevano ricevuto una RM cardiaca in corso di follow-up.
Risultati
20 pazienti con pregressa diagnosi di MIS-C, di età compresa fra 9 e 17 anni (mediana 12) e in maggioranza maschi (75%), sono stati inclusi nello studio. I segni e sintomi più frequenti nella fase acuta erano stati la febbre (100%), i disturbi gastro-intestinali (70%), la congiuntivite (55%), e l’ipotensione e/o lo shock (55%). Tutti avevano presentato evidenza laboratoristica (troponina I, troponina T, NT-proBNP) di coinvolgimento miocardico, con riscontro ecocardiografico all’ingresso di una disfunzione del ventricolo sinistro nell’83% dei casi (di cui severa nel 20%). La metà aveva richiesto un ricovero in terapia intensiva pediatrica per una mediana di 7 giorni. Tutti avevano mostrato una buona risposta alla terapia ed erano stati dimessi in benessere, con lievi alterazioni ecocardiografiche residue (disfunzione lieve del ventricolo sinistro, versamento pericardico, segni di miopericardite) nel 21% dei casi.
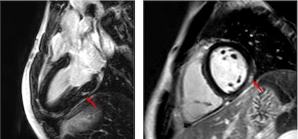
I pazienti avevano ricevuto una RM cardiaca di follow-up con un intervallo mediano di 3 mesi, fino ad un massimo di 9 mesi. Una disfunzione lieve del ventricolo sinistro era presente nel 20% dei pazienti, tutti però con ecocardiografia alla dimissione nella norma. Meno frequenti i segni di edema miocardico (5%) e il riscontro di una falda di versamento pericardico (5%), in accordo con la letteratura esistente1. Un pattern di enhancement tardivo del gadolinio, espressione di fibrosi cicatriziale, caratterizzava il 25% dei pazienti, benché minimo per entità (Figura 1). Le cicatrici miocardiche sono esiti tipici delle miocarditi, sia virali che immuno-mediate2. Sebbene non sia possibile predire l’evoluzione di tali cicatrici in pazienti affetti da MIS-C, in uno dei pazienti inclusi in questo studio, rivalutato con RM cardiaca dopo 7 mesi, si era osservata una riduzione dell’entità dell’esito cicatriziale.
Conclusioni
Nonostante la severità del coinvolgimento cardiaco nella fase acuta della MIS-C, l’outcome cardiaco a lungo termine è buono. Studi più ampi sono necessari per confermare questa evoluzione positiva e stabilire la reale necessità delle restrizioni all’attività fisica o di terapie cardioprotettive in questi pazienti.
Bibliografia
- Bartoszek M, Małek LA, Marzena Barczuk-Falęcka M, Michał Brzewski M. Cardiac magnetic resonance follow-up of children after pediatric inflammatory multisystem syndrome temporally associated with SARS-CoV-2 with initial cardiac involvement. J Magn Reson Imaging 2022;55(3):883-91. doi: 10.1002/jmri.27870.
- Malek LA, Kamińska H, Barczuk-Falęcka M, et al. Children with acute myocarditis often have persistent subclinical changes as revealed by cardiac magnetic resonance. J Magn Reson Imaging 2020;52(2):488-96. doi: 10.1002/jmri.27036.
