Quando la sinusite si complica: il caso del tumore di Pott
1Scuola di Specializzazione in Pediatria, Alma Mater Studiorum, Università di Bologna
2Unità di Pediatria d’Urgenza, Pronto Soccorso e Osservazione Breve Intensiva, 3Unità di Malattie Infettive,
IRCCS Azienda Ospedaliero-Universitaria di Bologna
4Neurochirurgia Pediatrica, Istituto delle Scienze Neurologiche, IRCCS Bellaria hospital, Bologna
Indirizzo per corrispondenza: ar.ranierialice@gmail.com
Caso clinico
Una ragazza di dodici anni senza patologie pregresse viene condotta presso il nostro Pronto Soccorso pediatrico per la comparsa di tumefazione frontale di 7 x 5 cm, calda e dolente, di consistenza elastica, improntabile, associata a edema fluttuante; riferite febbre e cefalea nei due giorni precedenti. L’esame obiettivo generale e neurologico sono nella norma; gli esami ematici mostrano leucocitosi neutrofila (globuli bianchi 19.000/mmc, neutrofili 81%) e aumento della proteina C reattiva (PCR 7,85 mg/dl).
Alla luce della valutazione clinico-laboratoristica, viene posto il sospetto di sinusite frontale complicata. Vengono eseguiti una radiografia del cranio e dei seni nasali e paranasali (Figura 1) e una tomografia computerizzata (TC) dell’encefalo e del massiccio facciale.
La presenza di aria nei tessuti molli extracranici visibile radiograficamente e lo pneumocefalo riscontrato alla TC confermano il sospetto diagnostico. Viene quindi eseguito un drenaggio endoscopico del seno frontale, con raccolta del materiale purulento e coltura microbiologica. Previa esecuzione di emocolture, viene impostata una terapia antibiotica endovenosa empirica con ceftriaxone e clindamicina, seguita da miglioramento significativo della tumefazione, defervescenza e risoluzione del dolore. Gli esami ematici mostrano un graduale miglioramento fino a completa normalizzazione. Le colture rilevano la crescita di uno Streptococcus intermedius multisensibile su emocolture e sul materiale purulento.
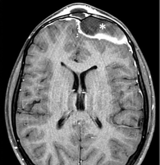
In ottava giornata di terapia, viene eseguita una RM encefalo di controllo, che mostra una riduzione della flogosi del seno frontale e, nonostante il miglioramento clinico laboratoristico e l’assenza di segni o sintomi neurologici, la comparsa di un ascesso epidurale frontale anteriore con compressione del lobo frontale (Figura 2). Viene quindi diagnosticato un tumore di Pott (PPT) e la paziente viene sottoposta a craniotomia urgente con drenaggio dell’ascesso e successiva terapia antibiotica con linezolid e cefepime.
Dopo due settimane, la terapia antibiotica endovenosa viene sostituita con il linezolid orale, continuato per altre tre settimane, per un totale di cinque. La RM encefalo di controllo a nove settimane ha mostrato una completa risoluzione dell’ascesso.
Discussione e conclusioni
Il PPT rappresenta una rara complicanza della sinusite frontale e consiste in un’osteomielite dell’osso frontale associata a un ascesso subperiostale. La diagnosi differenziale comprende: tumori primitivi dell’osso, istiocitosi a cellule di Langerhans e traumi. Il PPT è un fattore di rischio per complicanze intracraniche come empiema subdurale e ascessi cerebrali. Una corretta e rapida diagnosi consente un trattamento efficace e precoce, che permette di ridurre la probabilità di complicanze severe. Il trattamento comprende l’antibioticoterapia ad ampio spettro per 4-8 settimane e il drenaggio chirurgico precoce.
Bibliografia di riferimento
- Al Yaeesh I, AlOmairin A, Al Shakhs A, et al. The serious complications of frontal sinusitis, a case series and literature review. J Surg Case Rep 2020;2020(12):rjaa474. DOI: 10.1093/jscr/rjaa474.
