Cefalea e vomito, a pensar male spesso ci si azzecca
Scuola di Specializzazione in Pediatria, Università di Trieste
Indirizzo per corrispondenza: zaninos@gmail.com
Un bambino di 11 anni giunge in Pronto Soccorso per recente comparsa di intensa cefalea in sede occipitale e dolore al collo. Dall’anamnesi emerge una storia di cefalea ricorrente della durata di circa 6 mesi, caratterizzata da episodi di breve durata, a risoluzione spontanea e con buona risposta ai comuni analgesici.
Tuttavia, nelle ultime settimane le cefalee si sono fatte sempre più frequenti e talvolta sono associate a episodi di vomito. In ultimo vengono riferite in questi giorni faringodinia e rinorrea e una familiarità per cefalea primaria (la madre soffre di emicrania con aura visiva).
I parametri vitali sono nella norma, l’obiettività generale e neurologica è completamente silente, eccezion fatta per una palpabile contrattura bilaterale del muscolo trapezio. Si dimette con diagnosi di cefalea-tensiva. Il giorno successivo si ripresenta alla nostra attenzione per comparsa di cefalea al mattino associata a vomito. Durante l’osservazione non si registrano altri episodi di vomito e la cefalea risponde bene all’antidolorifico. Si programmano per la giornata successiva degli approfondimenti diagnostici.
Alla visita specialistica neurologica l’esame obiettivo si riconferma essere nella norma, inoltre dal colloquio con il ragazzo emergono degli elementi riconducibili a uno stato d’allarme ansioso che potrebbero giustificare gli episodi di cefalea; pertanto, si tranquillizza la madre e si prescrive una RM encefalo a completamento dell’indagine.
Qualche ora dopo il giovane esegue una visita oculistica con esame del fundus oculi, in cui si evidenzia la presenza di papilledema e una minima aerea di atrofia retinica; si pensa in prima ipotesi a un pseudopapilledema di Drusen. Si completa lo studio con OCT ed eco bulbare B-scan, che confermano una papilla ottica rilevata e un diametro della guaina del nervo ottico aumentata.
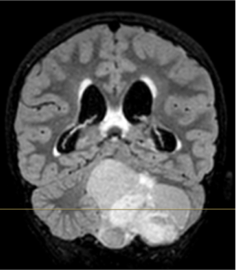
Infine, nei giorni successivi, il ragazzo si sottopone alla RM encefalo che documenta una voluminosa lesione espansiva in fossa cranica posteriore a partenza cerebellare sinistra con componente solida e cistica, idrocefalo triventricolare con segni di trasudazione ependimale (Figura).
Alla luce del nuovo referto il bambino viene inviato ai colleghi dell’Oncoematologia e infine ai neurochirurghi per il ricovero. La biopsia della lesione conferma la presenza di un astrocitoma pilocitico.
Il giovane si sottopone pertanto a intervento di Neurochirurgia che si conclude con la completa asportazione della massa tumorale e ottima ripresa clinica nelle giornate successive.
Discussione
L’astrocitoma rappresenta il 17-20% di tutti i tumori del SNC pediatrici e 1/3 dei tumori della fossa cranica posteriore; spesso esordisce tra i 3 e i 10 anni, presentandosi più frequentemente nella sua variante pilocitica. La prognosi è condizionata in primis dall’istotipo della neoplasia e dell’età d’insorgenza.
Nel caso dell’astrocitoma la chirurgia completa, laddove possibile, risulta quasi sempre curativa. Purtroppo il quadro di presentazione di una neoformazione è del tutto aspecifico e per ridurre il rischio di mancate diagnosi è necessario condurre una visita medica accurata per cercare possibili red flag associate alla cefalea. Le alterazioni neurologiche e il vomito sono fra i sintomi con il maggior valore predittivo di Life-Threatening Headache (LTH); al contrario il dolore in sede occipitale e i risvegli notturni, se isolati, non sono elementi di allarme.
Conclusioni
Questo caso insegna l’importanza di considerare sempre l’ipotesi di cefalee associate a patologia grave, sebbene l’incidenza sia bassa, indagando con cura la possibile presenza di red flag. Se di fronte a un sospetto ragionevole, meglio non ritardare l’esecuzione di un approfondimento radiologico, anche in urgenza, per evitare ritardi o mancate diagnosi.
Bibliografia
- Conti R, Marta G, Wijers L, Barbi E, Poropat F. Red flags Presented in Children Complaining of Headache in Paediatric Emergency Department. Children (Basel) 2023;10(2):366. DOI: 10.3390/children10020366.
- Guida F, Biagi C, Spinedi SF, Masetti R, Corsini I. Quando la cefalea è un campanello di allarme. Medico e Bambino pagine elettroniche 2019;22(26).
