Una diagnosi tutt'altro che simplex
Scuola Di Specializzazione in Pediatria, Università di Trieste
Indirizzo per corrispondenza: renzuallomartina@gmail.com
Si presenta il caso di un bambino di 10 anni che giunge in Pronto Soccorso per febbre dal giorno precedente (TC max 38 °C) associata a vomito (6 episodi) e cefalea, inviatoci dalla curante che documentava iporeattività del bambino, che tendeva a essere sonnolento in un quadro di apparente disidratazione. Alvo e diuresi sono regolari. È recentemente tornato da una vacanza con amici che hanno presentato febbre. L’anamnesi patologica remota è muta: il bambino è sempre stato sano. Al triage è apiretico, euglicemico e con parametri vitali nella norma. All’obiettività appare lievemente abbattuto ma vigile, e risponde in modo orientato alle nostre domande; le condizioni generali sono discrete, fatta eccezione per il riscontro di mucose lievemente asciutte; l’obiettività cardio-toracica e addominale è negativa, così come quella neurologica (comprensiva di segni meningei). Nell’ipotesi che la sintomatologia fosse legata a una disidratazione da vomito ripetuto in un quadro di virosi gastrointestinale, somministriamo ondansetron e avviamo idratazione con soluzione fisiologica 0,9% + soluzione glucosata 5%. Eseguiamo inoltre esami ematici con un emocromo indifferente e indici di flogosi spenti. Dopo circa 2 ore di terapia infusiva, il bambino presenta un ulteriore episodio di vomito e una puntata febbrile (TC 38,5 °C), con cefalea diffusa e sempre l’iporeattività.
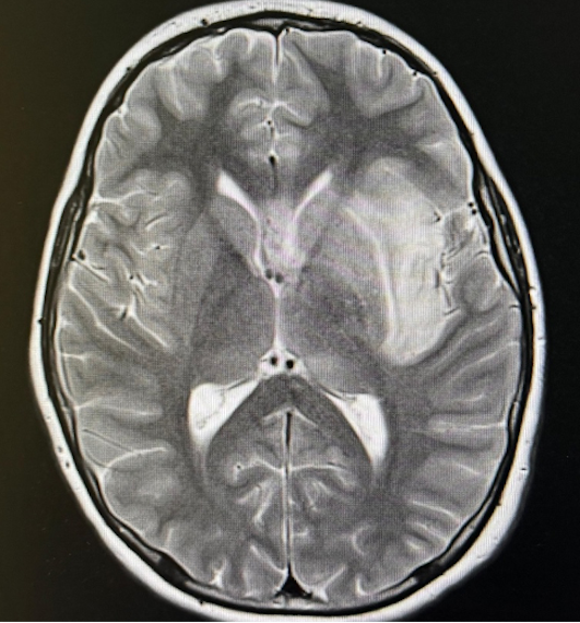
Alla rivalutazione emerge però un nuovo segno: un eloquio poco fluido. Il bimbo fatica a rispondere coerentemente anche alle domande più semplici, mostrando una difficoltà di produzione verbale, con una comprensione dei comandi preservata, e un disorientamento spazio-temporale. I genitori ci comunicano che in effetti anche il giorno precedente aveva alternato momenti di confusione a momenti di maggiore lucidità. Decidiamo quindi di eseguire l’emocoltura (che risulterà negativa), e valorizzando l’alterazione del sensorio e lo stato di vigilanza fluttuante, nel sospetto di encefalite, effettuiamo una rachicentesi. In attesa di liquor con PCR e colture, avviamo, a meno di 40 ore dall’inizio della sintomatologia, terapia endovenosa empirica con acyclovir, ceftriaxone e, successivamente, desametasone. Dopo circa 1 ora giunge l’esito chimico-fisico che mostra normoglicorrachia, lieve iperprotidorrachia e un aumento della cellularità (900/µl), a prevalenza mononucleata (> 90%). La PCR su liquor è dirimente: herpes simplex virus di tipo 1. Qualche ora dopo l’avvio della terapia ha avuto una crisi convulsiva focale e instabilità emodinamica per cui, previa esecuzione di TC (negativa), viene trasferito in rianimazione per monitoraggio intensivo e ottimizzazione della terapia. Nei giorni successivi l’EEG mostra anomalie epilettiformi tipiche a partenza temporale, e la RM un’alterazione di segnale in sede temporale (sx > dx) e spot microemorragici diffusi (Figura 1).
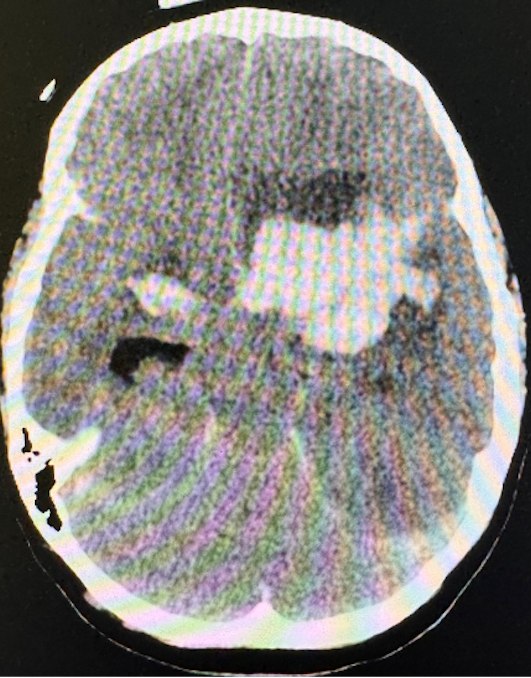
Durante i primi giorni di ricovero lo stato neurologico è fluttuante, ma con condizioni globali in lieve costante miglioramento. A circa 7 giorni dall’esordio la prognosi del nostro paziente si aggrava per un peggioramento dello stato neurologico, crisi ipertensiva (190/120 mmHg) e successiva anisocoria; effettua pertanto una TC che mostrerà un’infausta complicanza: un’emorragia cerebrale intraparenchimale massiva, in sede fronto-temporale sinistra (Figura 2).
Discussione
L’encefalite erpetica è la causa più frequente di encefalite sporadica, con un’alta mortalità (30%) nonostante l’avvio precoce di terapia e sequele neurologiche potenzialmente devastanti. Il gold standard diagnostico è la PCR su liquor. Quando sospettata, la terapia va avviata prima della conferma diagnostica e si basa sull’ aciclovir per via endovenosa al dosaggio di 10-15 mg/kg ogni 8 ore per 14-21 giorni. Il ritardo diagnostico è comune perché i sintomi iniziali possono essere aspecifici, l’alterazione della coscienza è fluttuante e i deficit neurologici focali possono presentarsi solo in un secondo momento1.
Questo caso insegna che in presentazioni cliniche suggestive di encefalopatia, anche in assenza di franchi deficit focali, non dobbiamo dimenticare l’aciclovir in terapia empirica: la mortalità (in assenza di complicanze) e le sequele neurocognitive a distanza sono drasticamente ridotte dall’avvio precoce di terapia (< 48 ore dall’esordio).
L’encefalite erpetica non implica immunodeficit: anche soggetti immunocompetenti possono esserne affetti. Tuttavia, data la rarità della condizione, tutti i pazienti in benessere andrebbero studiati con tipizzazione linfocitaria e signature interferonica (possibili deficit di TLR3)2. L’EEG può aiutarci nelle prime fasi di sospetto clinico essendo alterato già precocemente in più dell’80% dei casi. Al neuroimaging la presentazione tipica è quella di un’encefalite necrotizzante: gli spot microemorragici sono di riscontro frequente ma il sanguinamento massivo è un’evenienza rarissima3 (circa 30 casi descritti in letteratura). Ricordiamo che il neuroimaging va ripetuto in caso di peggioramento neurologico anche in corso di terapia e che alcuni pazienti potrebbero necessitare di neurochirurgia.
Ultimo, ma non per importanza, da tenere a mente che esistono casi in cui anche in presenza di un iter diagnostico-terapeutico adeguato e tempestivo le cose possono andare nel verso sbagliato e che l’intervento medico non è garanzia di salvezza, ma impegno a fare il meglio che si può.
Bibliografia
- Le Doare K, Menson E, Patel D, Lim M, Lyall H, Herberg J. Fifteen minute consultation: managing neonatal and childhood herpes encephalitis. Arch Dis Child Educ Pract Ed 2015;100(2):58-63. DOI: 10.1136/archdischild-2014-306321.
- Campos MA, Zolini GP, Kroon EG. Impact of Toll-Like Receptors (TLRs) and TLR Signaling Proteins in Trigeminal Ganglia Impairing Herpes Simplex Virus 1 (HSV-1) Progression to Encepha-litis: Insights from Mouse Models. Front Biosci (Landmark Ed) 2024;29(3):102. DOI: 10.31083/j.fbl2903102.
- Rodríguez-Sainz A, Escalza-Cortina I, Guio-Carrión L, et al. Intracerebral hematoma complica-ting herpes simplex encephalitis. Clin Neurol Neu-rosurg 2013;115(10):2041-5. DOI: 10.1016/j.clineuro.2013.06.016.
