Diarrea intrattabile e neuroblastoma
Dipartimento di Neuroscienze, Riabilitazione, Oftalmologia, Genetica e Scienze Materno-Infantili (DINOGMI), IRCCS Istituto “Giannina Gaslini”, Genova
Indirizzo per corrispondenza: ceci.contratto@gmail.com
Caso clinico
Una bambina di tre anni, precedentemente sana, accedeva presso il nostro Pronto Soccorso per diarrea persistente da circa venti giorni. Le condizioni generali e nutrizionali erano buone, era discretamente idratata e apiretica. Gli esami ematochimici di primo livello mostravano un quadro di acidosi metabolica, ipokaliemia e rialzo degli indici di flogosi. Sono state eseguite coprocolture allargate, ricerca di virus e tossine su feci, calprotectina fecale, elastasi fecale e screening per celiachia, risultati tutti negativi. È stata inoltre eseguita un’ecografia addominale, risultata nella norma.
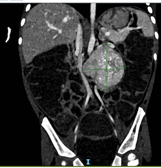
Nelle settimane successive, per persistenza della diarrea e sviluppo di distensione e dolore addominale ingravescenti e calo ponderale, veniva effettuata una radiografia del transito gastrointestinale per escludere anomalie anatomiche maggiori e veniva ripetuta un’ecografia addominale. Quest’ultima mostrava una neoformazione ovalare di circa 48x40x58 mm in sede retroperitoneale con segni di vascolarizzazione. Le immagini di RM e TC (Figura) associate al riscontro di catecolamine urinarie elevate (acido omovanillico e acido vanilmandelico, rispettivamente 430 e 70 μg/mg di creatinina con vn < 18,6 μg/mg di creatinina e < 11,8 μg/mg di creatinina) risultavano compatibili con un quadro di neuroblastoma (NB), confermato in seguito ad agobiopsia percutanea ecoguidata.
Al termine dei primi due cicli di chemioterapia, per peggioramento del dolore, della distensione addominale e della diarrea complicata da grave ipokaliemia con necessità di supplementazioni di potassio endovenoso e previa discussione collegiale, è stata eseguita l’asportazione chirurgica completa della lesione.
Non sono state riscontrate complicanze nel decorso post-operatorio, con una successiva rapida risoluzione del quadro clinico. Attualmente, a sei mesi dall’intervento, persiste remissione clinica ed ecografica di malattia con catecolamine urinarie nella norma.
Discussione
Il NB è il tumore solido extracranico più frequente in età pediatrica, ma i casi che esordiscono con diarrea sono rari. La diarrea è causata dalla secrezione di peptide vasoattivo intestinale (VIP) presente in diversi tumori neuroendocrini. Il caso presentato sottolinea l’importanza di considerare il neuroblastoma come possibile causa, seppur rara, di diarrea cronica in età pediatrica.
La presentazione clinica ingravescente con diarrea acquosa e addome fortemente teso e dolente, associata a calo ponderale, deve indurre a effettuare ulteriori accertamenti diagnostici, tra cui indagini radiologiche finalizzate alla ricerca di un possibile tumore neuroblastico.
Dal punto di vista terapeutico i casi di NB associati a VIP riportati in letteratura non rispondono a terapia farmacologica e richiedono come trattamento di elezione l’approccio chirurgico.
