Sinusite con sorpresa
Scuola di Specializzazione in Pediatria, Università di Trieste
Indirizzo per corrispondenza: irenemalni94@gmail.com
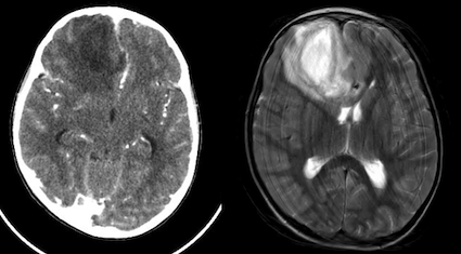
Bambino di 9 anni che viene portato in Pronto Soccorso per persistenza di febbre che dura da circa una settimana, associata a cefalea e vomito che sono comparsi nelle ultime ore. È in terapia da alcuni giorni con amoxicillina per una sinusite. Obiettivamente il bambino preoccupa, è molto pallido, risponde a tono alle domande, ma tende ad assopirsi, complessivamente il suo GCS è di 14. All’esame obiettivo neurologico il test di Lasegue è negativo e, pur non avendo un franco rigor del collo, il bambino lamenta dolore alla flessione. Eseguiamo immediatamente una dose di ceftriaxone nel dubbio di una meningite. Gli esami ematici sono subito indicativi per un’infezione con una spiccata leucocitosi neutrofila e indici di flogosi elevati. Alla luce del quadro clinico, associato a una tendenza alla bradicardia (FC 55-65 bpm), pur senza ipertensione, decidiamo di eseguire un esame neuro radiologico urgente per escludere una lesione intracranica: la TC ci mostra che il bambino ha un ascesso cerebrale frontale destro con edema limitrofo e iniziale shift della linea mediana (Figura 1). A questo punto vengono somministrati metronidazolo, desametasone e mannitolo. Il bambino viene trasferito in Neurochirurgia dove viene eseguita una RM che conferma il quadro visto in TC; viene quindi aggiunta alla terapia antibiotica la vancomicina e viene eseguito il drenaggio dell’ascesso. Alla luce delle difficoltà di svuotamento completo della lesione il bambino viene quindi trasferito in un Centro neurochirurgico pediatrico dove l’esecuzione di un ulteriore drenaggio, associato a una variazione della terapia antibiotica con cefotaxime, cotrimossazolo e clindamicina, portano a un progressivo miglioramento del quadro.
In questo caso clinico ci troviamo di fronte a uno dei meccanismi più tipici di formazione di un ascesso cerebrale; l’infezione si è infatti propagata da un focolaio di infezione contiguo (25-50% dei casi di ascesso cerebrale), una sinusite. La stessa complicanza può accadere nell’otite media/mastoidite o in un’infezione odontogena. Gli altri meccanismi patogenetici sono la diffusione ematogena e l’inoculazione diretta (es. corpo estraneo). I sintomi (vomito, cefalea e bradicardia) sono suggestivi per un’ipertensione endocranica. Frequente il riscontro obiettivo di meningismo. L’imaging urgente (RM se possibile, TC in alternativa) gioca un ruolo fondamentale nella diagnosi differenziale e il riscontro della tipica lesione cercinata è sempre diagnostico. Da evitare nel percorso diagnostico la puntura lombare per il rischio di erniazione cerebrale, considerando che l’analisi del liquor non aggiunge informazioni utili alla gestione o al trattamento.
La terapia antibiotica iniziale solitamente prevede l’utilizzo di cefalosporine o carbapenemici, nel caso l’infezione derivi per contiguità da otite/sinusite/infezione odontogena la prima scelta cade su ceftriaxone e metronidazolo, che offrono una copertura per Gram-positivi e anaerobi. Negli altri casi è invece preferibile utilizzare la vancomicina associata alla cefalosporina. Se vi è evidenza di edema cerebrale perilesionale è indicato aggiungere desametasone come antiedemigeno. Anche mannitolo e soluzione salina ipertonica trovano spazio nel trattamento dell’ipertensione endocranica, ma non vi sono attualmente evidenze della superiorità di uno rispetto all’altro. Nel caso in cui la lesione sia superiore ai 2,5 cm e il Glasgow Coma Scale < 12 è indicato il drenaggio in stereotassi, qualora la localizzazione dell’ascesso sia accessibile neurochirurgicamente.
La comparsa di sintomatologia neurologica in corso di un’infezione, ancor più se suggestiva di ipertensione endocranica, è sempre un grosso segnale di allarme e impone di escludere la presenza di un ascesso cerebrale. Per quanto rara è una complicanza ben descritta in letteratura. Non esitare nel richiedere un esame radiologico e infine non fare la puntura lombare.
Bibliografia di riferimento
- Clement WA, Sooby P, Doherty C, Qayyum N, Irwin G. Acute isolated sphenoid sinusitis in children: A case series and systematic review of the literature. Int J Pediatr Otorhinolaryngol 2021;140:110492. doi: 10.1016/j.ijporl.2020.110492.
- Engelborghs S, Niemantsverdriet E, Struyfs H, et al. Consensus guidelines for lumbar puncture in patients with neurological diseases. Alzheimers Dement (Amst) 2017;8:111-26. doi: 10.1016/j.dadm.2017.04.007.
- Miranda AH, Castellar-Leones SM, Elzain MA, Moscote-Salazar LR. Brain abscess: current management. J Neurosci Rural Pract 2013;4(Suppl 1):S67-81. doi: 10.4103/0976-3147.116472.
