Le complicanze della varicella come causa di ospedalizzazione: studio retrospettivo di 27 anni
Clinica Pediatrica, IRCCS �Burlo Garofolo�, Trieste
Indirizzo per corrispondenza: ebarbi@libero.it
Chickenpox complications: a hospital retrospective survey
Key words
Chickenpox, complications, hospital survey
Summary
Aim: to describe the chickenpox complications in a case series of patients admitted in the ward.
Methods: retrospective revue of the clinical complications of chickenpox infection in patients hospitalised in Burlo Garofolo from January 1980 to December 2007.
Results: during the study period, 43 children (23 males, 20 female) were admitted. The median age was 4,3 years. Among complications, neurological disorders were the most common (17/43 = 40%), followed by skin and soft tissue infections (17/43 = 37%), haematological disorders (6/43 = 14%), gastrointestinal disorders (4/43 = 9%) and respiratory tract infections (2/43 = 5%). Some children had additional complications; 2/43 children were immunocompromised. The period between the onset of chickenpox and complications was of 4,6 days.
The median length of hospital stay was 6,4 and only one sequela was reported. No death was reported.
Conclusions: infective complications were the most common reported. Severe complications occurred in previously healthy children, and required high costs for hospitalisation and therapy.
Riassunto
Scopo: Stimare il numero di bambini ospedalizzati per varicella complicata e valutare la tipologia clinica e la prognosi di tali complicanze.
Metodi: Identificazione dei pazienti ricoverati per varicella complicata, dal Gennaio 1980 al Dicembre 2007, presso la clinica pediatrica �Burlo Garofolo� di Trieste.
Risultati: Sono stati identificati 43 pazienti ricoverati per complicanze da varicella. L�et� media era di 4.3 anni, 20 femmine (46%) e 23 maschi (54%). Le complicanze identificate erano di tipo neurologico in 17 casi (40%), ematologico in 6 casi (14%), cutaneo in 16 casi (37%) gastrointestinale in 4 casi (9%), respiratorio in 2 casi (5%) e osteoarticolare in 2 casi (5%). Alcuni bambini hanno presentato pi� di una complicanza. Solo 2 di questi pazienti presentavano una condizione di immunodepressione causata in un caso da leucemia linfatica acuta (LLA) e nell�altro da terapia cortisonica per patologia pre-esistente.
Il tempo intercorso in media tra esordio della varicella e complicanza � stato di 4.6 giorni; i giorni medi di degenza 6.4, gli esiti a lungo termine 1.
Non si � verificato alcun decesso.
Conclusioni: Le complicanze infettive nel complesso sono state le pi� frequenti. Le varie tipologie di complicanze hanno interessato soprattutto bambini immunocompetenti richiedendo importanti costi legati alla prolungata assistenza ospedaliera e alla terapia farmacologia senza dimenticare le giornate perse di lavoro dei familiari.
Introduzione
La varicella � una malattia esantematica, autolimitante e a decorso generalmente benigno causata dal virus varicella zoster (VZV), uno degli 8 herpes virus che causano infezione nell�uomo. La mortalit�, peraltro bassa, � sempre dovuta alle sue complicanze, che sono pi� frequenti e pi� gravi nei soggetti immunocompromessi1, in particolare in quelli con difetto dell�immunit� cellulo-mediata; in questi soggetti, infatti, si pu� verificare una disseminazione del virus per via ematica con interessamento multi-organo (polmone, fegato, cervello, cuore, reni�)2.
Negli USA, in epoca prevaccinale, l�incidenza stimata dei ricoveri per complicanze da varicella era di circa 10.600 casi/anno, su un'incidenza complessiva di varicella stimata di 4 milioni di casi/anno (circa 5000 casi/100.000/anno); la mortalit� era pari a 3-4/100.000 casi nei soggetti immunocompetenti, mentre raggiungeva i 10-13/100 nei bambini sotto l�anno di vita e negli immunodepressi3. I soggetti immunocompetenti vanno incontro a complicanze differenti, meno gravi, rispetto agli immunocompromessi.
I bambini che presentano uno stato di immunodepressione sviluppano pi� frequentemente sovrainfezioni maggiormente invasive come la fascite necrotizzante; presentano inoltre un interessamento viscerale, in particolare epatiti e polmoniti interstiziali. In questi bambini le lesioni cutanee sono molto pi� numerose e con una durata pi� lunga, le vescicole spesso possono andare incontro a sanguinamento configurando un quadro di varicella emorragica. Nei bambini sani invece le complicanze pi� frequenti sono quelle neurologiche, in particolare le cerebelliti con decorso generalmente benigno, seguono le sovrainfezioni cutanee, in particolare le celluliti, e infine le complicanze ematologiche e articolari.
Le infezioni batteriche secondarie a carico della cute rappresentano circa il 36% delle complicanze nei pazienti ospedalizzati; i batteri prevalentemente in causa sono lo streptococco beta emolitico di tipo A e lo stafilococco aureo4. Le infezioni batteriche pi� frequenti sono quelle cutanee (21%).
Negli ultimi decenni le complicanze della varicella hanno subito un progressivo cambiamento; che � andato dalla completa scomparsa della sindrome di Reye5, secondaria alla somministrazione di aspirina, a un aumento delle sovrainfezioni batteriche, in particolar modo quelle provocate dallo SBA6,7.
Metodi
Abbiamo analizzato le cartelle cliniche dei pazienti che erano stati ricoverati presso l�ospedale "Burlo Garofolo" di Trieste dall�anno 1980 all�anno 2007 con la diagnosi di �varicella complicata�, dove per �complicanza� della varicella si definiva qualsiasi condizione patologica sviluppatasi entro trenta giorni dalla comparsa dei sintomi.
I pazienti analizzati provenivano da tutto il territorio regionale.
Per ogni paziente sono stati raccolti i dati anagrafici, i parametri bioumorali, gli indici di flogosi, le indagini strumentali, il tipo di complicanza, la presenza di febbre al momento della comparsa della complicanza, l�intervallo di tempo tra l�esordio della varicella e comparsa della complicanza, i giorni di ricovero, il numero di pazienti immunodepressi e le sequele.
I pazienti reclutati sono stati considerati immunocompromessi se affetti da malattia cronica, neoplasie oppure in trattamento con farmaci immunosoppressori (es. chemioterapici, terapia steroidea iniziata da almeno 2 settimane dall�esordio della varicella). La presenza di �infezioni a carico della cute o dei tessuti molli� � stata stabilita attraverso l�esame clinico e, in qualche caso, confermata da colture batteriche.
La fascite necrotizzante � stata definita come un�infezione severa dei tessuti sottocutanei, caratterizzata clinicamente dalla comparsa di eritema, edema importante, intenso dolore sproporzionato all�obiettivit� clinica, con possibile evoluzione necrotica. Per coinvolgimento cerebellare si � inteso la presenza di atassia, nistagmo e disartria. Le meningoencefaliti sono state definite dalla comparsa di sintomi a carico del SNC quali alterazioni dello stato di coscienza, convulsioni, segni neurologici focali, liquor sterile e pleiocitosi (cell > 5/mm3). Le polmoniti sono state documentate radiologicamente. La trombocitopenia � stata definita dalla presenza di un valore di piastrine < 100.000/mm3. Il coinvolgimento epatico � stato identificato dall�elevazione degli indici di citolisi epatica (n > 3).
Risultati
Nel nostro studio retrospettivo abbiamo identificato 43 pazienti con varicella complicata, alcuni di questi con pi� di una complicanza, di cui 41 immunocompetenti e 2 immunocompromessi (un paziente affetto da leucemia linfatica acuta e uno in trattamento protratto con corticosteroidi orali). (Tabella 1).
La maggior parte dei ricoveri si � verificato nel periodo primaverile, con un picco nel mese di aprile (21%).
L�et� media della popolazione con varicella complicata era di 4,5 anni, con un range da 3 mesi a 14 anni e un picco all�et� di 4 anni (30%), la durata media di ricovero � stata di 6,6 giorni.
Complicanze* |
Bambini sani |
Bambini con malattia pre-esistente |
Totale |
neurologiche |
17 |
0 |
17 |
Atassia cerebellare Meningoencefalite Encefalite SIADH Sindrome di Todd Emicrania�/sincope |
9 4 1 1 1 1 |
0 0 0 0 0 0 |
|
Cutanee/dei tessuti molli |
15 |
1 |
16 |
Cellulite Impetigine Scalded skin syndrome Fascite necrotizzante |
11 3 1 0 |
0 0 0 1^ |
|
Gastrointestinale |
3 |
1 |
4 |
Appendicite/peritonite Epatite Anoproctite Gastrite acuta |
1 0 1 1 |
0 1 0 0 |
|
Ematologica |
6 |
0 |
6 |
Piastrinopenia CID |
4 2 |
0 0 |
|
Respiratoria |
2 |
0 |
2 |
Polmonite empiema |
1 1 |
0 0 |
|
Osteoarticolare |
2 |
0 |
2 |
Sepsi |
1 |
0 |
1 |
Vasculite |
1 |
0 |
1 |
Totale complicanze |
47 |
2 |
49 |
Tabella 1. Tipologia e incidenza delle complicanze da varicella
* alcuni bambini hanno presentato pi� di una complicanza
^ bambino in terapia cortisonica
Nella maggioranza dei casi, la comparsa della complicanza � stata caratterizzata da rialzo febbrile, con peggioramento delle condizioni cliniche generali e degli esami di laboratorio.
Considerando singolarmente i vari apparati, le complicanze a carico del SNC si sono rivelate le pi� frequenti con un totale di 17 casi (40%), seguite dalle sovrainfezioni cutanee e dei tessuti molli con 16 casi (37%). Le complicanze causate da sovrainfezione batterica in generale, hanno rappresentato circa la met� delle cause di ospedalizzazione (21/43); le pi� frequenti sono risultate essere quelle cutanee (16 cutanee, 2 articolari, 1 sepsi, 2 polmonari), e in particolare le celluliti (11/16), seguite da quelle polmonari (2/ 43) e la fascite necrotizzante (1/21).
In ambito neurologico la complicanza rilevata pi� frequentemente � stata l�atassia cerebellare (52%), seguita dalla meningoencefalite (24%). Nessuno di questi pazienti ha presentato esiti a lungo termine.
Nessun paziente con varicella complicata � andato incontro al decesso; solo un paziente, di appartenenza al gruppo degli immunodepressi (bambino in trattamento cortisonico), ha presentato un esito a distanza, rappresentato dal trapianto di cute dell�emitorace sinistro in seguito a fascite necrotizzante. Tra i microrganismi coinvolti, lo SBA � stato isolato in 5 pazienti, e in un caso � stato responsabile di una concomitante sepsi.
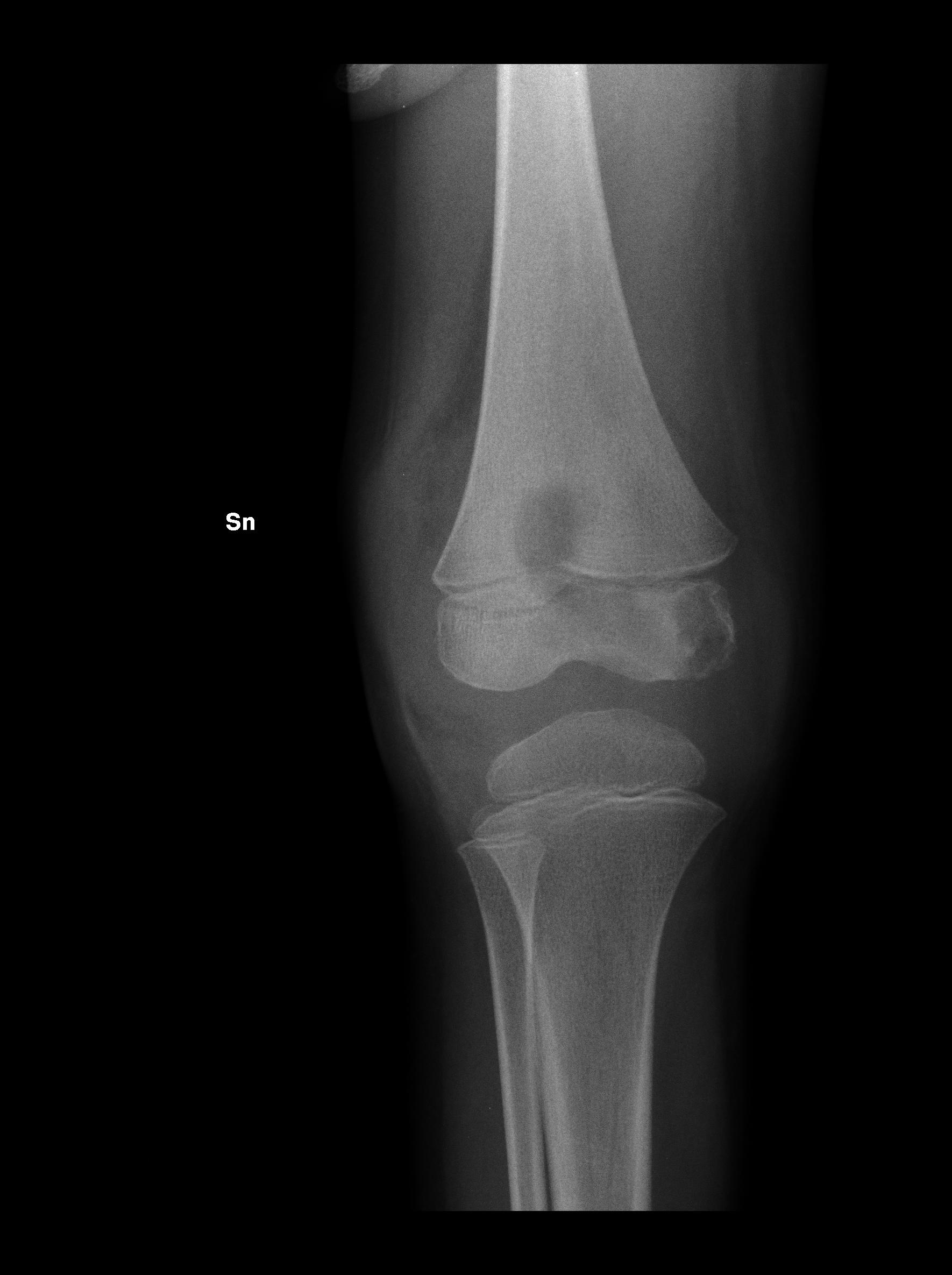
In altri 5 pazienti � stato isolato Staphylococcus aureus, ma in questo caso le complicanze sono state meno invasive e severe in paragone a quelle provocate dallo SBA. Infatti pazienti con infezione da SBA documentata hanno presentato esiti a distanza; ad esempio il paziente con fascite necrotizzante (Figura 1) � stato sottoposto a un trapianto di cute. In un solo caso � stato isolato lo pneumococco, responsabile di una osteomielite�(Figura 2).

Figura 1. Fascite necrotizzante da SBA in corso di varicella

Figura 2. Osteomielite post-varicella da pneumococco
Nei pazienti che hanno sviluppato sovrainfezioni batteriche, l�et� media � stata di 3,8 anni. Il tempo intercorso tra l�esordio clinico della varicella e la comparsa delle complicanze cutanee e dei tessuti molli � stato in media di 2,8 giorni, cronologicamente inferiore rispetto alla sintomatologia neurologica che � esordita dopo 8 giorni (Tabella 2).
complicanze |
frequenza (n� bambini) |
et� media (anni) |
giorni medi di ospedalizzazione |
intervallo di tempo esordio-complicanza (gg) |
neurologiche |
17 |
4,6 |
8 |
8 |
respiratorie |
2 |
5,4 |
16 |
2 |
cutanee e dei tessuti molli |
16 |
3,8 |
7 |
3,2 |
gastrointestinale |
4 |
6,5 |
6,3 |
3 |
osteoarticolare |
2 |
1 |
16 |
6,5 |
ematologica |
6 |
8,3 |
8,6 |
5,2 |
Tabella 2. Caratteristiche delle complicanze della varicella
Discussione
Questi dati dimostrano che la nostra realt� epidemiologica non si discosta da quella descritta dalla letteratura; in particolare, per quanto riguarda lo spettro di complicanze della varicella, l�et�, il sesso dei pazienti e il periodo stagionale in cui si verificano le epidemie7,9.
Le complicanze infettive sono in crescita nella nostra realt� e interessano per lo pi� bambini piccoli (3-4 anni in media), manifestandosi in genere a breve distanza dall�esordio della malattia (2-3 giorni) e vanno sospettate a fronte di un peggioramento clinico (comparsa di febbre alta, compromissione della cenestesi)8.
Nel nostro studio l�et� media dei bambini con complicanze neurologiche � di 4,6 anni, leggermente maggiore rispetto a quella dei pazienti ricoverati per complicanze infettive (la cui et� media � di 3,8 anni). Abbiamo inoltre notato che le manifestazioni neurologiche hanno solitamente esordio pi� tardivo rispetto a quelle legate a sovrainfezioni batteriche (8 giorni vs 3.2 giorni). Questi dati sono in perfetto accordo con quelli riportati in letteratura9. I giorni di ospedalizzazione nei due gruppi di pazienti sono invece pressoch� sovrapponibili. Al contrario, recenti studi hanno mostrato che i giorni di ricovero necessari alla risoluzione di un�infezione batterica sono inferiori rispetto a quelli indispensabili per ottenere la remissione del quadro neurologico. Questo dato depone probabilmente per la persistenza di un eccesso di cautela nel trattamento e monitoraggio del paziente con complicanze infettive, che viene trattenuto pi� a lungo in ricovero di quanto accada in altre realt�10.
La fascite necrotizzante in corso di varicella, sebbene sia un evento raro, ha mostrato negli ultimi anni un aumento di incidenza, merita pertanto d�essere sospettata, al fine di prevenire complicazioni importanti. Non abbiamo registrato nessun caso di sindrome di Reye, del resto tale gravissima complicazione � da ritenersi pressoch� scomparsa gi� dagli anni 80, quando ne � stata individuata l�associazione con l�assunzione di salicilati in corso di varicella o altre infezioni intercorrenti. Complessivamente buona la prognosi a medio-lungo termine dei pazienti affetti da varicella complicata; in un solo caso, infatti, la fascite necrotizzante ha comportato esiti permanenti, per il trattamento dei quali si � fatto ricorso al trapianto di cute.
Uno studio retrospettivo condotto in Germania mostra, su un totale di 153 casi ospedalizzati, che il 6,7% dei pazienti ha riportato esiti a lungo termine; di cui 6 casi sono da attribuirsi a complicanze infettive (calcificazioni articolari conseguenti a sepsi o artriti piogene; cicatrici cutanee) e 2 casi di esiti permanenti dovuti a complicanze neurologiche (paralisi persistente del braccio; deficit del nervo abducente; nessun caso di decesso11.
Uno studio retrospettivo condotto in Italia su 349 bambini, di cui 3,7% immunodepressi, ha registrato quali sequele neurologiche lo strabismo, la disartria post-encefalite e l�epilessia; l�unico decesso ha riguardato una ragazza di 16 anni recante porpora, la quale ha rapidamente sviluppato insufficienza respiratoria e renale ed � andata incontro a exitus per shock settico, nonostante il trattamento aggressivo12.
Un�altra ricerca condotta in Inghilterra e Irlanda - su una popolazione di 188 bambini - ha mostrato sequele nel 40% dei casi (atassia e cicatrici cutanee); 6 i decessi riportati, la maggior parte dei quali in bambini portatori di una patologia pre-esistente, veniva inclusa 1 morte intrauterina13.
I possibili bias responsabili della bassa incidenza di esiti nella nostra casistica potrebbero consistere nel ridotto numero di pazienti del nostro studio, nei differenti criteri da noi utilizzati nella definizione di complicanza (nella nostra casistica, infatti, le cicatrici cutanee non sono state definite complicanze) e il fatto che il 95% della nostra popolazione era rappresentata da bambini immunocompetenti. Quest�ultimo dato, in particolare, pu� facilmente spiegare la discrepanza con i dati riportati in letteratura, i quali vertono prevalentemente su pazienti immunocompromessi.
Le complicanze della varicella nei bambini immunocompetenti richiedono spesso una prolungata assistenza ospedaliera e un trattamento farmacologico e/o di supporto, aumentando quindi i costi di sanit� pubblica14. Questo dato acquista un peso significativo, vista l�elevata incidenza della varicella nella popolazione generale. Il numero esiguo di pazienti da noi arruolati costituisce una limitazione che non permette di fare considerazioni definitive circa l�epidemiologia delle complicanze. Tuttavia, questi dati confermano che la varicella resta una malattia di interesse per lo pi� ambulatoriale, con una bassa incidenza di complicanze che richiedano ospedalizzazione e/o lascino reliquati. La severit� della varicella negli immunodepressi rende sempre obbligatorio, laddove sia possibile, il ricorso alla vaccinazione. Esula, invece, dagli scopi di questo studio l�analisi del rapporto costi-benefici della vaccinazione universale.
In conclusione, l�analisi della nostra realt� epidemiologica definisce la varicella come una malattia sostanzialmente benigna con complicanze rare, che ancor pi� raramente danno luogo a reliquati. Le complicanze vanno sospettate in ogni bambino che presenti comparsa di febbre alta e peggioramento delle condizioni generali; nei primi giorni dall�esordio esse riguardano prevalentemente il versante infettivo, mentre quelle che compaiono a una settimana circa dall�esordio della malattia riguardano il versante neurologico. Un alto indice di sospetto per le complicanze infettive permetter� un trattamento tempestivo, la riduzione della morbidit� e della durata dell�ospedalizzazione.
Bibliografia
1. Boelle PY, Hanslik T. Varicella in non-immune persons: incidence, hospitalization and mortality rates. Epidemiol Infect 2002;129:599-606.
2. Feldman S, Hughers WT, Daniel CB. Varicella in children with cancer: seventy-seven cases. Pediatrics 1975;56:512-7.
3. Fornaio P, Gandini F, Marin M, Pedrazzi C. Epidemiology and cost analysis of varicella in Italy: results of a sentinel study in the pediatric practice. Italian Sentinel Group on Pediatric Infectious Diseases. Pediatr Infect Dis J 1999;18:414-9.
4. Petaros P, Marchetti F. La Varicella. Medico e Bambino 2005;24:89-98
5. Belay ED, Bresee JS, Holman RC, Khan AS, Shahriari A, Schonberger LB. Reye�s syndrome in the United States from 1981 through 1997. N Engl J Med 1999;340:1377-82.
6. Quinlivan M, Hawrami K, Aaby P, et al. The Molecular Epidemiology of Varicella-zoster virus: Evidence for Geographic Segregation. J Infect Dis 2000;132:383-90.
7. Grimprel E, Levy C, de La Rocque F, et al. Paediatric varicella hospitalizations in France: a nationwide survey. Clin Microbiol Infect 2007;13:546-9.
8. Klassen TP, Hartling L, Wiebe N, Belseck EM. Acyclovir for treating varicella in otherwise healthy children and adolescents. Cochrane Database Syst Rev 2005;(4):CD002980.
9: Mandelcwajg A, Quinet B, Castello B, Parez N, Grimprel E. Causes of hospitalization of patients with ongoig varicella in a French children hospital: evolution between 1990 and 2001. Arch Pediatr 2006;13:429-35.
10. Bonhoeffer J, Baer G, Muehleisen B, et al. Prospective surveillance of hospitalisations associated with varicella-zoster virus infections in children and adolescents. Eur J Pediatr 2005;164:366-70.
11. Ziebold C, von Kries R, Lang R, Weigl J, Schmitt HJ. Severe Complications of Varicella in Previously Healthy Children in Germany: A 1-Year Survey. Pediatrics 2001;108(5):E79.
12. Marchetto S, de Benedictis FM, de Martino M, et al. Epidemiology of hospital admission for chickenpox in children: an italian multicentre study in the pre-vaccine era. Acta Paediatr 2007;96:1490-3.
13. Cameron JC, Allan G, Johnston F, Finn A, Heath PT, Booy R. Severe Complications of chickenpox in hospitalised children in the UK and Ireland. Arch Dis Child 2007;92:1062-6.
14. Manfredi R, Chiodo F, Titone L, et al. Chickenpox complications among immunocompetent hospitalized children in Italy. Acyclovir-Chickenpox Italian Study Group. Pediatr Med Chir 1997;19:99-104.
