Il neuroblastoma nel lattante: una neoplasia dalle molteplici possibili presentazioni
Scuola di Specializzazione in Pediatria, Dipartimento di Area Medica (DAME), Università di Udine
Indirizzo per corrispondenza: lucia.marzari94@gmail.com
Caso clinico
Una lattante di 5 mesi viene condotta in Pronto Soccorso Pediatrico (PSP) per comportamento abbattuto, fasi di pianto inconsolabile e ridotta alimentazione con calo pon-derale e facile esauribilità. La bambina è nata a termine, non ha avuto problemi perinatali e lo screening saturimetrico eseguito in seconda giornata è risultato nella norma. La curante ha valutato la bambina in più occasioni non riscontrando anomalie all’esame obiettivo, e la invia per ulteriore controllo nel sospetto di una cardiopatia (sospetta coartazione aortica?).
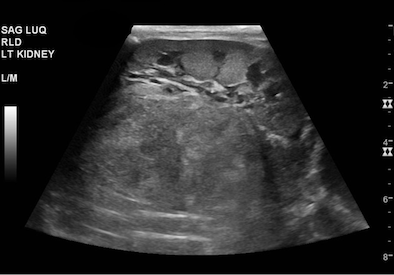
All’arrivo in PSP la lattante appare in discrete condizioni generali, reattiva alle stimolazioni ma con tendenza ad assopirsi per poi risvegliarsi improvvisamente in pianto. In triage si evidenziavano tachicardia (FC 180- 200 bpm) e polipnea (FR 60 apm) in apiressia. Considerata l’ipotesi diagnostica di invio, si valutano immediatamente le pressioni e le saturazioni d’ossigeno ai quattro arti, che sono concordi. Tuttavia, si riscontra ipertensione severa, con valori ampiamente al di sopra del 95 centile per età (PAS 150-180 mmHg, PAD 120-160 mmHg). Alla visita la piccola è pallida, con mucose asciutte e fontanella depressa; al torace si ausculta un soffio sistolico e i polsi femorali sono isosfigmici; palpando l’addome si apprezza una massa addominale che si estende dall’ipocondrio destro alla fossa iliaca ipsilaterale. L’ecografia addominale eseguita in urgenza dimostra una voluminosa massa addominale che comprime e disloca il rene di destra, sospetta per neuroblastoma (Figura).
Falliscono i tentativi di somministrare un antipertensivo per bocca e di posizionare un accesso venoso periferico: rapidamente la bambina peggiora, con scadimento di circolo (cute marezzata, tempo di refill >3”, ipertensione e tachicardia persistenti) per cui bisogna posizionare un accesso intraosseo e un accesso femorale con assistenza anestesiologica e si avviano contemporaneamente idratazione con soluzione fisiologica, analgosedazione con dexmedetomidina e terapia antipertensiva con esmololo, assistendo a un graduale miglioramento clinico con ripresa della diuresi e stabilizzazione del circolo (riduzione della tachicardia e graduale miglioramento pressorio). Per anemia (Hb 7 g/dl) si effettua anche una trasfusione di emazie concentrate.
Una volta stabilizzata, la piccola viene quindi trasferita presso il centro oncologico di riferimento, dove viene confermato il sospetto diagnostico di neuroblastoma (IV grado NMYC mutato) e avviato il protocollo terapeutico previsto.
Discussione e conclusioni
Il neuroblastoma è un tumore dall’aspetto multiforme che si presenta con quadri tanto più sfumati quanto più è piccolo il bambino. Di fronte a un lattante con sintomatologia aspecifica quale inappetenza, calo ponderale e alterazione del comportamento è fondamentale considerare anche l’ipotesi di una massa addominale oltre a quella più immediata di cardiopatia misconosciuta. La crisi ipertensiva, poi, deve immediatamente evocare il sospetto di neuroblastoma.
Questo caso è stato particolarmente complesso da gestire in PSP per la necessità di agire contemporaneamente sull’ipertensione, causata dalla massa, e sull’ipovolemia, probabilmente legata alla ridotta alimentazione e al calo ponderale, bilanciando antipertensivo, fluidi e analgosedazione.
Bibliografia di riferimento
- Lurbe E, Cifkova R, Cruickshank JK, et al; Euro-pean Society of Hypertension. Management of high blood pressure in children and adolescents: recom-mendations of the European Society of Hyperten-sion. J Hypertens 2009;27(9):1719-42. DOI: 10.1097/HJH.0b013e32832f4f6b.
- Marchal AL, Hoeffel JC, Freyd S, Schmitt M, Olive D, Fays J. Hypertension artérielle par compression extrinsèque d'origine tumorale de l'artere rénale chez l'enfant [Arterial hypertension caused by extrinsic compression of the renal artery of tumor origin in a child]. Pediatrie 1986;41(6):475-80. French.
- Maris JM, Hogarty MD, Bagatell R, Cohn SL. Neu-roblastoma. Lancet 2007;369(9579):2106-20. DOI: 10.1016/S0140-6736(07)60983-0.
- Pastor ER, Mousa SA. Current management of neu-roblastoma and future direction. Crit Rev Oncol Hematol 2019;138:38-43. DOI: 10.1016/j.critrevonc.2019.03.013.
- Swift CC, Eklund MJ, Kraveka JM, Alazraki AL. Updates in Diagnosis, Management, and Treatment of Neuroblastoma. Radiographics 2018;38(2):566-80. DOI: 10.1148/rg.2018170132.
- Tolbert VP, Matthay KK. Neuroblastoma: clinical and biological approach to risk stratification and treatment. Cell Tissue Res 2018;372(2):195-209. DOI: 10.1007/s00441-018-2821-2.
- Weinblatt ME, Heisel MA, Siegel SE. Hypertension in children with neurogenic tumors. Pediatrics 1983;71(6):947-51.
