Affinché non MIS-Cappi il caso: l’esperienza di Palermo sulla sindrome infiammatoria multisistemica SARS-CoV-2-correlata
1UO di Malattie Infettive Pediatriche, PO “G. Di Cristina”, ARNAS Civico, Palermo
2Scuola di specializzazione in Pediatria, Università di Palermo
3Dipartimento di Promozione della Salute, Materno-Infantile, di Medicina Interna e Specialistica di Eccellenza “G. D’Alessandro”, Policlinico Universitario “Paolo Giaccone”, Università di Palermo
4UO di Radiodiagnostica Pediatrica, PO “G. Di Cristina”, ARNAS Civico, Palermo
Indirizzo per corrispondenza: luciasira@gmail.com
Multisystem inflammatory syndrome associated with SARS-CoV-2 infection in 9 children: a first report from Palermo (Italy)
Key words: SARS-CoV-2, Covid-19, Multisystem inflammatory syndrome in children (MIS-C)
Abstract
Background - Covid-19 is less frequent and milder in children than in adults. However, cases of multisystem inflammatory syndrome temporally associated with SARS-CoV-2 (MIS-C) have been reported in children, whose phenotype resembles atypical Kawasaki disease.
Objectives - The paper describes the incidence as well as clinical, laboratory and radiological findings of MIS-C.
Materials and methods - In the Paediatric Infectious Disease Centre of Palermo (Italy), a targeted surveillance for MIS-C from March 2020 to January 2021 was conducted. Case definition included WHO, UK and US criteria.
Results - The paper reports the cases of 9 patients with MIS-C out of which 8 (88%) were hospitalized after September 2020. 44% were male and their median age was 6.5 years. Organ-system involvement included gastrointestinal (66%), cardiovascular (66%), mucocutaneous (88%), reticuloendothelial (77%) and respiratory (55%) systems. C-reactive protein (CRP), procalcitonin, D-dimer and pro-B-type natriuretic peptide levels (pro-BNP) were high in all patients. Chest radiography showed bilateral ground glass-opacities (55%) and pleural effusions (44%). Abdominal imaging findings included small-volume ascites (55%) and mesenteric lymphadenopathy (22%). Echocardiogram showed transient valves regurgitation (55%). In all the patients, the left ventricular ejection fraction was normal and coronary-artery aneurysms were not documented. They were treated with immunomodulating therapies. All patients neither received intensive care nor died.
Conclusions - MIS-C represents a new systemic inflammatory syndrome with a phenotype resembling Kawasaki disease. MIS-C remains a rare condition, in which gastrointestinal and mucocutaneous involvement is predominant, nevertheless cardiovascular involvement must be investigated. MIS-C could be suspected even if SARS-CoV-2 exposure precedes the onset of the symptoms by more than 6 weeks. In most cases, a good prognosis might be expected.
Riassunto
Razionale - Nella popolazione pediatrica la Covid-19 presenta una minore incidenza e un decorso favorevole, rispetto all’età adulta. Tuttavia i bambini possono sviluppare una sindrome infiammatoria multisistemica associata all’infezione da SARS-CoV-2 (MIS-C) con caratteristiche simili alla malattia di Kawasaki atipica.
Obiettivi - Il lavoro mira a descrivere l’incidenza e le caratteristiche cliniche, laboratoristiche e strumentali della MIS-C, date le sue implicazioni sulla salute pubblica.
Materiali e Metodi - Sono stati descritti i casi di MIS-C registrati da marzo 2020 a gennaio 2021 presso l’Unità Operativa Complessa di Malattie Infettive Pediatriche dell’Ospedale dei Bambini “G. Di Cristina” di Palermo. La definizione di caso includeva i criteri OMS, UK e US.
Risultati - Sono stati riportati 9 casi di MIS-C, di cui 8 registrati dopo il mese di settembre 2020. Il 44% era di sesso maschile e l’età mediana era 6,5 anni. Preponderante è stato il coinvolgimento degli apparati gastrointestinale (66%), cardiovascolare (66%), mucocutaneo (88%), reticoloendoteliale (77%) e respiratorio (55%). In tutti i pazienti è stato riscontrato un aumento della proteina C reattiva (PCR), della procalcitonina, del D-dimero e del pro-peptide natriuretico di tipo B (pro-BNP). I reperti radiologici di più comune riscontro sono stati gli addensamenti polmonari bilaterali a vetro smerigliato (55%) e il versamento pleurico (44%) in sede toracica, il versamento peritoneale (55%) e la linfoadenopatia mesenterica (22%) in sede addominale. Nel 55% dei casi l’ecocardiogramma ha mostrato insufficienze valvolari transitorie con funzione sistolica preservata e assenza di aneurismi delle arterie coronariche. Tutti i pazienti sono stati trattati con terapie immunomodulanti, non necessitando in alcun caso di terapie intensive. Non si sono registrati decessi.
Conclusioni - La MIS-C rappresenta una nuova sindrome infiammatoria sistemica. Si tratta di una condizione rara in cui il coinvolgimento gastrointestinale e mucocutaneo è predominante, nonostante sia obbligatorio escludere l’interessamento cardiovascolare. L’associazione con l’infezione da SARS-CoV-2 deve essere ricercata considerando anche un periodo finestra superiore al limite attuale delle 6 settimane. La prognosi è favorevole nella maggioranza dei casi.
Introduzione
Nel corso della pandemia da SARS-CoV-2 è emerso che tale infezione presenta aspetti clinici differenti tra adulti e bambini: mentre nei primi causa generalmente un quadro moderato-severo di polmonite atipica con variabile coinvolgimento multiorgano, la maggior parte dei bambini sono asintomatici o manifestano una forma lieve di malattia1. Tuttavia, a partire da aprile 2020, numerosi studi clinici hanno documentato nei bambini una presentazione clinica, talvolta grave, con caratteristiche similari a una malattia di Kawasaki atipica o, più raramente, a una sindrome da shock tossico: questa condizione è stata successivamente denominata sindrome infiammatoria multisistemica del bambino (MIS-C)1. Si tratta di un quadro complesso per la cui diagnosi sono stati definiti dei criteri clinici e laboratoristici da parte di tre comunità scientifiche: Royal College of Paediatrics and Child Health (RCPCH)2, Centers for Disease Control and Prevention (CDC)3 e Organizzazione Mondiale della Sanità (OMS)4. Tali criteri, pur avendo degli elementi comuni come segni e sintomi (ad esempio la febbre) e parametri biochimici (aumento della proteina C-reattiva - PCR e della procalcitonina - PCT, linfopenia), presentano alcune differenze, come mostrato nella Tabella I.
Obiettivo di questo studio è descrivere la casistica di pazienti con MIS-C ricoverati presso il nostro Centro.
Materiali e metodi
Sono stati analizzati retrospettivamente i dati clinici, laboratoristici, strumentali, il tipo di trattamento e la prognosi dei pazienti pediatrici ricoverati presso l’Unità Operativa Complessa di Malattie Infettive Pediatriche dell’Ospedale dei Bambini “G. Di Cristina” di Palermo con MIS-C, diagnosticata tra il 20 marzo 2020 e il 31 gennaio 2021. Sono stati inseriti tutti i bambini che soddisfacevano i criteri diagnostici di MIS-C formulati dall’OMS, dal CDC o dal RCPCH. In tutti i pazienti l’associazione con SARS-CoV-2 è stata dimostrata tramite la positività di un tampone rinofaringeo per ricerca del genoma virale e/o la presenza di anticorpi IgG e/o IgM anti SARS-CoV-2.
Risultati
Presso il nostro Centro sono stati registrati 9 casi di MIS-C. In 5 bambini l’associazione con SARS-CoV-2 è stata dimostrata tramite il riscontro di anticorpi IgG e/o IgM anti SARS-CoV-2; in un bambino la correlazione con l’infezione è stata provata esclusivamente attraverso l’esito positivo del tampone rinofaringeo per ricerca del genoma virale, mentre in 3 bambini grazie alla positività di entrambi i test. Sei pazienti non avevano manifestato precedentemente sintomi riferibili a Covid-19, 3 invece hanno sviluppato un quadro di MIS-C associata a contestuale positività del tampone rinofaringeo. L’età media era 6,5 anni, con un intervallo compreso tra 18 mesi e 14 anni; il 56% dei pazienti era di sesso femminile. Sette bambini erano di etnia caucasica e 2 di etnia africana. I segni di più comune riscontro al momento del ricovero sono stati: febbre (88%) della durata media di 4 giorni, iperemia del faringe associata ad alterazioni del cavo orale (77%), linfoadenopatia laterocervicale (77%), diarrea e/o dolore addominale (66%), rash cutaneo (33%), edema delle estremità degli arti (22%) (Tabella II). Due sono stati i casi di coinvolgimento cardiovascolare clinicamente evidente al momento del ricovero, caratterizzati da ipotensione corretta con fluidoterapia e senza ricorso a inotropi. Durante la degenza in 2 bambini è stata riscontrata bradicardia sinusale, con valori di frequenza cardiaca inferiore a 50 bpm durante sonno, in assenza di altre anomalie elettrocardiografiche o ecocardiografiche. Un paziente ha presentato dispnea e 2 oliguria (con un caso di insufficienza renale acuta); in 2 bambini sono stati rilevati sintomi neurologici (cefalea e irritabilità) e in 2 casi sintomi muscoloscheletrici (artralgie e mialgie, con un caso di miosite).
I dati di laboratorio sono riportati nella Tabella III. Il valore mediano di globuli bianchi (GB) è stato 7445/μl, quello dei neutrofili 6660/μl e dei linfociti 910/μl. Gli indici di flogosi sono risultati elevati nella totalità dei casi con i seguenti valori mediani: PCR 16,2 mg/dl, PCT 3,6 μg/l, ferritina 709 ng/ml. È stato riscontrato in tutti i pazienti un aumento dei valori di fibrinogeno e del D-dimero (mediane 647 mg/dl e 2980 mg/dl rispettivamente). Il pro-BNP è stato dosato in 5 pazienti ed è stato rilevato un valore mediano di 1568 pg/ml, superiore al range di normalità (0-317 pg/ml). L’interleuchina 6 (IL-6), dosata in 6 bambini, si è mostrata elevata nella totalità dei casi con valore mediano di 214 pg/ml (valori normali 0-7 pg/ml). Inol-tre sono stati osservati: piastrinopenia in 2 pazienti, ipoalbuminemia (albumina < 3 g/dl) in 4, iposodiemia (sodio < 130 mEq/l) in 3, ALT > 40 U/l in 4, valori elevati di troponina in uno e valori di amilasi e lipasi superiori a tre volte la norma in 2 bambini. L’iperglicemia (valore mediano 122,5 mg/dl) è stata rilevata nel 66% dei casi.
I dati di imaging sono riportati nella Tabella IV. La polmonite interstiziale postero-basale subpleurica è stato il reperto TC di maggiore riscontro (55% dei casi). Cinque pazienti hanno presentato versamento peritoneale associato o meno a linfoadenite mesenterica ed epatosplenomegalia. L’ecocardiogramma è stato eseguito in tutti i bambini, con evidenza di versamento pericardico nel 22% dei casi, insufficienza mitralica nel 33% e insufficienza tricuspidalica nel 22%. In un paziente è stato rilevato un aumento della birifrangenza coronarica. In nessun paziente è stata descritta una riduzione della frazione di eiezione. La cardio-RM è stata eseguita in post-dimissione nei 2 pazienti che hanno presentato bradicardia sinusale: in entrambi è stata confermata una funzione sistolica nella norma, in assenza di segni indicativi di edema e/o fibrosi del miocardio. La RM encefalo è stata eseguita in un paziente con sintomi neurologici, rilevando la presenza di lesioni compatibili con encefalomielite acuta disseminata (ADEM).
Tutti i bambini sono stati trattati con immunoglobuline endovena (IVIg) al dosaggio di 2 g/kg in unica somministrazione. In un caso sono state somministrate IVIg al dosaggio di 0,4 g/kg per 5 giorni. Quattro pazienti hanno ricevuto metilprednisolone (mPDN) a basso dosaggio (1-2 mg/kg); altri 4 hanno ricevuto boli di mPDN al dosaggio di 30 mg/kg/die in infusione lenta per tre giorni consecutivi e successivamente mPDN a basso dosaggio. In un caso non è stata intrapresa alcuna terapia steroidea. Cinque bambini hanno ricevuto acido acetilsalicilico (ASA) a dosaggio antiaggregante (3-5 mg/kg). Nessuno dei bambini è stato trattato con inibitore dell’IL-1. Il 100% dei pazienti ha presentato una buona risposta alla terapia e non è stato registrato alcun decesso.
Discussione
Nel periodo compreso tra marzo 2020 e gennaio 2021, presso il nostro Centro di Malattie Infettive Pediatriche, sono stati ricoverati 80 bambini affetti da Covid-19, di cui 9 (11%) con MIS-C; la quasi totalità dei casi si è verificata nel periodo compreso tra settembre e gennaio, verosimilmente a causa della maggiore circolazione del virus durante questi mesi nella nostra area geografica. In accordo ai dati della letteratura, si tratta di una patologia che interessa prevalentemente i soggetti in età scolare. Alla febbre si sono associati più frequentemente sintomi gastrointestinali (dolore addominale e diarrea) e mucocutanei (rash diffuso con coinvolgimento palmo-plantare, iperemia delle labbra e del faringe)6-8. Solo 2 pazienti hanno presentato sintomi cardiologici (ipotensione), associati in un caso a incremento degli enzimi cardiaci. Questo dato si discosta da quanto evidenziato in letteratura: in più della metà dei casi pubblicati è stato rilevato un coinvolgimento cardiaco, che ha richiesto talvolta un supporto ventilatorio e con inotropi6-8. Nella nostra casistica nessun paziente ha necessitato di ricovero in terapia intensiva. Sintomi neurologici sono stati riscontrati in 2 pazienti: in uno è stata posta diagnosi di ADEM post Covid-19. Si tratta di una condizione rara associata al SARS-CoV-2, con pochi casi pediatrici documentati in letteratura9-11. L’interessamento cutaneo è prevalente nel gruppo di soggetti in età prescolare, mentre quello cardiaco e di altri organi è più comune nei pazienti di età superiore ai 5 anni; la sintomatologia gastrointestinale, invece, si presenta in egual misura nei due gruppi di età (Tabella V).
Come atteso, gli esami di laboratorio hanno evidenziato un quadro di infiammazione acuta con incremento degli indici di flogosi (PCR, PCT, IL-6, ferritina, D-dimero e fibrinogeno). Il pro-BNP è risultato aumentato nel 100% dei casi in cui è stato dosato, analogamente a quanto riportato in letteratura11: tale parametro è da considerarsi un marcatore di infiammazione e non indicativo di disfunzione miocardica, come già valutato in pazienti affetti da malattia di Kawasaki12.
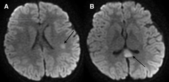
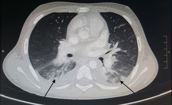
In accordo ai criteri diagnostici elencati in Tabella I, la diagnosi di MIS-C richiede la presenza del coinvolgimento di almeno 2 o più organi; gli esami strumentali svolgono quindi un ruolo fondamentale, soprattutto nel caso in cui l’interessamento d’organo sia clinicamente silente. Attualmente sono scarse le evidenze in letteratura riguardanti gli aspetti radiologici dei pazienti con MIS-C. I reperti toracici più frequentemente riportati sono la cardiomegalia, il coinvolgimento polmonare con aspetto a vetro smerigliato bilateralmente più o meno associato a consolidamento parenchimale (come osservato in 5 dei nostri pazienti - Figura 1), il versamento pleurico (presente anche in 4 dei nostri bambini), l’edema polmonare, l’embolia polmonare, il versamento pericardico (evidenziato altresì in 2 dei nostri bambini)13,14. Nei pazienti con MIS-C, l’imaging cardiaco (ecocardiografia e RM) può mostrare una ridotta frazione di eiezione del ventricolo sinistro, miocardite, pancardite, cardiomiopatia dilatativa e versamento pericardico15; un dato di rilievo nella nostra casistica è stato il riscontro di valvulopatia in 5 dei nostri pazienti (55%): abbiamo riscontrato 2 casi di insufficienza tricuspidalica e 3 di insufficienza mitralica, tutte di natura transitoria. Tra i reperti radiologici extratoracici, i riscontri più frequenti sono stati la linfoadenopatia mesenterica (rilevata in 2 dei nostri pazienti - Figura 2), l’ispessimento della parete intestinale con interessamento dell’ileo terminale e del cieco, l’epatomegalia, l’edema peri-portale (osservato anche in un nostro caso), l’edema della colecisti (come in uno dei nostri pazienti), i reni iperecogeni e gli infarti splenici15. La RM cerebrale nei pazienti con MIS-C può rilevare: ictus ischemico, encefalite, ADEM (rilevata anche nella nostra casistica - Figura 3) o leucoencefalite emorragica acuta15.
Nonostante la gravità del quadro clinico spesso osservata all’esordio, tutti i pazienti hanno mostrato una prognosi eccellente e una risoluzione della sintomatologia dopo terapia con immunoglobuline e steroidi (la posologia del mPDN è stata stabilita in relazione al quadro clinico più o meno compromesso, come da linee guida16). In due dei nostri pazienti è stata evidenziata la comparsa di bradicardia sinusale dopo due giorni dal termine dei boli di steroide. Tale reperto, già descritto in letteratura, sembra essere associato alla terapia praticata: il meccanismo sottostante non è ancora stato chiarito, ma si ritiene che l’azione antinfiammatoria delle immunoglobuline e dello steroide possa sopprimere la produzione di citochine e la funzione simpatica del sistema nervoso, determinando la bradicardia17. La risoluzione spontanea della bradicardia in assenza di alterazioni evidenziabili alla RM cardiaca avvalora l’ipotesi della sua natura iatrogena.
Dal punto di vista patogenetico si ritiene che la MIS-C sia una condizione indotta da una iperattivazione del sistema immune con rilascio notevole di citochine in seguito all’infezione da SARS-CoV-218; per tale motivo l’intervallo temporale tra l’infezione primaria e l’insorgenza della sindrome è stimato tra le 2 e le 6 settimane, con una mediana di 25 giorni6. Nella nostra casistica il quadro clinico di MIS-C si è manifestato a distanza mediamente di 3,5 settimane dalla precedente diagnosi di Covid-19. Solo in un caso la sindrome si è sviluppata dopo oltre 6 settimane: in letteratura è descritto un unico caso di MIS-C insorta dopo 16 settimane in un ragazzo di 15 anni19; tale dato, insieme a quello da noi registrato, potrebbe suggerire di estendere il periodo considerato a rischio per lo sviluppo di MIS-C anche oltre le 6 settimane.
Conclusioni
La MIS-C è una complicanza rara dell’infezione da SARS-CoV-2; è una patologia multiorgano su base infiammatoria in cui predominano sintomi gastrointestinali e mucocutanei. L’interessamento cardiaco è comune e deve essere ricercato in tutti i pazienti tramite elettrocardiogramma, ecocardiogramma e dosaggio degli enzimi cardiaci. Le tecniche di imaging possono essere di ausilio nel riconoscimento del coinvolgimento d’organo, che talvolta è del tutto asintomatico. L’associazione con una pregressa infezione da SARS-CoV-2 deve essere sempre ricercata, considerando anche un periodo finestra tra infezione primaria e sindrome infiammatoria sistemica superiore al limite attuale delle 6 settimane. Nonostante la severità di alcuni quadri clinici, la prognosi è favorevole nella quasi totalità dei casi, con buona risposta al trattamento con immunoglobuline e steroidi.
Certamente il nostro studio presenta dei limiti associati alla scarsa numerosità del campione. È fondamentale aumentare la sensibilità dei pediatri nei confronti di questa potenziale complicanza dell’infezione da SARS-CoV-2, al fine di consentirne precoci diagnosi e trattamento. Ulteriori studi multicentrici sono necessari per definire meglio la patogenesi, gli eventuali fattori prognostici sfavorevoli e valutare le diverse opzioni di trattamento delle MIS-C.
Bibliografia
- Son MBF, Friedman K. Coronavirus disease 2019 (Covid-19): multisystem inflammatory syndrome in children (MIS-C) clinical features, evaluation, and diagnosis. UpToDate, Oct 2021 (accessed on September 25, 2020.)
- Royal College of Paediatrics and Child Health. Guidance: paediatric multisystem inflammatory syndrome temporally associated with Covid-19. June 2020.
- Centers for Disease Control and Prevention. Emergency preparedness and response: health alert network. May 2020.
- World Health Organization. Multisystem inflammatory syndrome in children and adolescents with Covid-19. May 2020.
- Kaushik A, Gupta S, Sood M, Sharma S, Verma S. A systematic review of multisystem inflammatory syndrome in children associated with SARS-CoV-2 infection. Pediatr Infect Dis J 2020;39(11):e340-6. doi: 10.1097/INF.0000000000002888.
- Feldstein LR, Rose EB, Horwitz SM, et al.; Overcoming Covid-19 Investigators, the CDC Covid-19 Response Team. Multisystem inflammatory syndrome in U.S. children and adolescents. N Engl J Med 2020;383(4):334-46. doi: 10.1056/NEJMoa2021680.
- Pouletty M, Borocco C, Ouldali N, et al. Paediatric multisystem inflammatory syndrome temporally associated with SARS-CoV-2 mimicking Kawasaki disease (Kawa-Covid-19): a multicentre cohort. Ann Rheum Dis 2020;79(8):999-1006. doi: 10.1136/annrheumdis-2020-217960.
- Whittaker E, Bamford A, Kenny J, et al.; PIMS-TS Study Group and EUCLIDS and PERFORM Consortia. Clinical characteristics of 58 children with a pediatric inflammatory multisystem syndrome temporally associated with SARS-CoV-2. JAMA 2020;324(3):259-69. doi: 10.1001/jama.2020.10369.
- Siracusa L, Cascio A, Giordano S, et al. Neurological complications in pediatric patients with SARS-CoV-2 infection: a systematic review of the literature. Ital J Pediatr 2021;47(1):123. doi: 10.1186/s13052-021-01066-9.
- de Miranda Henriques-Souza AM, de Melo ACMG, de Aguiar Coelho Silva Madeiro B, Freitas LF, Sampaio Rocha-Filho PA, Gonçalves FG. Acute disseminated encephalomyelitis in a Covid-19 pediatric patient. Neuroradiology 2021;63(1):141-5. doi: 10.1007/s00234-020-02571-0.
- Dufort EM, Koumans EH, Chow EJ, et al.; for the New York State and Centers for Disease Control and Prevention Multisystem Inflammatory Syndrome in Children Investigation Team. Multisystem inflammatory syndrome in children in New York State. N Engl J Med 2020;383(4):347-58. doi: 10.1056/NEJMoa2021756.
- Kaneko K, Yoshimura K, Tsuji S. Brain natriuretic peptide as a novel diagnostic biomarker in Kawasaki disease. J Compr Ped 2014;5(4):e19505. doi: 10.17795/compreped-19505.
- Blumfield E, Levin TL, Kurian J, Lee EY, Liszewski MC. Imaging findings in multisystem inflammatory syndrome in children (MIS-C) associated with coronavirus disease (Covid-19). AJR Am J Roentgenol 2021;216(2):507-17. doi: 10.2214/AJR.20.24032.
- Winant A, Blumfield E, Liszewski M, Kurian J, Foust AM, Lee EY. Thoracic imaging findings of multisystem inflammatory syndrome in children (MIS-C) associated with Covid-19: what radiologists need to know now. Radiol Cardiothorac Imaging 2020;2(4). doi: 10.1148/ryct.2020200346.
- Revzin MV, Raza S, Srivastava NC, et al. Multisystem imaging manifestations of Covid-19, part 2: from cardiac complications to pediatric manifestations. Radiographics 2020;40(7):1866-92. doi: 10.1148/rg.2020200195.
- American College of Rheumatology. Clinical guidance for pediatric patients with multisystem inflammatory syndrome in children (MIS-C) associated with SARS-CoV-2 and hyperinflammation in Covid-19. June 2020.
- Nagakura A, Morikawa Y, Sakakibara H, Miura M. Bradycardia associated with prednisolone in children with severe Kawasaki disease. J Pediatr 2017;185:106-111.e1. doi: 10.1016/j.jpeds.2017.02.074.
- Rowley AH. Understanding SARS-CoV-2-related multisystem inflammatory syndrome in children. Nat Rev Immunol 2020;20(8):453-4. doi: 10.1038/s41577-020-0367-5.
- Cirks BT, Rowe SJ, Jiang SY, et al. 16 Weeks later: expanding the risk period for MIS-C. J Pediatric Infect Dis Soc 2021;10(5):686-90. doi: 10.1093/jpids/piab007.
