Focolai di morbillo nell'area pisana
UUOO Pediatria I & II, Azienda Ospedaliero-Universitaria Pisana
Indirizzo per corrispondenza: g.baroncelli@med.unipi.it
Measles epidemic in Pisa territory �Key wordsMeasles, Rom community, Vaccination SummaryThe incidence of measles strongly decreased following the introduction of vaccination. However, new cases are steadily reported in Italy as well as in other European countries. By contrast, World Health Organization has targeted, by an extension of the program of vaccination, the eradication of the disease within 2010. Between April and November 2008, 44 cases of measles were diagnosed in Pisa and neighborhood. Out of them, 34 cases were observed in children of Rom immigrant communities. The majority of them were less than 8 year-old, and no patient was previously vaccinated against measles. Out of ten Italian patients, half of them were adolescents; eight of them did not receive vaccination and two did not complete the vaccination against measles. Therefore, surveillance against measles, particularly in subjects at risk, should be extended. Furthermore, the early diagnosis of the disease as well as promoting the complete vaccination of all children are crucial. |
riassunto introduzione casistica discussione bibliografia |
Riassunto
L�incidenza del morbillo � nettamente diminuita dopo l'introduzione della vaccinazione antimorbillosa. Nuovi casi e nuove epidemie vengono comunque costantemente segnalati in Italia cos� come in altri Paesi europei, nonostante l'OMS avesse previsto, previa estensione della campagna di vaccinazione, l'eliminazione della malattia entro il 2010.
Tra l'aprile ed il novembre 2008 sono stati notificati, nell'area pisana, 44 casi di morbillo. Tra questi, 34 casi sono stati diagnosticati in bambini di etnia rom, la maggioranza dei quali aveva un'et� inferiore agli 8 anni. Nessuno era stato sottoposto a vaccinazione antimorbillosa. I rimanenti 10 bambini erano italiani, la met� dei quali erano in et� adolescenziale (10 � 18 anni); 8 non erano stati vaccinati mentre 2 non avevano ricevuto la seconda dose. I pazienti italiani hanno presentato una percentuale di complicanze maggiore rispetto a quella dei pazienti di etnia rom.
Questi dati indicano che � necessario estendere la sorveglianza contro il morbillo, in particolare nei gruppi a rischio, promuovendo la vaccinazione completa dei bambini e la pronta segnalazione dei casi di malattia.
Introduzione
Il morbillo � una malattia infettiva causata da un virus (genere morbillivirus) appartenente alla famiglia dei paramixovirus. � molto contagioso, si trasmette esclusivamente da uomo a uomo, e conferisce un'immunizzazione teoricamente definitiva.
Il morbillo si sviluppa generalmente attraverso vari stadi. Dopo un periodo di incubazione di circa 14 giorni, con sintomi lievi o assenti, segue lo stato prodromico della durata di 2-4 giorni, caratterizzato da febbre, rinite, tosse, congiuntivite ed enantema (le tipiche macchie di Koplick, rilevabili usualmente in corrispondenza della corona dei molari inferiori come chiazze di essudato sieroso di colore bianco-grigiastro e disseminate a "spruzzo di calce"). Inizia quindi la fase di stato caratterizzata dal tipico esantema maculo-papulare ad andamento cranio-caudale che si associa a febbre elevata. Infine, dopo 2-3 giorni, inizia la fase di defervescenza che si manifesta con una riduzione della componente eritematosa dell'esantema che avviene a partire dalle sedi inizialmente coinvolte; la scomparsa dell�esantema pu� essere seguita da una desquamazione fine1.
La contagiosit� della malattia � compresa tra 4 giorni prima e 4 giorni dopo la comparsa dell'esantema. Il contagio avviene per via aerea tramite l'inalazione delle secrezioni nasali e faringee che si diffondono nell'aria con la tosse e la starnutazione2.
La diagnosi � essenzialmente clinica. La ricerca nel siero degli anticorpi specifici dopo 3 o 4 giorni dalla comparsa dell'esantema � utile solo a scopo epidemiologico.
La terapia � generalmente sintomatica. La malattia � autolimitante ma, in alcuni casi, ed in particolare nei neonati, nei bambini malnutriti o in presenza di deficit immunitario, possono insorgere complicazioni come otite media, laringite, diarrea, polmonite o encefalite1.
Il vaccino contro il morbillo � del tipo vivo attenuato. In Italia viene raccomandata una prima dose del vaccino prima del 24� mese di vita, preferibilmente intorno al 12-15� mese, con una seconda dose a 5-6 anni o a 11-12 anni. Fino al 6�-9� mese, il neonato pu� essere protetto dagli anticorpi che gli sono stati trasmessi dalla madre, se questa � immune verso la malattia.
Casistica
Durante il periodo di tempo compreso fra aprile e novembre 2008 sono stati diagnosticati, presso le U.U.O.O. di Pediatria I e II del nostro ospedale, 44 casi di morbillo (28 maschi e 16 femmine). Tutti i pazienti sono stati osservati in regime di Pronto Soccorso. L'et� dei pazienti era compresa tra 1 mese e 16,9 anni (media � DS: 6,0 � 5,3 aa; 34 pazienti con et� inferiore a 8 anni). Tutti i pazienti presentavano, o avevano presentato, febbre ed esantema maculo-papulare (in un caso con componente emorragica agli arti inferiori). I segni ed i sintomi pi� frequenti erano tosse secca (61%), rinite (59%) e congiuntivite (57%). Il 36% dei pazienti presentava le tipiche macchie di Koplick. Altri sintomi erano disappetenza, diarrea, vomito, cefalea, dolore addominale, epistassi e dispnea. Per la presenza di un decadimento delle condizioni generali, 18 pazienti (41%) hanno richiesto il ricovero in regime di osservazione breve (11%) o in regime ordinario (30%). In questi 18 pazienti la diagnosi � stata confermata mediante esami di laboratorio. Nei rimanenti 26 pazienti la diagnosi era basata su criteri clinici ed epidemiologici.
Nella Figura 1 sono riportati i casi di morbillo osservati durante il periodo esaminato. Dieci pazienti (23%) erano italiani (8 maschi e 2 femmine) di et� compresa tra 1 mese e 16,9 anni (9,4 � 6,6 aa). Il 50% dei pazienti erano in et� adolescenziale (10 � 18 anni) e frequentavano lo stesso Istituto di Scuola Media Superiore. Otto pazienti non avevano eseguito la vaccinazione antimorbillosa mentre due adolescenti avevano ricevuto soltanto la prima dose del vaccino.
I pazienti di etnia rom (n = 34; 20 maschi e 14 femmine; macedoni n = 27, rumeni n = 7) avevano un'et� compresa tra 5 mesi e 16,3 anni (5,0 � 4,3 aa) e trenta presentavano un'et� inferiore agli 8 anni. Nessuno di questi pazienti era stato vaccinato contro il morbillo. Mentre i primi casi di morbillo (n = 3; macedoni) notificati nel periodo aprile-luglio fra i pazienti rom erano a carico di bambini non residenti nell'area pisana (residenza riferita Bolzano n = 2; Foggia n = 1), nei mesi successivi l'infezione si � diffusa prevalentemente nei campi rom autorizzati della zona pisana, colpendo la grande maggioranza della popolazione infantile residente con un picco massimo nel mese di novembre.
Nel complesso, cinque pazienti hanno presentato gastro-enterite con severa disidratazione, quattro bronco-polmonite con crisi dispnoiche, due bronco-ostruzione con crisi di cianosi, uno impetiginizzazione delle lesioni cutanee e, infine, un paziente congiuntivite purulenta. I pazienti italiani hanno presentato una maggiore percentuale di complicanze rispetto ai pazienti rom (Figura 2). Tra i pazienti italiani, due hanno presentato gastro-enterite mentre tre hanno sviluppato una broncopolmonite, confermata dalla radiografia del torace (Figura 3). Il bambino di un mese � stato trattato con immunoglobuline e.v. Nessun paziente ha presentato complicanze neurologiche.
Figura 1. Casi notificati di morbillo da aprile a novembre 2008 nell�area pisana suddivisi per etnia
Figura 2. Complicanze osservate nei pazienti suddivisi per etnia ed espresse in percentuale
|
|
Figura 3a. |
Figura 3b. |
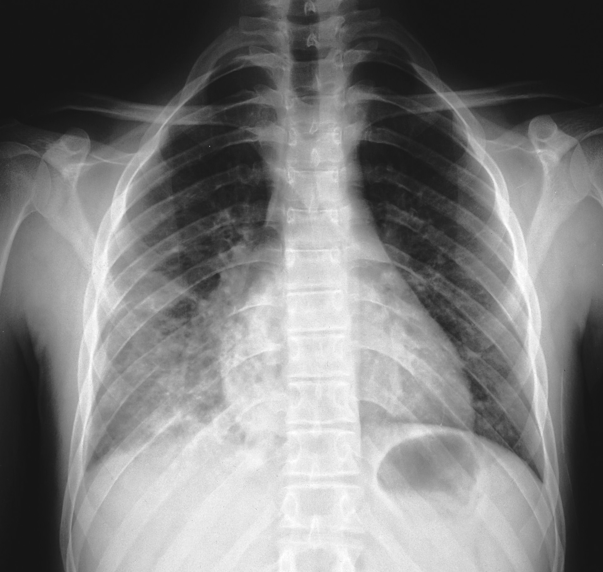
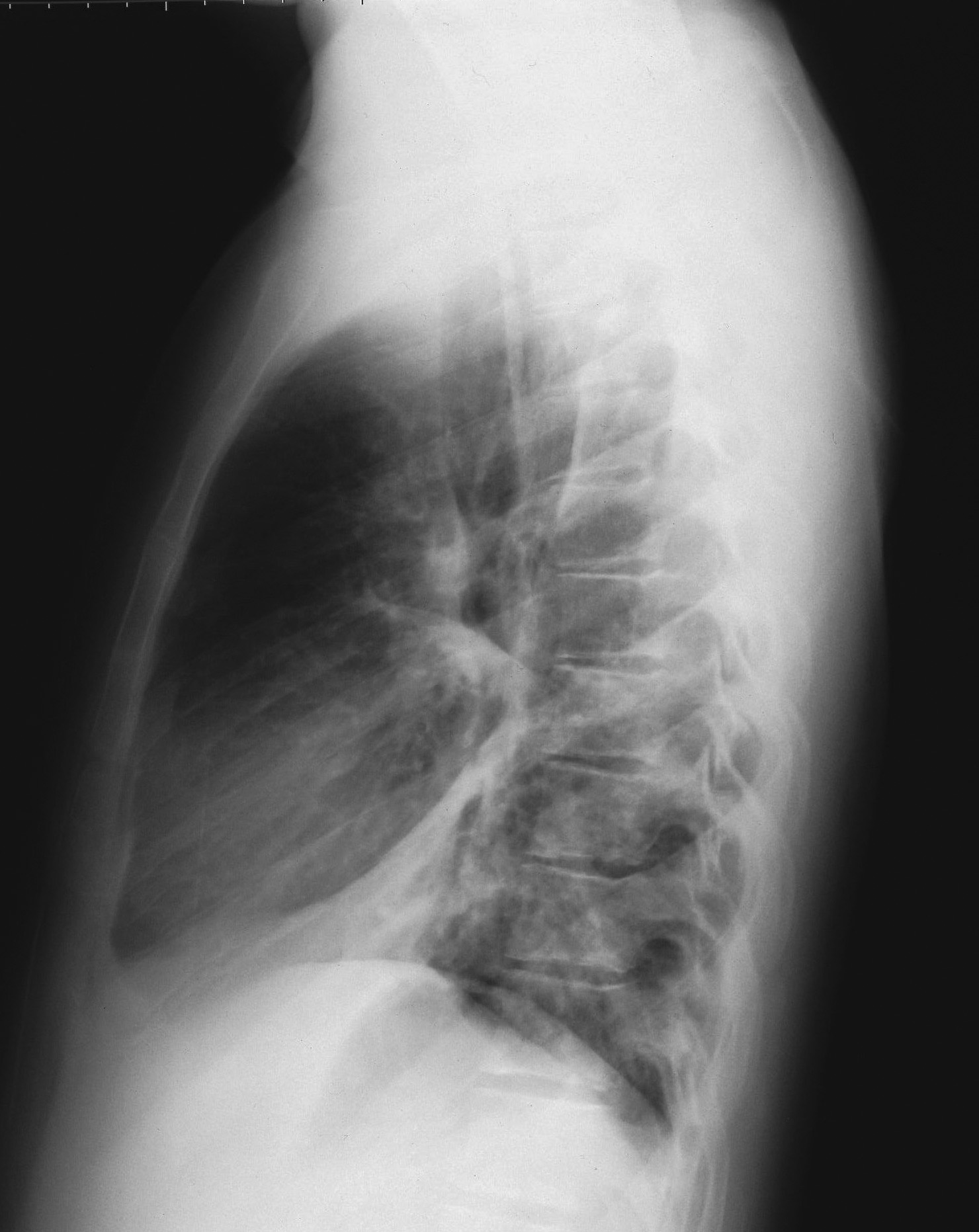
Figura 3. Radiogramma del torace in proiezione antero-posteriore (a) e latero-laterale (b) in un paziente italiano di 15.3 anni. � evidente una polmonite interstiziale bilaterale, pi� accentuata a dx, con obliterazione dello spazio retrocardiaco, diagnosticata dopo 2 giorni dalla comparsa dell'esantema.
Discussione
Il morbillo non pu� essere considerato una malattia scomparsa nel nostro Paese cos� come in altre nazioni europee3. Un recente studio ha riportato che in Inghilterra e in Galles i casi di morbillo sono significativamente aumentati dal 2006 al 20082.
Nel 2003 l'Italia aveva approvato il Piano Nazionale di Eliminazione del Morbillo e della Rosolia Congenita con l'obiettivo di interrompere la trasmissione del morbillo nel quinquennio 2003-07. Il piano si basava sull'incremento della copertura vaccinale gratuita mediante somministrazione di due dosi del vaccino trivalente contro morbillo, parotite e rosolia (MPR). Gli obiettivi prevedevano di assicurare una copertura vaccinale con una dose di MPR al 95% della popolazione sotto i due anni di vita e di garantire la seconda dose di vaccinazione al 90% dei bambini all�et� di 5-6 anni4. Tuttavia, i dati rilasciati nel 2007 dal Ministero del Lavoro, della Salute e delle Politiche Sociali hanno dimostrato che la copertura con una dose di MPR ha raggiunto l'89,6% dei bambini di et� inferiore a due anni di vita, con un'ampia variabilit� regionale (range 67,7�97,3%). In 19 regioni la copertura � risultata superiore all'85% e in 13 superiore al 90% (Toscana 92,2%); solo il Molise ha ottenuto una copertura vaccinale superiore al 95%5.
Nel 2005 l'OMS aveva previsto di eliminare il morbillo in Europa entro il 2010. Questo risultato pu� essere raggiunto assicurando una copertura vaccinale minima del 95% con due dosi di vaccino e riducendo l'incidenza del morbillo a valori inferiori a 1:100.000 nati vivi.6 I dati epidemiologici attuali documentano che tale previsione � stata disattesa, dal momento che la continua insorgenza di epidemie e l'elevata incidenza della malattia in alcuni paesi testimoniano un'insufficiente copertura vaccinale7.
Nell'aprile 2007 il nostro Paese, per far fronte all'aumento dei casi di morbillo, ha istituito un sistema di sorveglianza speciale8 sulla base del quale i medici sono tenuti a segnalare i casi sospetti di morbillo (malattia soggetta a notifica obbligatoria, classe II) alla ASL di appartenenza entro 12 ore, in modo da attivare tempestivamente l'indagine epidemiologica, la ricerca attiva dei contatti, la vaccinazione dei contatti suscettibili e la raccolta di campioni biologici per la conferma di laboratorio e la genotipizzazione. Recentemente sono stati resi noti i risultati di tale sistema.5, 9 Dal 1� settembre 2007 al 31 dicembre 2008 sono stati segnalati 4.895 casi sospetti di morbillo in 18 regioni e province autonome, in un periodo di 16 mesi, con un'incidenza di 8,3 casi per 100.000 abitanti5.
La prima epidemia � stata segnalata in Piemonte nel settembre 2007 in un gruppo di adolescenti non vaccinati di ritorno dal Regno Unito; altre regioni particolarmente colpite sono state la Lombardia, la Toscana, il Lazio e l'Emilia Romagna. Il 61% dei pazienti aveva un'et� compresa tra 15 e 44 anni; l'incidenza pi� elevata � stata osservata, nel periodo di 16 mesi, tra gli adolescenti di 15-19 anni (36,3:100.000) e nei bambini di et� inferiore ad un anno (30,6:100.000).5
Tutti i pazienti da noi osservati presentavano febbre, spesso elevata, ed esantema maculo papulare, mentre la presenza degli altri segni della malattia (tosse, rinite, congiuntivite) dipendeva dal periodo in cui il paziente giungeva all'osservazione. I pazienti italiani erano in buona parte adolescenti ed il loro contagio era avvenuto in ambiente scolastico. Nei pazienti di etnia rom l'et� di insorgenza del morbillo era generalmente inferiore agli 8 anni di vita ed aveva carattere epidemico, poich� nelle comunit� nelle quali vivevano nessuno era stato sottoposto a vaccinazione antimorbillosa. Si stima che attualmente vivano in Italia circa 110.000 rom, spesso in campi permanenti o semi-permanenti;10 in questi gruppi vi � un particolare rischio di focolai di morbillo per la mancata attuazione delle attivit� routinarie di vaccinazione.
Oltre la met� dei pazienti non ha richiesto ospedalizzazione per l'assenza di fattori di rischio importanti. Le complicanze sono state soprattutto a carico dell�apparato gastro-intestinale e respiratorio. In particolare, in alcuni bambini rom � stata necessaria la reidratazione e.v. per la presenza di disidratazione con compromissione delle condizioni generali.
Per eliminare la malattia deve essere assicurata la copertura vaccinale con le due dosi raccomandate4,11.Particolare attenzione deve essere rivolta ai gruppi a rischio, come le comunit� rom, che possono non essere sufficientemente coperti dai servizi territoriali e non essere sottoposti alle attivit� routinarie di vaccinazione rappresentando una possibile fonte di focolai epidemici della malattia. Inoltre, � necessario prevenire la trasmissione nosocomiale delle infezioni accertate o sospette; a tale scopo sarebbe consigliabile che tutto il personale sanitario risultasse immunizzato contro il morbillo per evitare di contribuire alla sua disseminazione. Infine, un ruolo importante spetta ai pediatri di famiglia affinch� segnalino prontamente i casi sospetti in modo che possano essere messe in atto tutte le opportune misure di prevenzione.
Bibliografia
Chiodo F., Manfredi R. Malattie infettive pediatriche. Principi N. Ed., Edizioni Medico-Scientifiche, Vol 2. Pavia 2000;517-21.
Eaton L. Measles cases in England and Wales rise sharply in 2008. BMJ 2009;338:b533.
Muscat M, Bang H, Wohlfahrt J, Glismann S, M�lbak K; EUVAC.NET Group. Measles in Europe: an epidemiological assessment. Lancet 2009;373:83-9.
Conferenza Stato-Regioni. Seduta del 13 novembre 2003. Piano nazionale di eliminazione del morbillo e della rosolia congenita http://www.governo.it/backoffice/allegati/20894-1712.pdf.
Filia A, Giambi C, Bella A, Ciofi degli Atti ML, Declich S, Salmaso S. Sorveglianza del morbillo e della rosolia congenita e stato di avanzamento del Piano Nazionale di Eliminazione, gennaio 2009. Ben-Notiziario ISS, Volume 22(2) http://www.epicentro.iss.it/ben/2009/febbraio/2.asp.
World Health Organization. Eliminating measles and rubella and preventing congenital rubella infection. WHO European Region strategic plan 2005-2010. http://www.euro.who.int/Document/E87772.pdf.
Asaria P, MacMahon E. Measles in the United Kingdom: can we eradicate it by 2010? BMJ 2006;333:890-5.
Ministero della Salute. Lettera circolare del 20 aprile 2007. Piano nazionale di eliminazione del morbillo e della rosolia congenita: istituzione di un sistema di sorveglianza speciale per morbillo. http://www.ministerosalute.it/imgs/C_17_normativa_1455_allegato.pdf
Filia A, De Crescenzo M, Seyler T, et al. Measles resurges in Italy: preliminary data from September 2007 to May 2008. Euro Surveill 2008;13:18928.
Filia A, Curtale F, Kreidl P, et al. Focolai di morbillo nella popolazione nomade in Italia: giugno-settembre 2006. Medico e Bambino 2007;26:257-58. http://www.medicoebambino.com/_popolazione_morbillo_nomade_focolai_infezione_rom_sinti.
Bartolozzi G. Morbillo 2000. Medico e Bambino 2000;19(2):119-122 http://www.medicoebambino.com/?id=0002_119.pdf


