Un'invaginazione intestinale insidiosa
1Scuola di Specializzazione in Pediatria, Università di Palermo
2UOC di Oncoematologia Pediatrica, Ospedale ARNAS Civico, Palermo
3UO Ospedaliera, ARNAS Ospedali Civico, Di Cristina e Benfratelli, Palermo
Indirizzo per corrispondenza: flavidinoto@gmail.com
Introduzione
Il linfoma di Burkitt (LB) rappresenta la tipologia di linfoma non-Hodgkin (LNH) più comune in età pediatrica. Si tratta di una neoplasia aggressiva, con elevato indice di replicazione, ma in genere con buona risposta al trattamento. Una delle sue localizzazioni più frequenti è in sede addominale e quando interessa la regione ileo-colica può provocare un quadro di invaginazione intestinale1.
L’eziologia dell’invaginazione intestinale è molto spesso idiopatica e rappresenta la prima causa di addome acuto nel primo anno di vita. Al di fuori del suddetto range di età, diventano più probabili anche le cause secondarie, benigne o maligne, quali diverticolo di Meckel, parassitosi intestinale, porpora di Schönlein-Henoch, ematomi di parete intestinale, processi neoplastici.
Presentiamo il caso di un bambino di due anni con linfoma di Burkitt esordito con invaginazione intestinale.
Caso clinico
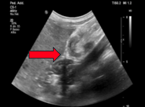
Bambino che ha sempre goduto di buona salute. All’età di due anni il piccolo lamenta un intenso dolore addominale, per cui viene condotto dai genitori in Pronto Soccorso pediatrico, dove all’ecografia addome viene evidenziata un’immagine a bersaglio in fossa iliaca destra, compatibile con un’invaginazione intestinale (IIA) (Figura 1).
Viene dunque trasferito in urgenza in Chirurgia pediatrica, dove si esegue intervento di riduzione manuale e appendicectomia; durante osservazione clinica non si manifestano complicanze. Il bambino riprende l’alimentazione per os dopo qualche giorno e rapidamente anche la sua allegra vivacità; viene dimesso in pieno benessere clinico. Dopo circa dieci giorni dalla data dell’intervento, il piccolo torna a lamentare la stessa sintomatologia, per cui viene ricondotto all’osservazione dei clinici che, eseguita ecografia addominale, diagnosticano una nuova invaginazione intestinale, sempre in sede iliaca destra. Si esegue riduzione in sala operatoria, stavolta con resezione di un tratto intestinale. L’esame istologico del resecato evidenzia una formazione nodulare, di circa 2,5x2,2 cm, costituita da proliferazione diffusa di elementi linfoidi atipici. Viene posta diagnosi di processo linfoproliferativo a cellule B, compatibile con linfoma di Burkitt (LB).
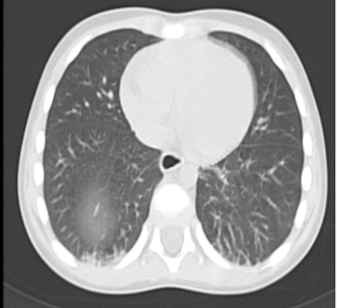
Per documentare la localizzazione del tumore, la sua estensione ed eventuali processi metastatici, si esegue TC encefalo, torace e addome. Si apprezzano, a livello toracico, una formazione solida dotata di enhancement in sede subpleurica apicale destra, area a vetro smerigliato al segmento posteriore del lobo superiore destro (entrambe ascrivibili a localizzazione di malattia; Figura 2) e alcuni linfonodi ingranditi in sede ascellare bilateralmente, mammaria interna destra (il maggiore di diametro 1,6cm) e in sede succlavia destra, tutti con enhancement. A livello addominale, si evidenzia altra formazione solida (3,5x2,3 cm). Non si evince invece dagli esami eseguiti (TC encefalo e rachicentesi) coinvolgimento cerebrale. La visita cardiologica risulta nella norma, tranne che per un difetto del setto interventricolare muscolare con minimo shunt sinistro-destro, già noto e in follow-up. L’aspirato midollare non evidenzia blasti e negativa è la ricerca della traslocazione t (8;14).
Il piccolo viene quindi trasferito presso l’unità operativa di Oncoematologia pediatrica, dove esegue PET, che documenta accumulo di radiofarmaco in fossa iliaca destra, sede di recente chirurgia, e a livello linfonodale loco-regionale, reperti che potrebbero essere compatibili con residuo di malattia linfoproliferativa a elevato metabolismo o con possibile interferenza di fenomeni flogistici-riparativi post-chirurgici. Ulteriori reperti vengono rilevati in sede polmonare destra, nel canale spinale (con maggiore attività all’altezza dei somi D11 e D12), in sede osteo-midollare e splenica.
Il bambino riceve chemioterapia secondo protocollo AIEOP LNH-97 con ciclofosfamide e desametasone per due giorni; somministrata altresì immunoterapia con rituximab. Viene intrapresa terapia, secondo blocco AA, con: methotrexate, citarabina e metilprednisolone; vincristina il primo giorno e ifosfamide per cinque giorni; citarabina ed etoposide il quarto e il quinto giorno. La terapia viene ben tollerata.
Dopo tre giorni dalla dimissione, il piccolo viene ricoverato nuovamente per insorgenza di neutropenia febbrile ed esegue antibioticoterapia con cefepime, amikacina e meropenem (sostituito con ampicillina/sulfabactam in seguito all’esito di emocoltura e antibiogramma) e terapia con G-CSF. Il piccolo presenta inoltre mucosite di II-III grado, per cui viene avviata terapia con fluconazolo e, per il controllo del dolore al cavo orale, si somministra tramadolo e successivamente morfina e si intraprende nutrizione parenterale totale per l’impossibilità di alimentarsi per os.
Ripristinato lo stato di benessere clinico viene dimesso. Seguono successivi ricoveri per altri cicli di chemioterapia, come da protocollo AIEOP. Il piccolo è in follow-up presso l’UOC di Oncoematologia pediatrica.
Discussione
L’età media alla diagnosi di LB è, nella popolazione pediatrica, tra i 5 e i 10 anni, con prevalenza nel sesso maschile. La presentazione clinica differisce notevolmente a seconda che si tratti della forma endemica oppure sporadica. Il LB endemico (diffuso in Africa centrale) si presenta tipicamente con un interessamento mandibolare e frequentemente anche orbitario; possibile anche la localizzazione mesenterica, ovarica e del sistema nervoso centrale2. La forma sporadica, invece, ha più spesso sede a livello addominale, in particolar modo nel tratto intestinale ileo-cecale, dando luogo a fenomeni di ostruzione o intussuscezione intestinale. Altre possibili localizzazioni di malattia riguardano il mesentere, il peritoneo, i reni e le ovaie. Al momento della diagnosi ci può essere un interessamento di midollo osseo, sistema nervoso centrale e anello linfatico del Waldeyer. Il LB associato a immunodeficienza si presenta soprattutto in pazienti con infezione da HIV; meno frequentemente in pazienti trapiantati o con immunodeficienze primitive. In questa forma le sedi più frequentemente coinvolte sono linfonodi, regione ileo-cecale e midollo osseo.
Alcuni studi hanno rilevato come nei bambini più grandi con invaginazione intestinale aumenti la probabilità statistica che siano affetti da un LB3. Considerato il massimo sospetto diagnostico nei bambini di età al di sopra dei cinque anni, le evidenze attuali suggeriscono di preferire la resezione intestinale al clisma e di effettuare sempre l’esame istologico4. La difficoltà del nostro caso risiede nella giovanissima età del paziente, per cui in un primo momento si è pensato a una forma di invaginazione intestinale idiopatica.
Il linfoma di Burkitt è un tumore a crescita rapida, perciò molto aggressivo. L’invaginazione intestinale potrebbe essere il primo e unico segno di esordio. Proprio in virtù di questa sua peculiare caratteristica di rapida moltiplicazione cellulare, il trattamento chemioterapico si rileva efficace.
9 bambini su 10 con LB guariscono se trattati in maniera tempestiva.
Bibliografia
- Timeus F, Piglione M, Fagioli F, Ravaglia A. Linfoma di Burkitt in età pediatrica. Medico e Bambino 2021;24(6):e175-e184. DOI: 10.53126/MEBXXIV175.
- Magrath IT. African Burkitt's lymphoma. History, biology, clinical features, and treatment. Am J Pediatr Hematol Oncol 1991;13(2):222-46.
- Wayne ER, Campbell JB, Kosloske AM, Burring-ton JD. Intussusception in the older child- suspect lymphosarcoma. J Pediatr Surg 1976;11(5):789-94. DOI: 10.1016/0022-3468(76)90104-4.
- Kulendran K, Choy KT, Keogh C, Ratnapala D. An Exceptional Case of Ileocolic Intussusception Secondary to Burkitt's Lymphoma: What Varia-tions Are There in the Presentation and Manage-ment of Those Patients Who Approach Adolescen-ce? Case Rep Surg 2018;2018:6251321. DOI: 10.1155/2018/6251321.
