Quanti danni questi eosinofili!
Scuola di Specializzazione in Pediatria, Università di Ferrara
Indirizzo per corrispondenza: michele.cannas@edu.unife.it
Ragazzo di 15 anni giunge alla nostra osservazione per dolore addominale ingravescente da circa 1 mese associato a iporessia, vomito e perdita di peso (circa 5 kg, 8% del peso, BMI 17,3, 8° percentile). L’anamnesi non rilevava precedenti patologici di rilievo. Si segnalava, tre giorni prima dell’inizio della sintomatologia, terapia con eparina sottocute per prescrizione ortopedica in seguito a trauma distorsivo di caviglia.
All’esame obiettivo si evidenziava una dolorabilità diffusa dell’addome, prevalentemente a livello epigastrico e del quadrante inferiore destro, senza segni di peritonismo; peristalsi torbida e vomito a ogni tentativo di alimentazione. Gli esami ematochimici mostravano una conta degli eosinofili pari a 8.670/μl (44% dei globuli bianchi), indici di flogosi sistemici e mucosali negativi (VES 3 mm/h; calprotectina fecale 13 g/kg), elevazione del D dimero (23,63 mg/l); non riscontrate atipie e/o blasti allo striscio periferico.
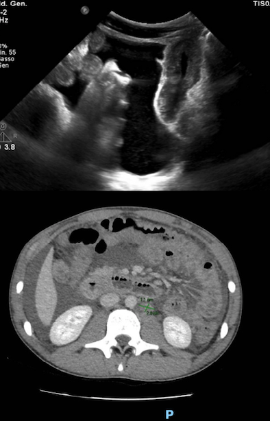
L’ecografia addominale evidenziava la presenza di versamento ascitico e un diffuso ispessimento delle pareti intestinali sia tenuali che coliche (max 5 mm), con perdita di stratificazione. La TC addome confermava versamento ascitico esteso con spessore assiale massimo di 10 cm nello scavo pelvico e ispessimento parietale diffuso dal tratto distale dell’esofago fino al tratto prossimale del retto, compatibile con panenterocolite; non mostrava segni di ostruzione intestinale, pneumoperitoneo, masse/pacchetti linfonodali e alterazioni delle strutture vascolari (Figura). Il liquido ascitico prelevato mediante paracentesi eco-guidata mostrava un alto contenuto proteico (> 3 g/dl), una spiccata cellularità di tipo eosinofilo (85%) e risultava sterile dal punto di vista microbiologico. La biopsia osteomidollare evidenziava un midollo ipercellulato con significativa espansione della serie eosinofila (23% della popolazione cellulare) senza caratteristiche morfologiche neoplastiche.
Lo studio radiologico di torace e la spirometria non mostravano coinvolgimento polmonare. La RM cardiaca e quella encefalo escludevano un danno d’organo silente rispettivamente a carico di cuore e cervello. Le indagini infettivologiche (ricerca parassiti su feci, sierologia per Strongyloides, Entamoeba, Toxocara e Schistosoma) risultavano negative, così come l’autoimmunità (ANCA, ANA, ENA).
Completato l’iter diagnostico sopraindicato, si concludeva per sindrome ipereosinofila con interessamento panenterico transmurale con versamento ascitico. Si avviava terapia corticosteroidea con brillante risposta sul piano clinico, laboratoristico e strumentale. La conta eosinofila si riduceva del 70% a 24 ore dall’inizio del trattamento. Il ragazzo veniva dimesso a dieci giorni dall’avvio della terapia steroidea in buone condizioni generali, con conta eosinofila normalizzata e risoluzione del versamento ascitico all’ecografia. Si programmava follow-up gastroenterologico ed endoscopia delle alte e basse vie digestive.
Discussione
La sindrome ipereosinofila (HES) è una condizione rara caratterizzata da una persistente e significativa eosinofilia (≥ 1.500 eosinofili/μl) associata a infiltrazione tissutale e variabile danno d’organo a carico di cute, polmone, tubo digerente, cuore e sistema nervoso centrale. Il danno tissutale mediato dagli eosinofili si basa su un duplice meccanismo: un’azione diretta tramite il rilascio di mediatori pro-infiammatori e citotossici e un’azione indiretta attraverso la stimolazione della cascata infiammatoria che induce necrosi e danno trombotico1.
Può riconoscere un’eziologia genetica, neoplastica o essere associata a infezioni parassitarie, fungine, virali, malattie allergiche, immunologiche, reumatologiche o indotta da farmaci1,2. L’iter diagnostico e terapeutico è pertanto complesso e multidisciplinare ed è volto a ricercare in maniera proattiva il coinvolgimento d’organo, anche silente, e definirne l’eziologia2,3.
Nel caso presentato la severa ipereosinofila, che ha da subito orientato la diagnosi, si associa a danno di singolo organo con coinvolgimento panenterico transmurale e versamento ascitico di tipo eosinofilo. Le indagini hanno escluso forme neoplastiche e secondarie. In considerazione della correlazione temporale fra assunzione di eparina ed esordio della sintomatologia, non è possibile escludere una sindrome ipereosinofila eparina-indotta. La brillante risposta allo steroide è ben descritta in letteratura, ma un monitoraggio a lungo termine sarà essenziale per prevenire eventuali recidive e individuare possibili complicanze.
Bibliografia
- Orzes E, Vacca I, Lemma V; Osservatorio Malattie Rare. Documento di valutazione preliminare per la richiesta di un codice di esenzione univoco di malattia rara per la sindrome eosinofila (HES). RareLab Srl ed. Roma, 2024.
- Caminati M, Carpagnano LF, Alberti C, et al; Multidisciplinary Group on rare dysimmune conditions with hyper-Eosinophilia (GEos). Idiopathic hypereosinophilic syndromes and rare dysimmune conditions associated with hyper-eosinophilia in practice: An innovative multidisciplinary approach. World Allergy Organ J 2024;17(8):100928. DOI: 10.1016/j.waojou.2024.100928.
- Shomali W, Gotlib J. World Health Organization-defined eosinophilic disorders: 2022 update on diagnosis, risk stratification, and management. Am J Hematol 2022;97(1):129-48. DOI: 10.1002/ajh.26352.
