Traumi cervicali, non solo rachide: attenzione ai vasi!
Scuola di Specializzazione in Pediatria, Università Cattolica del Sacro Cuore; Clinica Pediatrica, Fondazione Policlinico Universitario “A. Gemelli” IRCSS, Roma
Indirizzo per corrispondenza: giorgio.amadio97@gmail.com
Una ragazza di 14 anni in buone condizioni di salute accedeva presso il Pronto Soccorso (PS) pediatrico di un ospedale periferico in seguito a incidente stradale. La ragazza si trovava in macchina, seduta sul sedile anteriore, insieme al guidatore e all’attraversamento di un incrocio è avvenuto l’urto con un altro veicolo. Nell’impatto ha battuto la testa contro il vetro anteriore e il cruscotto dell’auto e il collo contro il volante.
In considerazione della dinamica del trauma e dell’esame obiettivo, la ragazza veniva sottoposta a una TC cranio-cervicale e massiccio-facciale senza mezzo di contrasto, risultata negativa per emorragie endocraniche ma con evidenza di frattura del condilo mandibolare sinistro. Vista l’assenza di alterazioni all’esame obiettivo neurologico e la negatività della TC del cranio veniva dimessa dopo un periodo di osservazione clinica con diagnosi di trauma distorsivo del rachide cervicale e frattura mandibolare e indicazione a terapia analgesica e a dieta liquida.
Dopo quattro giorni, durante i quali veniva riferito relativo benessere, la ragazza accedeva nuovamente presso il PS per insorgenza di afasia, deficit motorio dell’emilato destro e perdita del controllo sfinteriale. Venivano eseguiti in urgenza TC encefalo e angio-TC dei vasi intra ed extra-cranici che documentavano segni di sofferenza ischemica acuta in sede capsulo-lenticolare sinistra, con possibili segni di micro-infarcimento emorragico, e difetto di opacizzazione dell’arteria carotide interna (ACI) sinistra, come per dissezione carotidea, e occlusione di verosimile natura tromboembolica del tratto distale di M1.
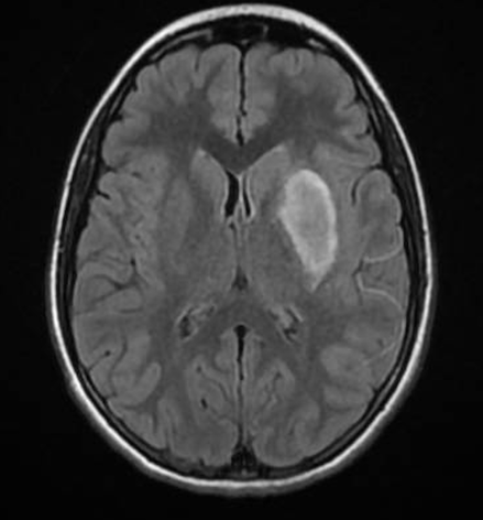
Sulla base dei dati emersi si disponeva il trasferimento presso la Terapia Intensiva Pediatrica del Policlinico Gemelli. All’arrivo la paziente appariva vigile, orientata e collaborante, emodinamicamente stabile, con afasia di produzione, plegia dell’arto superiore destro e paresi dell’arto inferiore destro. Si eseguiva RM encefalo (Figura 1) e si ripeteva angio-TC, con conferma di quadro neuroradiologico compatibile con stroke ischemico da dissezione post-traumatica della carotide interna sinistra (Figura 2) con occlusione tromboembolica del tratto distale di M1, della biforcazione dell’ACM sinistra e di un ramo insulare più distale. Visti il tempo intercorso dall’inizio della sintomatologia, il quadro neuroradiologico e la stabilità del quadro neurologico non vi era indicazione all’esecuzione di trattamento endovascolare o trombolisi sistemica, ma iniziava terapia antiaggregante con acido acetilsalicilico 300 mg/die.
Durante il ricovero in Terapia Intensiva Pediatrica l’emodinamica è rimasta sempre stabile e non si è posta necessità di assistenza respiratoria; dal punto di vista neurologico si evidenziava un iniziale recupero del deficit di forza dell’emilato destro ma persistenza di eloquio ipofonico e ipofluente, con comprensione conservata. Alla RM encefalo di controllo dopo una settimana si documentava stabilità dell’area di sofferenza ischemico-emorragica, assenza di flusso in ACI sinistra, ma pervietà del tratto M1 distale e della biforcazione dell’ACM sinistra. Su indicazione del neurologo si proseguiva terapia antiaggregante e si eseguivano esami ematici per screening trombofilico (PT, aPTT, dosaggio fibrinogeno, D-dimero, antitrombina III), risultati tutti negativi.
La ragazza ha continuato la degenza nel reparto di Neuropsichiatria Infantile, presso il quale ha presentato discrete condizioni cliniche con parziale miglioramento del deficit motorio dell’emilato destro e ha iniziato la terapia riabilitativa fisioterapica e logopedica. Le criticità principali consistevano nella persistenza del disturbo del linguaggio, di emiparesi facio-brachio-crurale destra e di difficoltà percettive e inattenzione a carico dell’emisoma destro. In relazione alla stabilità clinica della paziente si trasferiva presso altra struttura per il proseguimento del ciclo riabilitativo, al termine del quale verrà eseguito nuovo ricovero per ripetizione degli esami neuroradiologici.
Lo stroke in età pediatrica è di raro riscontro, però costituisce una causa importante di morbilità e morbidità. Le eziologie, i fattori di rischio e le modalità di presentazione differiscono da quelle dell’adulto. La diagnosi viene spesso effettuata in ritardo e circa i 2/3 dei pazienti pediatrici con stroke presentano deficit neurologici permanenti. Mancano inoltre evidenze che supportino l’efficacia degli interventi terapeutici e vi è necessità di ulteriori studi che definiscano protocolli di gestione appropriati dello stroke pediatrico. Questo caso pone l’attenzione sulla dissezione carotidea post-traumatica come una delle cause principali di stroke pediatrico (7,5-20% dei casi) e suggerisce che in pazienti con in anamnesi un recente trauma cervicale bisogna sospettare precocemente una dissezione della carotide interna in presenza di deficit neurologici, anche a distanza di giorni dall’evento traumatico.
Bibliografia di riferimento
- Buckowski A, Rose E. Pediatric stroke: diagnosis and management in the emergency department. Pediatr Emerg Med Pract 2019;16(11):1-20.
- Cinelli G, Loizzo V, Montanari L, et al. Internal Carotid Dissection as the Cause of Stroke in Childhood. Case Rep Pediatr 2021;2021:5568827. doi: 10.1155/2021/5568827.
- Felling RJ, Sun LR, Maxwell EC, Goldenberg N, Bernard T. Pediatric arterial ischemic stroke: Epidemiology, risk factors, and management. Blood Cells Mol Dis 2017;67:23-33. doi: 10.1016/j.bcmd.2017.03.003.
- Kemple D, Knauss H, Correa KP, Stolting A. Pediatric internal carotid artery dissection and stroke after minor head injury. J Am Coll Emerg Physicians Open 2021;2(3):e12463. doi: 10.1002/emp2.12463.
