Quando le anemie sono una questione di VITA... MINE
1Dipartimento di Neuroscienze, Riabilitazione, Oftalmologia, Genetica e Scienze Materno-Infantili (DINOGMI),
Università di Genova
2UOC Ematologia Pediatrica, IRCCS Istituto “Giannina Gaslini”, Genova
Indirizzo per corrispondenza: tommasopassarella@gmail.com
Introduzione
L’anemia è una condizione comune in Pediatria, che talvolta può presentarsi come un’urgenza in Pronto Soccorso (PS). In queste situazioni individuare l’eziologia è fondamentale per avviare precocemente un trattamento adeguato. Presentiamo due casi di anemia macrocitica da carenza di vitamina B12 giunti alla nostra attenzione.
Casi clinici
Primo caso
Una bambina di 9 anni giunge in PS per artralgie e astenia da un mese. Presenta tachicardia, soffio sistolico e pallore mucocutaneo; agli esami evidenza di grave anemia macrocitica (Hb 4,3 g/dl, MCV 110,7 fl), piastrinopenia e neutropenia lievi con latticodeidrogenasi molto aumentata. In anamnesi emerge intervento di resezione intestinale perinatale per enterocolite necrotizzante. La valutazione morfologica del sangue periferico evidenza megalocitosi con cellule eritroidi e mieloidi immature, neutrofili iperlobulati e assenza di blasti. Per il quadro suggestivo viene effettuato dosaggio di vitamina B12 con riscontro di deficit (100 pg/ml, VN 191-663 pg/ml) associato a elevati livelli di omocisteina e acido metilmalonico.
Secondo caso
Una bambina di 5 anni viene trasferita da altro Centro per comparsa di sopore, acidosi metabolica e anemia grave durante episodio di gastroenterite. Ai primi esami conferma di anemia grave macrocitica (Hb 7,3 g/dl post trasfusione, MCV 103,3 fl) con reticolocitopenia, positività degli indici di emolisi, Coombs negativo, iperuricemia ed epatosplenomegalia.
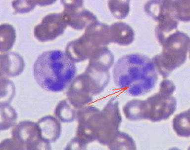
Con tali dati si eseguono ulteriori esami come dosaggio della vitamina B12 e acido folico e, nel frattempo, per escludere patologia linfoproliferativa, viene effettuata valutazione midollare che non mostra aspetti atipici ma solo granulociti ipersegmentati (Figura 1).
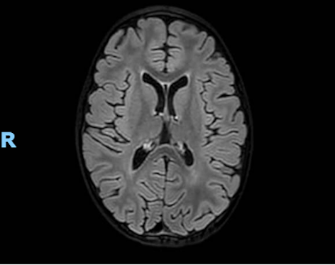
Per il quadro neurologico si richiede RM che evidenzia quadro di leucoencefalopatia con ipotrofia cerebrale (Figura 2). Dall’approfondimento anamnestico emerge che la bambina segue una dieta vegana e non ha mai eseguito integrazione vitaminica, dato confermato dal sopraggiunto valore di vitamina B12 (100 pg/ml, VN 191-663 pg/ml).
In entrambi i casi, dopo iniziale supporto trasfusionale, la supplementazione con idrossicobalamina ha determinato il progressivo miglioramento clinico e la risoluzione della citopenia (Figura 3).
Discussione
Il deficit di B12 si instaura cronicamente per carenza dall’introito alimentare o dell’assorbimento intestinale e si presenta con anemia megaloblastica associata a quadri complessi e talvolta molto gravi.
In regime d’urgenza riconoscere l’eziologia di un’anemia grave rappresenta una sfida clinica, risulta quindi fondamentale un’accurata anamnesi e una valutazione clinico-laboratoristica mirata, tenendo presente anche cause apparentemente “banali” come un deficit vitaminico.
