Una comune caduta per una rara diagnosi: un caso di emicrania emiplegica
1Scuola di Specializzazione in Pediatria, Università di Catania
2UOC di Clinica Pediatrica, POG Rodolico, Policlinico Universitario, Catania
Indirizzo per corrispondenza: giulia.ferrera@outlook.com
Caso clinico
Viene presentato il caso di una bambina di 3 anni, giunta alla nostra osservazione perché, in seguito a un trauma cranico di intensità riferita moderata (caduta accidentale da seggiolone), avrebbe manifestato un episodio di incontattabilità e fissità di sguardo seguito da contrazioni tonico-cloniche ai quattro arti.
In Pronto Soccorso (PS) la piccola presenta condizioni cliniche generali mediocri. All’anamnesi familiare viene riportato che madre e nonna di linea materna hanno una storia di emicrania associata a sintomi motori e i nonni di linea paterna sono deceduti per cardiopatia. Anamnesi personale remota muta.
All’esame obiettivo generale si evidenzia tumefazione palpebrale sinistra con escoriazione di nuova insorgenza, riconducibile al trauma. Non evidenti altre manifestazioni cutanee né segni clinici di fratture, l’attività cardiorespiratoria risulta nella norma e dai genitori non sono riferiti episodi di vomito.
Alla valutazione neurologica la piccola è soporosa con pupille normoreagenti alla fotostimolazione, pianto ai tentativi di risveglio, afasia, incapacità a eseguire i comandi, iperreflessia rotulea, sensibilità apparentemente conservata e assenza di segni meningei.
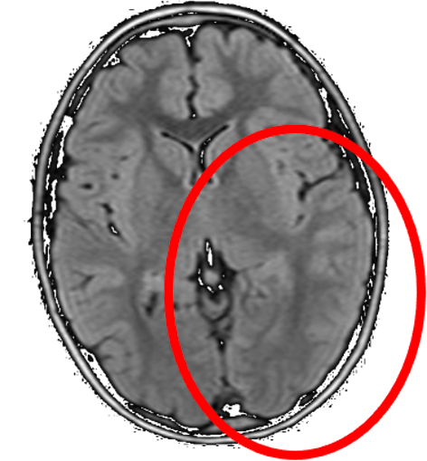
Viene eseguita TC encefalo in urgenza, da cui non emergono alterazioni densitometriche riferibili a lesioni acute. Agli esami ematochimici nulla di rilevante, a eccezione di lieve leucocitosi neutrofila associata a minimo rialzo della PCR. La consulenza oculistica rileva fundus oculi nella norma. Viene dunque avviata terapia infusionale di supporto e antibiotica. Dopo circa 12 ore si assiste a comparsa di deficit stenico dell’emilato destro e di cefalea di moderata intensità: si richiede pertanto RM encefalo che documenta lieve diffuso appianamento dei solchi corticali a livello dell’emisfero di sinistra associato a minimo rigonfiamento corticale, più evidente in regione temporale (Figura). Il tracciato EEG rileva un’attività di aspetto asimmetrico, costituita prevalentemente da ritmi lenti in assenza di elementi epilettiformi. Sulla base dei suddetti esami, viene intrapresa terapia antiedemigena steroidea con desametasone, associata a terapia anticomiziale con levetiracetam. Si assiste a un progressivo miglioramento clinico con risoluzione completa del deficit motorio, dell’afasia e con ripristino dell’integrità del sensorio a distanza di 48 ore. Durante il ricovero veniva inoltre effettuata puntura lombare, con esito nella norma.
Alla luce della peculiarità del quadro clinico - aura motoria scatenata da trauma cranico – e considerando l’anamnesi familiare positiva per emicrania, viene eseguito esame genetico NGS (Next Generation Sequencing) nell’ipotesi di emicrania emiplegica: tale esame ha rilevato la presenza di variante missenso c.1091>T in eterozigosi del gene ATP1A2, compatibile con il nostro sospetto diagnostico. La bambina viene quindi dimessa in terapia con flunarizina e levetiracetam.
Discussione
L’emicrania emiplegica è una rara forma di emicrania con aura trasmessa con carattere autosomico dominante a esordio in età pediatrica. È caratterizzata da un’aura motoria, sensitiva, visiva, afasica o basilare, in genere completamente reversibile entro 72 ore, spesso accompagnata da emicrania mono o bilaterale.
Sono state riconosciute forme familiari note come Familial Hemiplegic Migraine (FHM): FHM1 (mutazione del gene CACNA1A), FMH2 (mutazione del gene ATP1A2) e FMH3 (mutazione del gene SCN1A); si parla di FMH other loci per quelle forme con altre mutazioni genetiche ancora non identificate. Le forme sporadiche sono determinate da mutazioni de novo.
Gli attacchi acuti sono scatenati da fattori trigger quali traumi cranici (anche di lieve entità) o altri eventi stressanti, come infezioni, attività fisica intensa, deprivazione di sonno ecc. In età pediatrica vi è una maggiore prevalenza di aure motorie (debolezza o plegia) rispetto alle non motorie; la frequenza, la durata e l’intensità degli attacchi spesso si riducono durante l’età adulta.
L’episodio acuto può avere un esordio rapido e durare anche giorni, tanto da simulare uno stato di male epilettico o un evento cerebrovascolare acuto: esami strumentali quali RM e/o TC sono dirimenti per escludere tali condizioni. Il tracciato EEG in alcuni casi testimonia un rallentamento dell’attività cerebrale con onde lente, specialmente in pazienti con mutazione genetica determinata.
Nonostante la severità delle fasi acute, la prognosi è buona nella maggior parte dei pazienti, anche se sono state descritte complicanze a lungo termine quali convulsioni, segni cerebellari, ritardo mentale e disturbi del visus: un adeguato follow-up si rende pertanto indispensabile.
Per quanto concerne l’approccio terapeutico cronico, la flunarizina ha dato buoni risultati nella riduzione della frequenza degli attacchi, mostrando un buon profilo di sicurezza in età pediatrica. Nondimeno è imprescindibile educare la famiglia e il paziente circa la possibile origine di un nuovo episodio clinico, affinché possano mettere in pratica una serie di accorgimenti in termini di prevenzione.
Conclusioni
L’emicrania emiplegica può essere difficile da diagnosticare, soprattutto nelle forme sporadiche e nel caso di primo attacco acuto. In presenza di aura caratterizzata da sintomi motori, più frequentemente emiplegia, associata ad alterazione del sensorio, dell’eloquio, della sensibilità o della vista, scatenata da eventi trigger quali un trauma cranico, con restitutio ad intregrum, bisogna sospettare tale condizione.
Nel nostro caso clinico l’attenta anamnesi familiare, l’identificazione di possibili fattori scatenanti e l’accurata valutazione neurologica, con l’ausilio degli esami strumentali per la corretta diagnosi differenziale, ci hanno permesso di individuare una condizione rara.
