Lattante con inappetenza in Pronto Soccorso: una sfida per il pediatra
1Università di Messina, UOC Pediatria
2Università di Roma Tor Vergata, Ospedale Pediatrico “Bambino Gesù”, IRCCS
3Università della Campania “L. Vanvitelli”, UOC Pediatria, Napoli
4Dipartimento di Emergenza e Pediatria Generale, Ospedale Pediatrico “Bambino Gesù”, IRCCS
Indirizzo per corrispondenza: micheleotta@gmail.com
Introduzione
L’ernia diaframmatica congenita (CDH) è un difetto dello sviluppo del diaframma, caratterizzato dall’erniazione del contenuto addominale nella cavità toracica, con conseguenti vari gradi di ipoplasia ed ipertensione polmonare. L’ernia diaframmatica congenita a presentazione tardiva (L-CDH) è molto rara, ma la diagnosi rappresenta una sfida per le sue varie manifestazioni cliniche e il cui ritardo può essere fatale.
Caso clinico
Una lattante di 2 mesi giungeva in Pronto Soccorso (PS) per inappetenza da 3 giorni, non episodi di vomito, apiretica. In anamnesi fisiologica nata a termine, fenomeni neonatali normoevoluti, allattamento materno e regolare crescita ponderale. All’ingresso in PS si presentava in buone condizioni cliniche, con esame obiettivo nella norma, ma alla luce della storia clinica veniva sottoposta ad EGA venoso, esami laboratoristici e stick urine, tutti con esito negativo. L’ecografia addominale evidenziava un marcato e diffuso meteorismo intestinale e un’esile falda di versamento libero in addome disposta in sede sottoepatica. Dopo rivalutazione a distanza di qualche ora di osservazione, alla luce delle buone assunzioni idrocaloriche, la paziente veniva dimessa a domicilio con la diagnosi di coliche gassose. Dopo 17 giorni tornava in PS per pianto inconsolabile, rifiuto all'alimentazione e 3 episodi di vomito, di cui 2 biliari. Si presentava in condizioni generali discrete, apiretica, con fontanella anteriore lievemente depressa, idratazione nei limiti, parametri vitali nella norma.
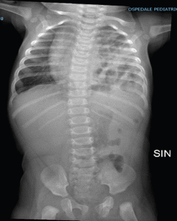
Alla luce della storia clinica veniva eseguita nuova ecografia addome che mostrava presenza di immagine di “whirlpool” in regione para-aortica sinistra ed evidenza di anse intestinali stirate cranialmente in cavità toracica sinistra. A completamento diagnostico veniva eseguita radiografia di torace e addome (Figura 1) che mostrava anse intestinali distese (in parte dal gas), che occupavano pressoché completamente la cavità toracica omolaterale; il polmone sinistro, disventilato e distelettasico, era dislocato cranialmente e l'immagine cardio-mediastinica presentava una modesta dislocazione verso destra.
I reperti di imaging apparivano suggestivi per volvolo intestinale in ernia diaframmatica sinistra. Veniva pertanto sottoposta ad intervento urgente di riduzione dell'ernia e riparazione della breccia diaframmatica, senza complicanze postchirurgiche. La radiografia del torace postoperatoria non mostrava anse intestinali in cavità toracica a sinistra e la paziente veniva dimessa in buone condizioni generali.
Conclusioni
Questo caso clinico mette in evidenza l’ampio spettro di presentazioni cliniche della L-CDH e sottolinea l’importanza di prendere in considerazione una radiografia del torace nei pazienti che accedono in PS per vomito inspiegabile e/o difficoltà respiratoria.
